NVIDIA Corp. and Planar Systems have developed a 10-Bit mammography display that encompasses a method of “pixel packing ...
November 27, 2007 - Empiric Systems LLC announced today a joint reseller partnership with Fujifilm that will allow the ...
Hitachi Medical Systems America commercialized at RSNA 2007 its OASIS patient- centered open architecture MRI scanner ...
Radiology departments have many different needs and face a wide variety of challenges that can impact their departments ...
November 27, 2007 - Agfa HealthCare it has been awarded a new, three-year, multi-source contract by Premier Purchasing ...
GE Healthcare will incorporate High-Definition (HD) technology in its next generation of computed tomography (CT) ...
November 27, 2007 - Grundig Business Systems highlighted its DigtaSonic x420 mobile dictation recorder, equipped with a ...
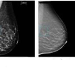
Despite decades of progress in breast imaging, one challenge continues to test even the most skilled radiologists ...
Agfa HealthCare showcased the release of its IMPAX 6.4, featuring advanced workflow design focusing on the seamless ...
Hitachi Medical Systems America commercialized at RSNA 2007 its OASIS patient-centered open architecture MRI scanner ...
November 26, 2007 - Siemens Medical Solutions unveiled at RSNA 2007 the ACUSON S2000 ultrasound platform, the first ...
Bayer Radiology’s Barbara Ruhland and Thom Kinst discuss how radiology departments can address the many different ...
Toshiba America Medical Systems Inc.'s dynamic volume computed tomography (CT) system, the Aquilion One, is an advanced diagnostic imaging system that can image an entire organ in a single rotation or over multiple rotations, showing real-time dynamic movement.
Confirma and Penrad are showcasing at RSNA the integration between CADstream for breast MRI and the Penrad Mammography ...
November 26, 2007 - American Medical Sales Inc. introduced a new feature for its Catella PACS, Educate MeT, a series of ...
eHealth Saskatchewan plays a vital role in providing IT services to patients, health care providers, and partners such ...
November 26, 2007 – Philips announced that its 256-slice Brilliance iCT scanner is now commercially available, providing ...
American Medical Sales Inc.' new feature for its Catella PACS, Educate MeT, is a series of one to two minute computer ...
Siemens Medical Solutions has created two new MRI systems, the MAGNETOM Essenza, featuring 30 mT/m gradients, reportedly ...
November 26, 2007 - On display at RSNA 2007, the RadPro 40kW Digital Mobile X-Ray System, integrated with a Canon CXDI ...
November 26, 2007 – At RSNA 2007, Toshiba America Medical Systems Inc. introduced what is to be the world’s first ...
November 26, 2007 —Planar Systems Inc. unveiled at RSNA its new family of high-resolution grayscale displays, the Planar ...
Siemens Medical Solutions' MAMMOMAT Novation S was created to help detect, diagnose and treat breast cancer earlier ...
Hologic features its Selenia Dimensions, including Selenia Breast tomosynthesis that may alleviate the challenges created by overlapping breast tissue in a traditional mammogram by presenting a slice-by-slice view of the breast.
November 26, 2007 