July 14, 2025 — Patients with liver diseases will have expanded access to advanced ultrasound imaging and transplant ...
July 10, 2025 — Bracco Imaging was recently awarded a Platinum Medal by EcoVadis, one of the world's most trusted ...
July 10, 2025 — Fujifilm Healthcare Americas Corp. has launched several advanced automated functions for its FDR ...
Radiology departments have many different needs and face a wide variety of challenges that can impact their departments ...
June 9, 2025 — bioAffinity Technologies, Inc., a biotechnology company addressing the need for noninvasive, accurate ...
July 9, 2025 — Artera, the developer of multimodal artificial intelligence (MMAI)-based prognostic and predictive cancer ...
July 9, 2025 — The American Society for Radiation Oncology (ASTRO) selected 43 members to receive the ASTRO Fellow ...
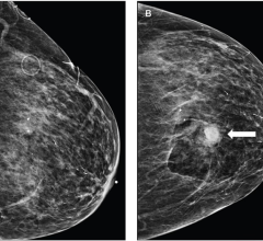
Despite decades of progress in breast imaging, one challenge continues to test even the most skilled radiologists ...
July 8, 2025 — QT Imaging Holdings, has appointed Elaine Iuanow, MD, as chief medical officer (CMO) and Kim Du as senior ...
July 2, 2025 — Lunit, a provider of AI for cancer diagnostics and therapeutics, has announced a collaboration with ...
July 7, 2025 — SimonMed Imaging, one of the largest outpatient medical imaging providers in the United States, has ...
Bayer Radiology’s Barbara Ruhland and Thom Kinst discuss how radiology departments can address the many different ...
July 8, 2025 — Mendaera, Inc., a healthcare technology company focused on developing robotics that can be deployed ...
July 01, 2025 — NANO-X Imaging Ltd. recently announced a clinical and educational collaboration with Keiser University ...
July 2, 2025 — Philips has received FDA 510(k) clearance for SmartSpeed Precise1 MR’s latest deep learning ...
eHealth Saskatchewan plays a vital role in providing IT services to patients, health care providers, and partners such ...
A new study published in JCO Clinical Cancer Informatics tackles a critical challenge in cancer diagnostics: ensuring ...
July 1, 2025 — UPDATE: The final paper is now available at: JMIR AI - ChatGPT-4–Driven Liver Ultrasound Radiomics ...
June 26, 2025 — Fujifilm VisualSonics Inc., a provider of ultra-high frequency ultrasound and photoacoustic imaging ...
June 18, 2025 — Probo Medical, a provider of medical imaging equipment, service, and support, has announced a strategic ...
June 26, 2025 — Siemens Healthineers has received Food and Drug Administration clearance for the Magnetom Flow.Ace, its ...
June 26, 2025 – Quibim, a global provider of quantitative medical imaging solutions, has launched AI-QUAL, a new feature ...
June 25, 2025 — Royal Philips and Indiana-based Methodist Hospitals recently announced the healthcare provider’s ...
June 25, 2025 — QT Imaging Holdings, Inc., a medical device company engaged in research, development, and ...
July 14, 2025 