May 1, 2014 — Government regulations and JCAHO (Joint Commission) certification are driving providers to make purchasing plans for dose monitoring solutions, and in discussions about these plans, two vendors are capturing the majority of providers' mindshare. This is according to the latest KLAS report, Radiology Dose Monitoring Solutions 2014: Provider Strategies in an Evolving Market.
May 1, 2014 — Nuance Communications announced the immediate availability of the Nuance PowerShare network, the industry’s largest cloud-based network for securely connecting healthcare professionals to share essential medical images and reports as simply as people exchange information using social networks. The PowerShare network promotes fully informed and connected physicians and patients who instantly view, share and collaborate while addressing patients’ healthcare needs.
May 1, 2014 — Neurosurgeons at UC San Diego Heath System have, for the first time, combined real-time magnetic resonance imaging (MRI) technology with novel noninvasive cellular mapping techniques to develop a new biopsy approach that increases the accuracy of diagnosis for patients with brain cancer.
Radiology departments have many different needs and face a wide variety of challenges that can impact their departments ...
Carestream will be a panel participant in a session on “Problems and Solutions in Breast Tomosynthesis (DBT)” to be held during the 2014 meeting of SIIM (Society for Imaging Informatics in Medicine). The discussion will be moderated by Matthew B. Morgan, M.D., University of Utah Health Sciences Center. It will take place on Thursday, May 15, from noon - 1 p.m. in the Innovation Theater of Exhibit Hall B at the Long Beach Convention Center.
The radiation to me was negligible. Most of the high-energy photons emitted by the technetium my mother had swallowed were being absorbed. Enough registered on the detector for a diagnostic image, but a Geiger counter held next to Mom registered the equivalent of about one hundredth milliSievert (mSv). At seven feet away, I was plenty safe.
A successful dose management program faces a number of hurdles.
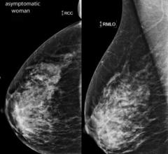
Despite decades of progress in breast imaging, one challenge continues to test even the most skilled radiologists ...
Imaging is critical to all medical specialties so it is logical that images should be available to specialists outside of radiology. There is a trend to reduce repeat exams by making images more easily accessible, including prior exams. This traditionally has been accomplished using the cumbersome process of mailing or physically carrying CDs to referring physicians. Often these CDs do not open or take a long time to download. Stage 2 Meaningful Use requirements for certified electronic medical records (EMR) also call for the sharing of medical images electronically to help improve efficiency and reduce healthcare costs. All of these factors have given rise to remote image access systems.
UnityPoint Health, formerly Iowa Healthcare, a multi-city integrated delivery system based in Des Moines, Iowa, recently consolidated and standardized technology in a transformation aimed at empowering primary care physicians to take the lead in care coordination for patients. Todd Holling, assistant director of clinical applications for UnityPoint Health, explains what they are trying to achieve and how healthcare IT is helping them reach their goals.
Congress recently passed the Protecting Access to Medicare Act of 2014 (H.R. 4302) that delays a 24 percent Medicare physician payment cut for 12 months. The legislation also requires use of appropriate use criteria (AUC) and clinical decision support (CDS) software to get Medicare reimbursement, which will likely shift focus onto IT vendors who can supply this software. In addition, the use of CDS is part of Stage 2 Meaningful Use requirements for electronic medical records (EMR), so the new Medicare requirements will move CDS up on many IT departments’ priority lists.
Bayer Radiology’s Barbara Ruhland and Thom Kinst discuss how radiology departments can address the many different ...
Proton therapy is becoming more prevalent in cancer treatment as it is the most advanced form of radiation available. Proton beams are more precise, treating complex tumors while avoiding healthy tissues and critical structures. Proton therapy centers are beginning to spring up around the United States as physicians continue to see the benefits in cancer treatment. One center that has garnered much attention is the CDH Proton Center in Warrenville, Ill.
Since entering the market in 2001, PET/CT (positron emission tomography/computed tomography) has come a long way in combining the benefits of individual PET and CT imaging. Last year saw the release of several new innovative technologies, marking improvements on previous generations of PET/CT, such as continuous data acquisition and bed motion, as well as higher image resolutions.
The use of magnetic resonance imaging (MRI) is growing both domestically and internationally, rebounding from the slump that hit the market in 2008-2009. Vendors have seen an increase in system utilization. According to Stuart Clarkson, senior director of the MR business unit at Siemens Healthcare, “We’ve seen approximately 3 to 4 percent growth in the number of scans this year versus the previous year. So, we like to think that MR is still a growing imaging modality.”
eHealth Saskatchewan plays a vital role in providing IT services to patients, health care providers, and partners such ...
ECRI Institute healthcare market researchers said manufacturers developed intraoperative magnetic resonance imaging (iMRI) technology to improve conventional image-guided neurosurgery techniques that rely on preoperative patient scans for guidance during the procedure.
A new technique that brings computed tomography (CT) imaging into the operating room will allow surgeons to precisely demarcate and remove small sub-centimeter lung nodules, leaving as much healthy tissue as possible, according to Raphael Bueno, M.D., of Brigham and Women's Hospital in Boston.
Founded nearly 25 years ago and based in Cincinnati, ProScan Imaging is one of the largest privately held teleradiology companies in the world. ProScan provides teleradiology services for more than 300 locations across North America and around the globe. In addition, the company owns and operates 26 outpatient imaging centers in seven states, and WorldCare Clinical, which collects and assesses medical images in support of clinical research trials.
According to the European CanCer Organisation (ECCO), there are more than 1.6 million new cases of breast cancer diagnosed globally each year. This number has been increasing at a rate of 3.1 percent per year. As Prof. Peter Boyle, director of the University of Strathclyde Institute of Global Public Health at the International Prevention Research Institute (iPRI) in Lyon, France, told conference-goers at the European Breast Cancer Conference (EBCC-9), “We need to make a reduction in the number of women developing and dying from breast cancer a global priority.”
"Any intelligent fool can make things bigger, more complex, and more violent. It takes a touch of genius — and a lot of courage — to move in the opposite direction." —Albert Einstein We fear what we can’t see and what we don’t know. It’s why children don’t want to go into a dark, unfinished basement. It’s what makes scary movies what they are.
It is impossible to escape the reality that as the use of mobile electronic devices increases amongst consumers, a proportionate increase in the use of such devices in the medical sales and marketing arena will follow. This is already a significant trend that has spread from pharmaceutical sales to device providers and, indeed, through all aspects of the interaction between physicians and their providers of tools and solutions.
April 30, 2014 — Kubtec announced it released the new Xpert 20 and Xpert 40 imaging systems. Redesigned with a sleeker, more ergonomic profile for improved functionality, the Xpert 20 and Xpert 40 offer the next step forward in digital specimen radiography.
April 30, 2014 — Qlik announced that a group of five breast cancer screening units in the Saxon region of Germany are using QlikView to provide a consolidated view of all their relevant data and support faster and easier data analysis.
May 01, 2014 