Candelis will demonstrate the iMed-Stor 300, a dedicated DICOM-compliant archive appliance engineered specifically to provide secure, cost-effective management of digital medical images and studies for standalone digital X-ray, digital radiography (DR) and computed radiography (CR), imaging operations including private practices, hospital departments, imaging centers and multi-physician clinics us
November 20, 2008 - FiatLux Imaging and Philips FIMI plan to demonstrate at RSNA 2008 the benefits of 3D imaging at the point-of-care using FiatLux Visualize on the Philips CliniScape mobile clinical assistant (MCA).
CIVCO Medical Solutions’ CT Guidance Device is an inexpensive hand-held device designed to increase the speed, accuracy and safety of CT guided procedures. It is designed to improve first pass accuracy for either traditional vertical plane or more difficult angled plane procedures, such as aspiration/biopsy, drainage or ablation.
Radiology departments have many different needs and face a wide variety of challenges that can impact their departments ...
NightHawk Radiology Services provides a complete suite of solutions, including professional services, business services, and proprietary clinical workflow technology, all designed to increase efficiencies and improve the quality of patient care and the lives of physicians who provide it. NightHawk's team of U.S.
Mindray's DC-3 color ultrasound imaging system is equipped with extensive applications in abdominal, OB/GYN, endovaginal, cardiac, small parts and pediatric markets. This new system combines 2D imaging and color Doppler performance and is suited for hospitals, doctors' offices and clinics in hopes of replacing black and white ultrasound imaging systems.
Medicalis Corp.'s Medicalis Analytics reportedly makes clinical data for radiology available on demand. The intuitive interface allows for easy analysis of the outcomes and the effectiveness of imaging studies, according to the company.
Despite decades of progress in breast imaging, one challenge continues to test even the most skilled radiologists ...
im3D is applying CAD methodologies for use in screening and diagnosing a variety of cancer pathologies including breast cancer. Its CAD-BREAST MRI is reportedly an innovative diagnostic and therapy monitoring prototype that applies CAD precision and accuracy to DCE-MRI results.
Bayer Radiology’s Barbara Ruhland and Thom Kinst discuss how radiology departments can address the many different ...
Traxtal's PercuNav 2.0 software for the PercuNav system is reportedly the only computer assisted, image-guided diagnostic and interventional system cleared by the FDA and is the only such system that features a broad range of flexible and rigid "tip-tracked" instruments.
The new IMIXhorizon SomaRad DR system is designed for smaller facilities that require a compact, affordable DR solution. The SomaRad features fully motorized positioning, remote control functionality, and high image quality. In addition, this new general radiography system requires only 8 feet of ceiling height clearance, making it ideal for smaller clinics.
eHealth Saskatchewan plays a vital role in providing IT services to patients, health care providers, and partners such ...
IMIX Americas has a new workstation software with an enhanced user interface that delivers improved workflow and productivity. The new software supports the first integration of CCD, CR and flat panel components. Designed for all IMIX Americas’ DR products, the software offers intuitive graphical workflow from patient entry through exam planning and image analysis.
Invivo’s next-generation MRI patient vital signs monitor, the Precess Patient Management Configuration, is built off of Invivo’s flagship Precess 3160 platform and reportedly utilizes the industry’s first wireless ECG and wireless SpO2 patient vital signs. The Precess Patient Management configuration helps close the gap between MRI monitors and OR monitors.
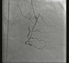
INFINITT North America's Xelis Cardiac software tool uses 3D volume rendering and other post-processing techniques to improve visualization and analysis of coronary vessels.
GE Healthcare's Innova 4100IQ is a large-format digital flat-panel X-ray system for angiographic imaging that incorporates GE’s exclusive Innova single piece, non-tiled digital detector (41cm-by-41 cm) to provide high-resolution imaging across the full range of vascular and interventional applications.
With the full integration of GE Healthcare's (GE) Innova system with Volcano's s5i IVUS system, there is no need to roll around your IVUS unit. Through its collaboration with Volcano Corp., GE offers Innova IVUS as a fully integrated intravascular ultrasound system for the cath lab and interventional suite.
November 26, 2008 - Seen for the first time in North America, the MX 16-slice CT will be unveiled at this year’s RSNA.
November 26, 2008 - Siemens Healthcare will highlight at RSNA 2008 the ACUSON S2000 Automated Breast Volume Scanner (ABVS), reportedly the first multi-use, automated volume breast ultrasound system. The system is 510(k) pending and not available in the U.S.
November 26, 2008 - Avreo said today that KLAS Enterprises, LLC, an independently owned and operated healthcare research organization, has ranked Avreo No. 1 in the 2008 Community Hospital PACS report.
November 27, 2008 