Born out of the Health Information Technology for Economic and Clinical Health (HITECH) Act of 2009, the Meaningful Use (MU) program was intended to increase adoption of electronic medical records (EMR) and other information technology to improve delivery of care while lowering costs. As healthcare providers have attempted to work through the various stages to earn reimbursement incentives — or avoid penalties — many have been left frustrated and confused by objectives that do not seem to apply to their practice. Nowhere has this been more true than in radiology.



Clinical decision support (CDS) software has been discussed for years as a way to help clinicians follow best practice guidelines and to help eliminate unnecessary tests or procedures. However, implementing these systems has been slow, partly due to their cost and complexity, and partly due to pushback from physicians. But a new chapter is about to open for CDS as healthcare reform will soon require implementation of these systems.



Medical-grade display technology has evolved significantly and swiftly, and many new applications are available that help to streamline workflow and enhance productivity.  


April 5, 2016 — The Focused Ultrasound Foundation has produced a video that demonstrates the potential of this new medical technology to revolutionize the treatment of many serious disorders. The short film captures the experience and insights of patients, international researchers, physicians, industry leaders and other supporters of this “breakthrough transformational approach.”

IBA (Ion Beam Applications SA) has recently received CE mark authorization of its new supra conducting accelerator.

North Fulton Hospital, Roswell, Ga., is one of the first healthcare providers in the United States to purchase the new Carestream Touch Prime XE Ultrasound System.

New research shows individuals with a greater degree of activity in the stress center of the brain also have more evidence of inflammation in their arteries and were at higher risk for cardiovascular events, including heart attack, stroke and death.


As proton therapy becomes more widely available, imaging for the development of proton treatment plans will become more commonplace. However, there are major differences in how treatment is planned for proton therapy compared to traditional radiation therapy. While anatomical imaging is the main focus in radiation therapy, proton therapy requires highly calibrated computed tomography (CT) datasets that are used to directly compute a highly technical treatment plan. 



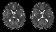
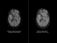
Introduced in the 1980s, magnetic resonance imaging (MRI) has become an integral part of any radiology department. The modality has most often been used for brain and spine scans, but new applications are expanding its capabilities in recent years. Vendors are also working to reduce both scan times and machine size for enhanced productivity. 



Now more than ever, thanks to healthcare reform, hospitals and clinics are having to find innovative ways to be flexible with their imaging systems. 


Subscribe Now