If you are confused about the conflicting advice surrounding mammography screening guidelines, welcome to the club. When should mammography screening begin? How often is screening necessary? When should screening end? The varying national breast screening guidelines may have both patients and health providers uncertain as to appropriate recommendations.


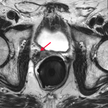
Boston Scientific has entered into a definitive agreement to acquire Augmenix Inc., a privately-held company which has developed and commercialized the SpaceOAR System to reduce common and debilitating side effects that men may experience after receiving prostate cancer radiotherapy. The transaction consists of an upfront cash payment of $500 million, and up to $100 million for reaching sales-based milestones.


“Disruptive innovation” is all the buzz. Repealing the Affordable Care Act (ACA) is so last year. Well, disrupt this: Repeal Medicare and Medicaid and get the government out of the medical care business.


Established in 1970, Sovah Health – Martinsville, Va., resides in the foothills of the beautiful Blue Ridge Mountains caring for not only the people of Martinsville, but those of surrounding locales as well. The full-service, acute care hospital is licensed for 220 beds and provides medical services such as behavioral health, cancer care, orthopedics, surgical services, rehabilitation and more. The nearby Martinsville International Speedway has an audience capacity of 60,000 and conducts major race events throughout the year.


Over the last several years in the U.S., healthcare providers have been trying to shift their focus to more preventive care to keep healthcare costs down. This has placed a greater emphasis on screening large segments of the population for various diseases in an attempt to catch them earlier. Low-dose computed tomography (LDCT) screening has emerged as a powerful tool in the early detection of lung cancer, following a B rating by the U.S. Preventive Services Task Force (USPSTF) in 2013. 


One of the Northeast’s major teaching hospitals is an international leader in virtually every area of medicine. It has been the site of pioneering breakthroughs that have improved lives and advanced healthcare around the world. This hospital includes more than 100 outpatient practices with more than 1,000 physicians serving patients from New England, across the United States, and from more than 100 countries around the world.

As soon as the Compressed SENSE technology became available to the MRI team at Kantonsspital Winterthur (Switzerland), the site started applying the acceleration possibilities for their MRI scans of the brain, spine and joints, as well as pelvis and abdomen. Using Compressed SENSE appeared a simple yet powerful way to accelerate MRI scanning for different contrast types and sequences, in 2-D as well as 3-D. The significantly reduced scan times convinced the team to plan for adjusting all their ExamCards, with the objective to shorten patient timeslots and then actually plan for increasing their number of MRI patients per day. This is of strategic importance to help them generate revenue when reimbursements go down.


According to the latest statistics from the American Cancer Society (ACS), almost 165,000 new cases of prostate cancer were expected in 2018, with over 29,000 men expected to die from the disease this year



Nuclear imaging technology for both single photon emission computed tomography (SPECT) and positron emission tomography (PET) have made advancements in the past couple years. The main drivers for this have been a movement to digital imaging detectors to improve image quality and address radiation dose concerns, reimbursement and radiotracer supply issues. Other advancements have come in the areas of software to improve image reconstruction quality, offer better clinical qualification and analytics data.


Subscribe Now