February 3, 2020 — Oxygen in cancer tumors is known to be a major factor that helps radiation therapy be successful. Hypoxia, or starvation of oxygen, in solid tumors is also thought to be an important factor in resistance to therapy. However, it is difficult to monitor tumor oxygenation without invasive sampling of oxygen distributions throughout the tissue, or without averaging across the whole tumor, whereas oxygen is highly heterogenous within a tumor.

February 3, 2020 — Melding the genetic and cellular analysis of tumors with how they appear in medical images could give physicians and other cancer therapy specialists new insights into how to best treat patients, especially those with brain cancer, according to a new study led by the Translational Genomics Research Institute (TGen), an affiliate of City of Hope.

It is not that smart algorithms will one day become too smart, as some fear; not that smart machines will one day overshadow human intellect. Rather the danger is that artificial intelligence (AI) machines are viewed by people as more impartial than they are; that their decisions are more objective than those of people. They are not.


According to the U.S. Department of Health and Human Services (HHS), about 70 percent of organizations are not compliant with the Health Insurance Portability and Accountability Act of 1996 (HIPAA). HIPAA mandates industry-wide standards for healthcare information and electronic billing, and requires protection as well as confidential handling of protected health information.



Women in the United States have a 1 in 8 (or about 13 percent) lifetime risk of being diagnosed with breast cancer during their lifetime. Death rates from breast cancer have been decreasing since 1989, and these decreases are thought to be the result of treatment advances, earlier detection through screening and increased awareness.1 The health community continues to strive for early detection of lesions — primarily through screening mammography, which is the most effective method for detecting early breast cancers and has been shown to reduce breast cancer-specific mortality.


The electronic transmission of patient images, when done cost effectively, efficiently and instantaneously, can help expand services of the provider; it can even change the culture of patient care, according to imaging administrators who described their daily experiences in an ITN webinar.


In healthcare, critical systems are being used to deliver vital information and services 24/7/365. Clinicians demand easy, always-on access to patient data; the quality of care can suffer if data is unavailable or slow to retrieve. As healthcare relies more and more heavily on digital, connected equipment and imaging systems, the volume of data is growing at an accelerating pace. Combine that accelerating data growth with long data retention requirements, and it is easy to see why healthcare executives are concerned about storage.



The growing influence and uptake of electronic medical records (EMRs) in healthcare has driven debate over the future role of specialist clinical and diagnostics software. With interoperability in the healthcare sector still a major challenge, many health providers are looking to simplify their information technology (IT) systems, consolidating to fewer software platforms and few vendor partners.



The founder of Gonzo journalism thought back nostalgically to what many believed in the 1960s was inevitable. The triumph of right over wrong. Of good over evil. A political revolution in the United States.



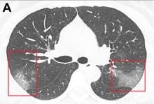
January 31, 2020 — One of the first imaging studies on the coronavirus (2019-nCoV) was published online today as radiologists scramble to find out how the virus presents in medical imaging. In just 30 days after the virus first appeared in China, it has spread to more than 8,200 confirmed cases and more than 170 deaths. Cases are now being reported in several countries, including the United States and Canada. 


Subscribe Now