February 8, 2010 – The U.S. Food and Drug Administration (FDA) issued guidance on Bayesian statistical methods in the design and analysis of medical device clinical trials that could result in less costly and more efficient patient studies.

February 6, 2010 - It doesn't matter how quickly and accurately a radiologist diagnoses a critical finding, if the referring physician doesn't see the report in time. That is why the Joint Commission defined procedures for reporting critical findings in its 2008 National Patient Safety Goals Hospital Program.


Cancer mortality rates have decreased as new technologies have been introduced into the field of healthcare, but these new technologies can sometimes present new challenges. There is no better example than in the fight against breast cancer.


February 4, 2010 – The FDA granted market clearance today for Toshiba America Medical Systems Inc.’s Viamo laptop ultrasound system. The device offers the same capabilities as larger cart-based systems that were previously unavailable on hand-carried systems.

The Viamo was introduced at the 2009 Radiological Society of North America (RSNA) annual meeting.

For more than a decade, Barry T. Katzen, M.D., medical director of Baptist Cardiac and Vascular Institute (BCVI) in Miami, Fla., has pioneered the integration of surgical and interventional procedures.
Dr. Katzen and his team continue to show that surgical procedures in an angiographic environment can be accomplished with the same degree of efficiency as in an operating room (OR).

In the past five years, no sector of healthcare has had as big a target on its back as has advanced diagnostic imaging services. Representatives of commercial insurance companies, politicians and even the media all have gravitated to using an MRI or CT service as the prime example of healthcare system waste.


In the past five years, no sector of healthcare has had as big a target on its back as advanced diagnostic imaging services has. Representatives of commercial insurance companies, politicians and even the media all have gravitated to using an MRI or CT service as the prime example of healthcare system waste.



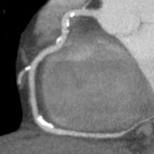
The importance of dealing with the epidemic of coronary artery disease (CAD) is well known, and the tools at our disposal to accurately recognize and manage it are evolving in very positive ways.



Data storage for any application is an assumed liability for all users. Whether capacity is expected on a laptop, cellular phone or clinical application, users of specific applications rely on the presence of storage capacity and information access with the same level of expectation that there will be air to breathe.



In a short time, the field of radiation oncology has experienced an explosion in imaging data. With large volumes of images generated across the course of treatment — from diagnosis to treatment planning, real-time treatment and follow-up — clinicians are grappling with what many refer to as a data tsunami.


Subscribe Now