Incidents of cancer are on the rise globally. According to a press release from the World Health Organization’s (WHO) International Agency for Research on Cancer (IARC), “In 2012, the worldwide burden of cancer rose to an estimated 14 million new cases per year, a figure expected to rise to 22 million annually in the next decade.” As the numbers increase around the world, research continues to unveil unconventional options for cancer treatment. Over the past five years, proton therapy has emerged as one popular choice. Hailed by some as the Rolls Royce of radiation oncology, the technology’s precision and accuracy, along with its ability to prevent damage to critical structures and healthy tissues, has made it a technology that many vendors and healthcare facilities are actively investing in.



A strong sense of purpose and high level of confidence encompasses the mindset of the American Society of Radiologic Technologists’ (ASRT) government relations department. This attitude has been especially important this year as the department has been extremely busy providing legislative counsel to states pursuing radiologic technology licensure and working the halls of Congress to push for reimbursement for radiologist assistant (RA) services. It also continues to seek basic minimum education standards for radiologic technologists who perform services for patients within the Medicare framework.


Akron General Health System, found within the heart of Ohio, has implemented the RayStation treatment planning system from RaySearch Laboratories, AB. This case study describes how they are using Python scripting to streamline their workflow while providing continuity during the planning process. The treatment planning system supports the integration of automated scripts that allows users to interact with objects in the patient database and present them or analyze them to develop custom output and reports. Jeremy Donaghue, chief physicist, shares three scripts that have been clinically implemented, having a positive impact on their facility.

Arc-based radiation therapy continues to gain ground as physicians opt for treatment options that not only are more precisely tailored to each tumor site, but also delivered in fewer visits, which is significantly more convenient for both patients and cancer centers. With a variety of radiation therapy techniques available, from intensity-modulated radiation therapy (IMRT) and whole-body irradiation (WBI) to proton therapy and stereotactic body radiation therapy (SBRT), cancer centers around the country are now, more than ever, able to offer patients a more effective solution for targeting and treating their diseases.


September 3, 2014 — IBA (Ion Beam Applications SA) announced that Willis-Knighton Cancer Center in Shreveport, La., and IBA have completed acceptance testing of the first ProteusONE system ahead of schedule, opening the way to final commissioning and patient treatment with the most advanced compact image-guided IMPT (intensity-modulated proton therapy) solution.

A growing volume and variety of patient information created a big challenge for leaders at CHRISTUS Health. “We needed to make patient information readily available to clinicians while also managing it within a long-term storage solution outside the departmental picture archiving and communication system (PACS),” said Lynn Gibson, vice president and CTO at CHRISTUS.


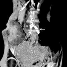
New research published in the June issue of Global Heart, the journal of the World Heart Federation, shows that there are no significant differences in the incidence or severity of atherosclerotic disease (narrowing of the arteries with fatty deposits) between ancient and modern people, proving that atherosclerosis is not just a disease of modern times. The journal included three articles [1,2,3] on the finding of the Horus study, which used computed tomography (CT) scans from ancient mummies to compare arterial calcification caused by Horus atherosclerosis.


Innovation was the theme at the recent 2014 annual meeting of the American Association of Physicists in Medicine (AAPM) in Austin. Its education and professional programs offered attendees the opportunity to gain practical knowledge on emerging technical and professional issues, and the scientific program featured the latest research on the physics of medical imaging and radiation therapy.  


September 3, 2014 — Teleflex announced a newly published clinical study demonstrating the accuracy of the Arrow VPS G4 vascular positioning system, with placements of peripherally inserted central catheters (PICCs), can eliminate the use of confirmatory chest X-rays.

Subscribe Now