An Egyptian mummy undergoing CT scans as part of the Horus study.
New research published in the June issue of Global Heart, the journal of the World Heart Federation, shows that there are no significant differences in the incidence or severity of atherosclerotic disease (narrowing of the arteries with fatty deposits) between ancient and modern people, proving that atherosclerosis is not just a disease of modern times. The journal included three articles [1,2,3] on the finding of the Horus study, which used computed tomography (CT) scans from ancient mummies to compare arterial calcification caused by Horus atherosclerosis.
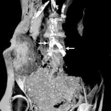
While the Horus study has previously reported atherosclerotic vascular calcifications on CT scans in ancient Egyptians, the Horus team’s new study compared patterns and demographic characteristics of this disease among Egyptians from both ancient and modern eras.[1] The authors compared the presence and extent of vascular calcifications from whole-body CT scans performed on 178 modern Egyptians from Cairo undergoing positron emission tomography (PET)/CT for cancer staging to CT scans of 76 Egyptian mummies (3100 BC to 364 AD). Patients undergoing cancer staging were selected for the study because these scans had already been completed for this group of patients as part of their cancer care.
The mean age of the modern Egyptian group was 52 years (range 14 to 84) vs. estimated age at death of ancient Egyptian mummies at 36 years (range 4 to 60). Vascular calcification (evidence of atherosclerosis) was detected in 108 of 178 (61 percent) modern patients vs. 26 of 76 (38 percent) mummies, with vascular calcifications on CT strongly correlated to age in both groups. In addition, the severity of disease by number of involved arterial beds also correlated to age, and there was a very similar pattern between the two groups.
However, the authors pointed out that there is more likely to be atherosclerosis in modern patients due to the higher age range. Once all modern patients over 60 were excluded (with 60 years being the oldest age of death in the mummies) there was no significant difference in incidence or severity of atherosclerotic disease between the two groups.
“Atherosclerosis has always been thought of as a disease of modern civilization that is linked to risk factors such as a diet rich in fat, smoking, lack of exercise, high blood pressure, diabetes and obesity,” said Adel Allam, M.D., Al-Azhar University, Cairo, Egypt. “Although elite ancient Egyptians may have consumed a diet rich in fat, we do not have definite information if diabetes and high blood pressure were present at that time. However multiple other risk factors that are related to the disease were not present during ancient times, for example smoking and lack of exercise. Thus we definitely expected to see more atherosclerotic disease in modern Egyptians compared to ancient Egyptians.”
The authors concluded that the elucidation of risk factors underlying the development and progression of atherosclerosis helps identify effective strategies for the prevention and treatment of atherosclerosis. “Our knowledge on risk factor patterns among ancient Egyptians, including associated conditions such as diabetes, abnormal blood fat levels and high blood pressure, is incomplete,” the authors wrote, and explained further studies are needed comparing varying environmental and genetic predispositions to the development of atherosclerosis between ancient and modern Egyptians.
Other Mummies Studied
Two other studies published in Global Heart[2,3] explained atherosclerosis was found in other cultures’ mummies as well, and offered explanation to the possible causes.
While the mummified ancient Egyptians may have been the wealthy of their day, the Horus study also included mummies from four non-Egyptian cultures. In these cases, instead of the Egyptian method using an extensive mummification process, the dead were left to dry out on their own, either in a desert or a fiercely cold environment. Their abdominal organs were left inside the body and expensive oils, resins and drying measures were not employed. These mummies were common men and women of their time.
The study included 51 Peruvians from 600 to 2,000 years ago, and five Native Americans of Utah and Colorado from about 1,600 years ago. The small group of Mongolians studied from 500 years ago lived a primitive nomadic lifestyle in the Gobi Desert. The five Aleutian Islanders of 150 years ago obtained their food from the Bering Sea and its shoreline, hunting and gathering for food without benefit of agriculture or domestic animals. Yet the Horus team found that these people of ancient lifestyles were also plagued by atherosclerosis.
“The CT scans show a surprising similarity in the amount and distribution of atherosclerotic calcifications between ancient Egyptians and men and women living in the U.S. today,” said James Sutherland, M.D., co-author and radiologist at Saddleback and Orange Coast Memorial in California. “This should lead to re-evaluation of the root causes of atherosclerosis and could lead to entirely new avenues of prevention and early treatment.”
None of these cultures suffered from significant obesity, lack of physical activity, cigarette smoking or other well-known modern risk factors that can cause narrowing of the arteries and thus raise the risk of heart attack, stroke and other cardiovascular problems. However, the authors suggest that a non-traditional cause or causes of atherosclerosis could explain the burden of atherosclerosis in ancient people.
“These ancient people were unaware of the germs lurking in the unhygienic environments in which they lived — animals and people living side by side, inadequate sewage, contaminated water,” said Gregory S. Thomas, M.D., MPH, medical director, MemorialCare Heart and Vascular Institute at Long Beach Memorial, Long Beach, Calif., and co-principal investigator of the Horus study. “They did not know that the germs amongst which they lived caused infection after infection. In addition to frequent bacterial and viral infections, the ancients likely suffered from lifelong parasitic infestations. Modern medicine, knowledge and antibiotics had not yet arrived.”
Role of Inflammation
“Chronic infections and poor hygiene remained pervasive problems in ancient civilizations. It is certainly possible that the subsequent inflammation that accompanies these conditions could play a role in the development of atherosclerosis,” said David Michalik, D.O., co-author and infectious disease specialist at Miller Children’s and Women’s Hospital Long Beach.
A strong and prolonged inflammatory effort by the body would have been necessary to fight off the infections that plagued ancient humans. However, this intense inflammatory response may have accelerated the inflammation that occurs when cholesterol, an unwelcome guest, gets into the wall of the artery. Inflammation is an integral part of the atherosclerotic process. Cholesterol is not supposed to be in the wall, thus the body fights it. The process is counterproductive, however, attracting more unwelcome cells in the wall of the artery resulting in a further build up of an atherosclerotic plaque.
As evidence, the authors cite a 1974 investigation into the mummy Nakht, a teenage boy who worked as a weaver circa 1200 BC in Thebes (modern day Luxor, Egypt). The extensive investigation found that Nakht was infected with four parasites, suffering from schistosomiasis, trichinosis, malaria and tapeworm infestation. The authors commented, “If Nakht is representative of those living along the ancient Nile, these populations must have endured enormous, lifelong inflammatory burdens.” Other mummies were found to be harboring tuberculosis infections.
There is precedence of inflammation accelerating atherosclerosis in the modern day. People with conditions of ongoing inflammation, those with rheumatoid arthritis, systemic lupus erythematosus or human immunodeficiency virus (HIV) infection experience premature and aggressive atherosclerosis leading to early heart disease and death. The investigators suggest the inflammatory process, necessary to fight off infection in ancient times in particular, could backfire by promoting atherosclerosis in the absence of modern risk factors.
Tobacco was not available to any of these ancient cultures, but could the equivalent of smoking represent another cause for this unexpected atherosclerosis? Modern appliances were unavailable, and cooking was performed over a fire. The same fire could be used to ward off insects and for light and warmth.
“We noticed a trend toward more women than men developing atherosclerosis in ancient times,” Thomas said. “The traditional role of women in these times, cooking over a fire for much of the day, could have represented the scourge of smoking of the time. Inhalation of smoke day-in and day-out could have initiated and propelled the atherosclerotic process.”
Thomas and Narula commented that the bulk of modern risk factors were discovered several generations ago, before genetic testing and modern biomarker analysis. “Each year we learn more and more about the impact of the human genome and molecules in our blood, and so to believe we have already uncovered all the causes, or risk factors, of atherosclerosis may be wishful thinking,” said Thoms. “Using the past to predict the future, as these ancient people unexpectedly had atherosclerosis, we need to continue to search for other potential fundamental causes of atherosclerosis. The discovery of new causes could dramatically reshape the frequency and impact of atherosclerosis today.”
Related Mummy and Archological Cardiology Content:
Egyptian Mummies Show Earliest Cases of Coronary Disease on CT
Mummy’s Secrets No Longer Under Wraps Thanks to 3-D CT
Study Reveals Evidence of Heart Disease in Ancient Egyptian Mummies
Imaging Yields Evidence of Heart Disease in Archeological Find
References:
1. Adel H. Allam, Mohamed A. Mandour Ali, L. Samuel Wann, et al. “Atherosclerosis in Ancient and Modern Egyptians: The Horus Study.” Global Heart, Vol. 9, No. 2, June 2014; 197-202.
2. Randall C. Thompson, Adel H. Allam, Albert Zink, et al. “Computed Tomographic Evidence of Atherosclerosis in the Mummi?ed Remains of Humans From Around the World.” Global Heart, Vol. 9, No. 2, June 2014; 187-196.
3. Gregory S. Thomas, Samuel Wann, Adel H. Allam, et al. “Why Did Ancient People Have Atherosclerosis? From Autopsies to Computed Tomography to Potential Causes.” Global Heart, Vol. 9, No. 2, June 2014; 229-237.
December 10, 2025 