Terran Biosciences, Inc., a biotech platform company developing therapeutics and technologies for patients with neuropsychiatric illnesses, has received U.S. Food and Drug Administration (FDA) clearance to market NM-101, a cloud-based software platform to analyze neuromelanin-sensitive MRI scans. Image courtesy: Terran Biosciences, Inc.
December 20, 2023 — Terran Biosciences, Inc., a biotech platform company developing therapeutics and technologies for patients with neuropsychiatric illnesses, has received U.S. Food and Drug Administration (FDA) clearance to market NM-101, a cloud-based software platform to analyze neuromelanin-sensitive MRI scans. Currently, according to the company, there is no other FDA-cleared software indicated for the analysis of neuromelanin MRI on the market, making Terran’s technology the world’s first.
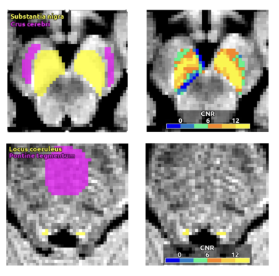
NM-101 is a cloud-based analysis platform that is able to seamlessly integrate into existing workflows at hospitals and imaging centers. The device allows doctors to send neuromelanin MRI images to Terran directly through the hospital picture archiving and communication system (PACS) and receive a full report back in under an hour. When interpreted by a neuroradiologist, NM-101 can provide information useful in determining neuromelanin association as an adjunct to diagnosis.
“This is a big moment for us and our collaborators and we’re thrilled to bring this new tool to doctors where it can begin benefiting patients,” said Terran Biosciences Founder and CEO Sam Clark, MD, PhD. “We were excited to partner with leading researchers in the field and conduct the key development steps necessary to bring it through to FDA clearance. We believe this technology could become very important in the clinical workflow of patients with neurological and psychiatric disorders.”
Neuromelanin is a molecule associated with certain cell populations in the brain. While neuromelanin was first described in the 19th century, researchers have elucidated its possible role as a biomarker for neurological disorders such as Parkinson’s disease in the last two decades. Studies show that neuromelanin MRI may provide useful adjunctive information to aid in the evaluation of Parkinson’s disease, and avoids the disadvantages of current adjunctive imaging modalities such as DaT-SPECT, which requires a five-hour procedure, intravenous radiation exposure, and can cost well over $3,000 [1-6]. A recent meta-analysis of 12 clinical neuromelanin MRI studies comprising 403 patients with Parkinson’s disease and 298 control participants concluded that neuromelanin MRI provided a “favorable diagnostic performance in discriminating patients with Parkinson’s disease from healthy controls” [7]. The benefits of neuromelanin MRI include:
- Fast scan time (less than 10 min of additional time in the scanner)
- No injections
- No exposure to radiation
- Cost-effective; can be added to the MRI that most patients already receive as part of their initial workup
- Potential to provide adjunctive information in indications beyond Parkinson’s disease, such as Alzheimer’s disease and schizophrenia [6,7,9-12]
David Sulzer, PhD, professor of neurobiology at Columbia University Vagelos College of Physicians and Surgeons and co-author of multiple studies using neuromelanin MRI, commented, “The research suggests that neuromelanin MRI is a promising approach with the potential to become part of the standard of care for the workup of all patients suspected of Parkinson’s and related diseases.”
One of the first researchers to study neuromelanin, Luigi Zecca, MD, PhD, head of the Brain Aging and Neurodegeneration Unit at the Institute of Biomedical Technologies-CNR in Milan, commented on the news, “After many years of hard work to show neuromelanin MRI could be a powerful tool, it’s exciting to see this technology finally become available to physicians and patients.”
Despite these benefits, there have been no FDA-approved devices capable of providing clinicians with analysis of neuromelanin MRI due to a lack of automation and standardization that has prevented its clinical use. Historically, the standardization of neuromelanin measurement has been difficult due to variability in results among MRI scanners, even those from the same manufacturer and model [7,8]. NM-101 contains algorithms that enabled for the first time the fully automated analysis and the cross-scanner harmonization of neuromelanin MRI scans [8-10,12,13].
Guillermo Horga, MD, PhD, Associate Professor of Psychiatry at Columbia University Vagelos College of Physicians and Surgeons, and Clifford Cassidy, PhD, now Assistant Professor of Cellular and Molecular Medicine at the University of Ottawa, were pioneers of the original algorithms and authors of studies using neuromelanin MRI in neuropsychiatric disorders including schizophrenia [9,12].
“It’s great to see neuromelanin MRI become more accessible in clinical settings,” said Dr. Horga. “We hope this opens the door for the adoption of neuromelanin MRI into the clinical workflow for patients with neuropsychiatric disorders.”
“Now that we’re able to access measurements of neuromelanin-associated signal in both the substantia nigra and locus coeruleus,” added Dr. Cassidy, “it allows us to obtain potentially useful adjunctive information about many other diseases such as Alzheimer’s disease, and PTSD.”
For more information: www.nm-101.com
Citations
- Okuzumi, A., et al. "Neuromelanin or DaT‐SPECT: which is the better marker for discriminating advanced Parkinson's disease?" European journal of neurology 26.11 (2019): 1408-1416.
- Pavese, Nicola. "Is neuromelanin the imaging biomarker for the early diagnosis of Parkinson's disease that we were looking for?" Parkinsonism & Related Disorders 58 (2019): 1-2.
- Prasad, Shweta, et al. "Motor asymmetry and neuromelanin imaging: Concordance in Parkinson's disease." Parkinsonism & Related Disorders 53 (2018): 28-32.
- Liu, Yu, et al. "Optimizing neuromelanin contrast in the substantia nigra and locus coeruleus using a magnetization transfer contrast prepared 3D gradient recalled echo sequence." Neuroimage 218 (2020): 116935.
- Wang, Xiangming, et al. "The diagnostic value of SNpc using NM-MRI in Parkinson’s disease: meta-analysis." Neurological Sciences 40 (2019): 2479-2489.
- Sulzer, David, et al. "Neuromelanin detection by magnetic resonance imaging (MRI) and its promise as a biomarker for Parkinson’s disease." NPJ Parkinson's disease 4.1 (2018): 11.
- Cho, Se Jin, et al. "Diagnostic performance of neuromelanin-sensitive magnetic resonance imaging for patients with Parkinson’s disease and factor analysis for its heterogeneity: a systematic review and meta-analysis." European radiology 31 (2021): 1268-1280.
- Wengler, Kenneth, et al. "Cross‐scanner harmonization of neuromelanin‐sensitive MRI for multisite studies." Journal of Magnetic Resonance Imaging 54.4 (2021): 1189-1199.
- Cassidy, Clifford M., et al. "Neuromelanin-sensitive MRI as a noninvasive proxy measure of dopamine function in the human brain." Proceedings of the National Academy of Sciences 116.11 (2019): 5108-5117.
- Cassidy, Clifford M., et al. "Association of locus coeruleus integrity with Braak stage and neuropsychiatric symptom severity in Alzheimer’s disease." Neuropsychopharmacology 47.5 (2022): 1128-1136.
- Horga, Guillermo, Kenneth Wengler, and Clifford M. Cassidy. "Neuromelanin-sensitive magnetic resonance imaging as a proxy marker for catecholamine function in psychiatry." JAMA psychiatry 78.7 (2021): 788-789.
- Wengler, Kenneth, et al. "Generalizability and Out-of-Sample Predictive Ability of Associations Between Neuromelanin-Sensitive Magnetic Resonance Imaging and Psychosis in Antipsychotic-Free Individuals." JAMA psychiatry (2023).
- Al Haddad, Rami, et al. "Normative Values of Neuromelanin‐Sensitive MRI Signal in Older Adults Obtained Using a Turbo Spin Echo Sequence." Journal of Magnetic Resonance Imaging 58.1 (2023): 294-300.
Related Alzheimers' content:
FDA Grants Accelerated Approval for Alzheimer’s Drug Aduhelm
VIDEO: Researchers Use MRI to Predict Alzheimer's Disease
Brain Iron Accumulation Linked to Cognitive Decline in Alzheimer's Patients
Good Results for Alzheimer’s Imaging Agent
NIH Augments Large Scale Study of Alzheimer’s Disease Biomarkers
Alzheimer’s Association Launches New Website for IDEAS Study
PET Tracer Gauges Effectiveness of Promising Alzheimer's Treatment
December 15, 2025 