December 9, 2009 – Research published in the December issue of The Journal of Nuclear Medicine (JNM) suggests SPECT, when combined with low-dose CT, may provide an accurate diagnosis for pulmonary embolism.
Pulmonary embolism is caused when a blood clot travels to a person’s lungs from another location in the body, usually the legs. Symptoms may include shortness of breath, chest pain and coughing up blood. Anyone, including people who are otherwise healthy, can develop a blood clot and subsequent pulmonary embolism. Additionally, some patients show no symptoms, making pulmonary embolism particularly difficult to diagnosis. If left untreated, the mortality rate for patients with pulmonary embolism is approximately 30 percent. The risk of death can be reduced, however, with anti-clotting medications.
“Pulmonary embolism is very difficult to diagnose clinically,” said J. Anthony Parker, M.D., Ph.D., a Beth Israel Deaconess Medical Center researcher who authored an invited perspective on the study in JNM. “Untreated, it has a high mortality rate. However, the treatment for pulmonary embolism also has serious side effects. As such, it is important not to over-treat pulmonary embolism. More accurate diagnosis, including both improved sensitivity and specificity, should result in better patient outcomes.”
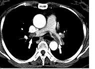
In the JNM study, titled “Detection of Pulmonary Embolism with Combined Ventilation—Perfusion SPECT and Low-Dose CT: Head-to-Head Comparison with Multidetector CT Angiography,” researchers in Denmark tested the diagnostic accuracy of SPECT/CT imaging for pulmonary embolism against that of multidetector CT angiography (MDCT) alone, which is the current first-line imaging technique for diagnosing pulmonary embolism. Their study found that SPECT plus low-dose CT had a sensitivity of 97 percent and a specificity of 100 percent, whereas MDCT alone had a sensitivity of 68 percent and a specificity of 100 percent. Having an effective technique for diagnosing pulmonary embolism leads to more rapid and successful diagnosis.
In a related article also published in this month’s JNM, researchers discuss the role of SPECT in imaging pulmonary embolism and how the technology has advanced. The authors of “SPECT in Acute Pulmonary Embolism” write that there is renewed interest in this modality as the initial imaging test for pulmonary embolism as a result of improved instrumentation and improved interpretation of lung scans, as well as concerns about high radiation exposure from CT angiography, particularly to the female breast. The article supports the conclusions found by the researchers in Denmark—SPECT/CT imaging may considerably improve the diagnosis of pulmonary embolism. The article also suggests that SPECT might be useful for follow-up examinations for determining therapy’s response.
For more information: www.snm.org
September 30, 2025 