May 5, 2015 — Soft tissue disorders like tumors are very difficult to recognize using normal X-ray machines. There is hardly any distinction between healthy tissue and tumors. Researchers at the Technische Universität München (TUM) have now developed a technology using a compact synchrotron source that measures not only X-ray absorption, but also phase shifts and scattering. Tissue that is hardly recognizable using traditional X-ray machines is now visible.
X-ray images have become an integral part of daily medical practice. Bones, for example, absorb large amounts of X-rays because of their high calcium content. This allows them to be differentiated from air-filled cavities like the lungs and surrounding soft tissue. However, because of their very similar absorption coefficients, soft tissue, organs and structures inside organs, like tumors, are hardly discernable from one another using the medical devices deployed in medicine today.
Now a group of scientists headed by Franz Pfeiffer, professor of biomedical physics in the Physics Department and the faculty of medicine at TU München, have for the first time succeeded in making such soft tissue visible. The scientists used a new kind of X-ray source that was developed only a few years ago.
Unlike classical X-ray tubes, a synchrotron generates highly focused, monochromatic X-rays. The individual rays all have the same energy and wavelength. In the past, X-rays with these properties could only be generated in large particle accelerators, which have a circumference of at least 1 kilometer. The compact synchrotron, in contrast, has merely the size of a car and fits into a normal laboratory.
“Monochromatic radiation is much better suited for measuring other parameters, in addition to absorption,” explained Elena Eggl, doctoral candidate and the chair of biomedical physics. “This is because it does not lead to artifacts that deteriorate the image quality.”
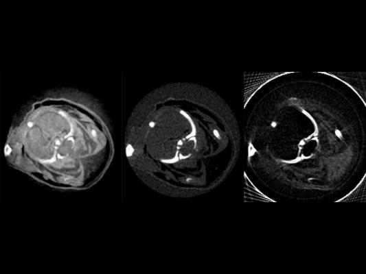
The scientists inserted an optical grating into the focused X-ray beam, allowing them to detect even the tiniest phase shifts and scattering of the radiation in addition to the absorption of X-rays. The first phase contrast tomography image from a compact synchrotron source was successfully acquired.
The phase contrast, dark field and absorption images made using the new technology have complementary properties. Liquid in tissue that remains indiscernible and, thus, invisible using conventional X-ray tubes, suddenly comes to life. The greatly improved soft tissue contrast of the new X-ray technology could also help make tumors detectable earlier on and enable quick diagnoses – in medical emergencies, for example.
The clarity of the new technology becomes apparent when comparing white and brown fatty tissue. “In a mouse we were able to recognize not only heart, liver and other organs much better, but could even differentiate between brown and white body fat,” said Eggl.
Brown fatty tissue, which occurs mainly in newborns, can support the burning of normal white fatty tissue. It is a relatively new discovery that adults, too, still have brown fatty tissue — tissue that, as some researchers hope, can be reactivated to help obese people lose weight.
While these experiments were performed using an initial prototype setup of Lyncean Technologies Inc. in California, a significantly improved compact synchrotron source is under construction at the Garching Research Campus. It is part of the “Center for Advanced Laser Applications” (CALA), a joint project of the TU München and the Ludwig-Maximillians Universität (LMU). Eggl and Pfeiffer, in collaboration with colleagues in laser physics at the LMU and the Max Planck Institute of Quantum Optics, hope to further improve the new X-ray technology.
For more information: www.tum.de/en
December 10, 2025 