June 13, 2019 — Three-dimensional (3-D) printing software and solutions company Materialise has received U.S. Food and Drug Administration (FDA) clearance for its Mimics Enlight cardiovascular planning software suite. The first release will support clinicians planning complex transcatheter mitral valve replacement (TMVR) procedures.
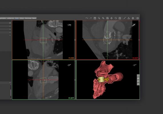
Mimics Enlight is based on the strengths of Materialise's Mimics Innovation Suite, which helps clinicians produce patient-specific 3-D models. Created in collaboration with Henry Ford Health System in Detroit with Dee Dee Wang, M.D., FACC, director of structural heart imaging, and leveraging the Henry Ford Innovation Institute's patented workflow, Mimics Enlight is intended to support patient selection and planning for structural heart and vascular therapy. The software is the first of its kind to include consistent methods of taking critical measurements, according to Materialise. This enables clinicians to reliably plan and screen patients for cardiovascular procedures. The TMVR workflow provides a streamlined, easy-to-use clinical workflow for planning complex procedures to correct mitral regurgitation, a disease affecting nearly one in 10 people age 75 and older.
Watch the VIDEO: Applications for 3-D Printing and Computer Aided Design in Cardiology, an interview with Wang.
Each mitral valve replacement differs due to a patient's unique anatomy, making procedural planning crucial to the successful implantation of TMVR devices. Accurate measurements during planning are vital for predicting patients' risk for left ventricular outflow tract (LVOT) obstruction, a complication resulting in obstruction of blood flow out of the left ventricle to the rest of the body.
Mimics Enlight Mitral gives clinicians accurate 3-D models for consistency in taking measurements like neo-LVOT to screen patients for TMVR therapy, plan procedures, and determine the appropriate size and positioning of TMVR devices.
Attendees can learn more about the Mimics Enlight Software from the Materialise medical team at the Transcatheter Valve Therapies (TVT) 2019 - Structural Heart Summit, June 13-15 in Chicago.
Read the article "The Use of 3-D Printing in Cardiology"
For more information: www.materialise.com
September 30, 2025 