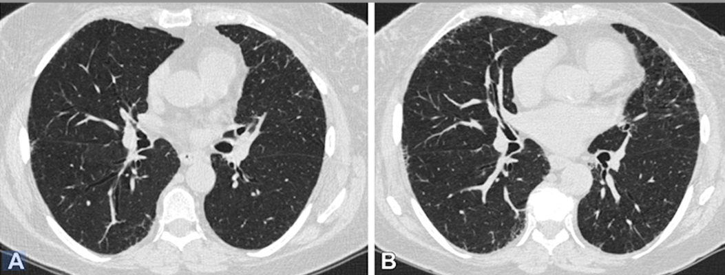
A recently-published study, “Association of Acute Respiratory Disease Events with Quantitative Interstitial Abnormality Progression at CT in Individuals with a History of Smoking,” found that in individuals with a history of smoking, progression of quantitative interstitial abnormalities (QIA) at CT was associated with severe acute respiratory events, independent of comorbidities, such as emphysema and small airway disease. The study was published in published in Radiology, a journal of the Radiological Society of North America (RSNA). Image courtesy: RSNA
May 24, 2024 — Smokers who have small abnormalities on their CT scans that grow over time have a greater likelihood of experiencing acute respiratory disease events, according to a new study published today in Radiology, a journal of the Radiological Society of North America (RSNA). The recently-published study, “Association of Acute Respiratory Disease Events with Quantitative Interstitial Abnormality Progression at CT in Individuals with a History of Smoking," found that in individuals with a history of smoking, progression of quantitative interstitial abnormalities (QIA) at CT was associated with severe acute respiratory events, independent of comorbidities, such as emphysema and small airway disease.
Quantitative interstitial abnormalities (QIA) are subtle abnormalities on chest CTs that do not meet the diagnostic criteria for advanced pulmonary diseases but are nonetheless associated with decreased lung function and capacity, increased respiratory symptoms and death.
“QIA includes features like reticulation and ground-glass opacities as well as subtle density changes with important clinical implications,” said Bina Choi, M.D., associate physician in the Division of Pulmonary and Critical Care Medicine at Brigham and Women’s Hospital and postdoctoral fellow at the Applied Chest Imaging Laboratory, Harvard Medical School in Boston. “In some patients, QIA may be a precursor to advanced diseases such as pulmonary fibrosis or emphysema.”
Acute respiratory disease events are episodes of increased cough, phlegm or shortness of breath that last at least two days and require treatment with steroids or antibiotics. Severe acute respiratory disease episodes require an emergency room visit or hospitalization.
“We wanted to determine whether progression in QIA on chest CT is associated with acute respiratory disease events in individuals with a history of smoking,” Dr. Choi said. “While many acute respiratory disease events are likely related to airway disease and COPD, some may instead be associated with QIA especially in people without obstruction or emphysema.”
Dr. Choi’s team performed a secondary analysis of the CT scans of 3,972 participants (mean age 60.7; 2,120 women) in the COPDGene Study, one of the largest studies ever to investigate the underlying genetic factors of COPD. The study included individuals with a 10-pack-year or greater smoking history recruited from multiple centers between November 2007 and July 2017.
QIA was measured with machine learning-based tools as a percentage of lung volume on a CT scan. QIA progression was assessed using the participants’ QIA measurements at baseline and five-year follow-up CT exams.
Statistical analyses revealed that participants in the highest quartile of QIA progression had more frequent acute respiratory disease and severe acute respiratory disease events than those in the lowest quartile.
“Severe acute respiratory disease events may be a sign of disease activity and a source of morbidity at the earliest stages of lung tissue injury,” she said. “Some people with QIA progression may merit more aggressive monitoring and earlier intervention.”
For more information: www.rsna.org
Reference: “Association of Acute Respiratory Disease Events with Quantitative Interstitial Abnormality Progression at CT in Individuals with a History of Smoking," https://doi.org/10.1148/radiol.231801
December 09, 2025 