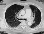
January 4, 2010 - Computed tomography (CT) is the overwhelmingly preferred technique of emergency physicians and radiologists for the diagnosis of pulmonary embolism (PE), according to a study in the January issue of the American Journal of Roentgenology.
The main diagnostic imaging tests available to diagnose PE are CT, lung scintigraphy, and MRI. In the study, led by Saurabh Jha, M.D., researchers set out to assess the diagnostic approach to PE practiced by emergency physicians and recommended by radiologists.
Emergency physicians and radiologists answered questions on diagnostic strategies for the detection of PE.
The results found that emergency physicians nearly uniformly (96 percent) chose CT as the preferred first-line investigation because of accuracy, overall access to CT, 24-hour interpretation, and capability for alternative diagnosis. Ninety percent of radiologists also said CT was the first-line medical imaging technique for excluding pulmonary embolism.
Although, approaches differed on the use of CT for pregnant patients, Dr. Jha said noted that CT is the nearly universal first-line imaging choice for the diagnosis of PE.
For more information: www.ajronline.org
December 10, 2025 