January 26, 2024 — P-Cure continues its quest to successfully usher in a new era of clinical treatment with proton ...
Radiation Oncology
Radiation oncology is a medical specialty that uses radiation therapy to treat cancer. The radiation therapy channel covers all aspects of radiation oncology technology. Radiation therapy includes linear accelerators (LINAC), proton therapy, brachytherapy, image guided radiation therapy (IGRT), focused ultrasound, stereotactic body radiation therapy (SBRT), intensity modulated radiation therapy (IMRT), treatment planning systems and tomotherapy.
This gallery includes photos of the wide range of medical imaging technologies, scientific sessions, educational courses ...
January 24, 2024 — Nonfunctional pancreatic neuroendocrine tumors, while rare, are primarily treated through surgery ...
Elekta’s latest linear accelerator, Harmony, is designed to provide a productive and versatile radiotherapy solution for ...
January 23, 2024 — IBA, a world leader in particle accelerator technology and the world’s leading provider of ...
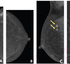
January 19, 2024 — Treating tumors is a global health issue. In radiotherapy, radiation is used to destroy tumor cells ...
“I think you could say the RSNA annual meeting is back. We had 40,000 attendees, 700 companies, over 400,000 square feet ...
Automation is transforming the way we practice radiation oncology and advancing the standard of patient care. There have ...
Over the past several years, technological advancements have driven the development of more precise and targeted ...
Coherent Market Insights has recently published a report, titled, Artificial Intelligence in Oncology Market, By ...
January 12, 2024 — RefleXion Medical, Inc., a therapeutic oncology company, announced that the Centers for Medicare and ...
Treating cancer effectively often includes a combination of patient therapies. In recent years, technology advancements ...
January 11, 2024 — On January 9th, 2024, a scientific prototype for MRI-guided proton therapy was inaugurated in Dresden ...
January 9, 2024 — Paige, a global leader in end-to-end digital pathology solutions and clinical AI applications, today ...
January 9, 2024 — The American Society for Radiation Oncology (ASTRO) announced that CEO Laura Thevenot plans to retire ...
Transitioning to a new device vendor can provide improvements to outdated technology and workflow. It also requires a ...
In Part 2 of this 3-part video series on recent advancements in diagnostic radiology, current editorial advisory board ...
January 8, 2024 — GE HealthCare announced it has entered into an agreement to acquire MIM Software, a global provider of ...
January 5, 2024 — Perspective Therapeutics, Inc., announced that it has entered into a patent license agreement with ...
January 4, 2024 — Varian, a Siemens Healthineers company, and Nova Scotia Health have formed an unprecedented 10-year, ...
January 3, 2024 — RaySearch Laboratories AB announced the launch of RayStation* 2024A, the latest version of the company ...
The Imaging Technology News team has put together a photo gallery that includes photos of the wide range of medical ...
Here is a rundown of what you and your colleagues found to be most interesting in the field of medical imaging during ...
December 27, 2023 — Nationwide Children’s Hospital and The Ohio State University Comprehensive Cancer Center – Arthur G ...
January 26, 2024 