April 1, 2020 — A new study, Data-based analysis, modelling and forecasting of the COVID-19 outbreak, published March 31, 2020, was conducted by…
Henry Ford Hospital
This page highlights news and new technology from Henry Ford Hospital in Detroit, Michigan. The hospital is a luminary center and also a pioneer of new cardiovascular technologies, imaging technologies and in the area of radiation therapy.
May 12, 2022 — Henry Ford Health is the first in Michigan to offer Robotic High Intensity Focused Ultrasound (HIFU) for ...
December 22, 2021 — Surgeons at Henry Ford Health System have treated a patient with a recurrent brain tumor by ...
April 1, 2020 — A new study, Data-based analysis, modelling and forecasting of the COVID-19 outbreak, published March 31 ...
Henry Ford Hospital thought leaders regularly speak at the radiation oncology and radiology conferences about new ...
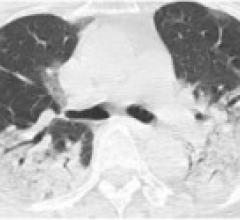
This is a Philips Brilliance computed tomography (CT) scanner used by Henry Ford Hospital’s radiation oncology ...
This is a walk through of the ViewRay MRIdian MRI-guided radiotherapy system installed at Henry Ford Medical Center — ...
This is a quick look inside the magnetic resonance imaging (MRI) neuro-interventional suite at Henry Ford Hospital in ...
This is a 360 degree photo view inside the neuro-interventional radiology lab at Henry Ford Hospital to show the layout ...
Dee Dee Wang, M.D., director of structural heart imaging, Henry Ford Hospital, Detroit, Mich., explains how patient ...
Scott Schwartz, M.D., interventional radiologist and program director for IR residencies and the vascular and ...
Benjamin Movsas, M.D., chair of radiation oncology at Henry Ford Cancer Institute, describes the benefits the department ...
Carri Glide-Hurst, Ph.D., director of translational research, radiation oncology at Henry Ford Health System, describes ...
Carri Glide-Hurst, Ph.D., director of translational research, radiation oncology at Henry Ford Health System, describes ...
Carri Glide-Hurst, Ph.D., and Benjamin Movsas, M.D., discuss Henry Ford Hospital's involvement in a national clinical ...
Eric Morris, a Ph.D. candidate at Henry Ford Hospital and Wayne State University, explains his project to automate ...
May 12, 2022 