Today, only 12 percent of breast cancers in the United States are treated with accelerated partial breast irradiation ...
Brachytherapy Systems
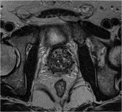
Brachytherapy is a type of radiation therapy where a sealed radiation source is placed next to or inside the area being treated. It is also important to women's health because it is a common treatment for cervical, breast, and skin cancer.
June 2, 2014 — CivaTech Oncology’s flagship product, the CivaString source, has been listed on the Joint American ...
April 6, 2014 — iCAD, a provider of advanced image analysis, workflow solutions and radiation therapy, reported it has ...
In Artificial Intelligence at RSNA 2019, ITN Contributing Editor Greg Freiherr offers an overview of artificial ...
March 7, 2014 — A 67-year-old male patient received his final Esteya electronic brachytherapy session to treat a ...
Cianna Medical, Inc., a women’s health company, today announced the outcomes of a large, retrospective study ...
December 11, 2013 — C4 Imaging LLC announced U.S. Food and Drug Administration (FDA) 510(k) clearance of its first ...
Join Chris Toth, president of Varian’s Oncology Systems business, for a look at product introductions for 2018 plus a ...
November 21, 2013 — Civco Medical Solutions announced that its EX3 Stepper for low-dose rate (LDR) and high-dose rate ...
November 15, 2013 — Hospital La Fe, a clinical collaborator of Nucletron, an Elekta company, is nearing the conclusion ...
October 24, 2013 — A comprehensive review of Medicare claims for more than 45,000 patients from 2005 through 2010 found ...
Varian Medical Systems celebrates its 65-year anniversary, focused around innovation, partnership, collaboration and ...
Varian Medical Systems celebrates its 65-year anniversary, focused around innovation, partnership, collaboration and ...
Esteya electronic brachytherapy by Nucletron, an Elekta company, is a new, high-precision treatment solution for ...
October 9, 2013 — Cianna Medical Inc. announced approval from the Japanese Ministry of Health, Labor and Welfare (MHLW) ...
Esteya electronic brachytherapy by Nucletron, an Elekta company, is a new, high-precision treatment solution for ...
October 4, 2013 — Theragenics Corporation announced it has signed a supply and reseller agreement with Accelyon Limited ...
October 3, 2013 – Esteya, an electronic brachytherapy system, has received 510(k) clearance from the U.S. Food and Drug ...
October 2, 2013 — Elekta unveiled a state-of-the-art learning center at its North American headquarters, in conjunction ...
September 25, 2013 — Adding the chemotherapy drug cisplatin to a treatment plan of radiation therapy (RT) and high-dose ...
September 25, 2013 — iCAD Inc. has announced a strategic alliance with DermEbx to offer the Xoft Axxent Electronic ...
September 24, 2013 — Varian Medical Systems and Siemens Healthcare showcased a variety of solutions that bring together ...
September 24, 2013 — Nucletron, an Elekta company has launched Esteya, a new approach for treating patients with skin ...
Beatriz Amendola, M.D., FACR, FASTRO, radiation oncologist, medical director, Innovative Cancer Institute (ICI), decided ...
June 03, 2014 