May 24, 2022 — Activ Surgical, a digital surgery pioneer, today announced the successful completion of an Institutional ...
May 24, 2022 — Butterfly Network, Inc., a digital health company transforming care with handheld, whole-body ultrasound ...
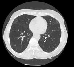
May 24, 2022 — A special type of MRI found lung abnormalities in patients who had previously had COVID-19, even those ...
AT A GLANCE Organization: Expert Radiology Management Services, LLC Specialty: Subspecialty teleradiology — neuro and ...
May 23, 2022 — AHRA, The Association for Medical Imaging Management, the professional organization representing all ...
May 23, 2022 — The clinical and imaging characteristics of COVID-19 breakthrough infections in fully vaccinated patients ...
May 23, 2022 — Xoran Technologies announced they have completed Phase 1 for their NHLBI grant for mobile lung CT. Just ...
Radiology departments have many different needs and face a wide variety of challenges that can impact their departments ...
May 20, 2022 — DrChrono Inc., an EverHealth solution and essential platform for modern medical practices, announced that ...
May 20, 2022 — US Radiology Specialists, Inc., one of the nation's premier physician-owned radiology companies ...
May 19, 2022 — According to ARRS’ American Journal of Roentgenology (AJR), axillary lymphadenopathy detected by breast ...
Despite decades of progress in breast imaging, one challenge continues to test even the most skilled radiologists ...
May 19, 2022 — Brainlab announced that clinicians at UZ Brussel are the first to treat patients with the company’s new ...
May 19 2022 — Recent disruptions in a pharmaceutical supply chain have impacted the global availability of GE Healthcare ...
May 19, 2022 — Robert L. Bard, M.D., an ITN editorial advisory board member, received one of the highest achievements of ...
Bayer Radiology’s Barbara Ruhland and Thom Kinst discuss how radiology departments can address the many different ...
May 18, 2022 —According to ARRS’ American Journal of Roentgenology (AJR), to ensure that patients with emergent or life ...
May 18, 2022 — Therapixel, a company leading the use of AI-based software for women’s health, announces it has released ...
May 18, 2022 — RaySearch announced that the treatment control system RayCommand is in clinical use at the innovative ...
Clinical scientists used machine learning (ML) models to explore de-identified electronic health record (EHR) data in ...
May 18 2022 — Older breast cancer survivors with cardiometabolic risk factors who restricted food intake to eight hours ...
May 17, 2022 — Proscia, a leader in digital and computational pathology solutions, has introduced an automated quality ...
May 17, 2022 — Radiation oncologists will meet with congressional leaders and staff today to ask for their support of ...
May 17, 2022 — Edgility, Inc. launched EdgeAi as healthcare's first operationally embedded AI with Explainability ...
May 24, 2022 