August 10, 2022 — Mount Sinai is leading a team of lung cancer researchers that has been awarded a three-year, $500,000 ...
August 10, 2022 — Mindray North America, a global leader and developer of healthcare technologies and solutions for ...
August 10, 2022 — The imaging community has lost a legend, recognized for having revolutionized the field of diagnostic ...
Radiology departments have many different needs and face a wide variety of challenges that can impact their departments ...
August 9, 2022 — The National Imaging Informatics Course-Radiology’s (NIIC-RAD) next term will resume online this fall ...
August 9, 2022 — Bot Image, an Omaha-based MRI medical device company has developed an AI-driven medical device CAD ...
August 8, 2022 — The U.S. Food and Drug Administration approved Enhertu (fam-trastuzumab-deruxtecan-nxki), an IV ...
Despite decades of progress in breast imaging, one challenge continues to test even the most skilled radiologists ...
August 8, 2022 — Representatives from the Diagnostics Working Group of the IASLC Early Detection and Screening Committee ...
August 8, 2022 — A clinical trial is only as powerful as its participants. For years, researchers have struggled to fill ...
August 5, 2022 — IBA (Ion Beam Applications S.A., EURONEXT), a world leader in particle accelerator technology, Fred ...
Bayer Radiology’s Barbara Ruhland and Thom Kinst discuss how radiology departments can address the many different ...
August 5, 2022 — The American College of Radiology (ACR) continues to lead a coalition of physician and non-physician ...
August 5, 2022 — GE Healthcare released its most advanced fixed X-ray system yet, the next-generation Definium 656 HD ...
August 4, 2022 — The Biden Administration, through the U.S. Department of Health and Human Services and the Centers for ...
eHealth Saskatchewan plays a vital role in providing IT services to patients, health care providers, and partners such ...
August 4, 2022 — Xoran Technologies announces that last month it received FDA 510(k) clearance for TRON — a truly mobile ...
August 3, 2022 — According to an open-access article in ARRS’ American Journal of Roentgenology (AJR), electronic health ...
August 3, 2022 — The Jack Martin Fund (JMF) has built on its partnership with the Mount Sinai Health System to provide ...
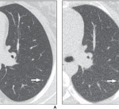
August 3, 2022 — Structural differences in lung airways between men and women may be the cause of differences in chronic ...
August 2, 2022 – A new update has been announced as the radiology world continues to address supply disruptions of ...
August 2, 2022 — Ochsner Health has announced that the recipient of the 37th Annual Alton Ochsner Award Relating Smoking ...
August 2, 2022 — The oncology information systems market is projected to be worth $2.59 Bn by 2022 and is expected to ...
August 2, 2022 — The American College of Radiology (ACR) Center for Research and Innovation (CRI) will serve as the ...
August 10, 2022 