September 20, 2022 — Scientists from The Tisch Cancer Institute have uncovered a mechanism by which certain breast ...
September 20, 2022 — UC San Diego Health is the first hospital system in San Diego to offer a new, highly targeted and ...
September 20, 2022 — Children and adolescents who have either recovered from COVID-19 or have long COVID show persistent ...
Radiology departments have many different needs and face a wide variety of challenges that can impact their departments ...
September 16, 2022 — According to ARRS’ American Journal of Roentgenology (AJR), the contrast-enhanced in-phase Dixon ...
September 16, 2022 — 20/20 Imaging, a division of Konica Minolta Healthcare Americas, Inc., announces the FDA clearance ...
September 16, 2022 — The Radiological Society of North America (RSNA) has announced Technical Exhibits highlights for ...
Despite decades of progress in breast imaging, one challenge continues to test even the most skilled radiologists ...
What follows is the second part of our coverage of the “Radiology: Artificial Intelligence Fireside Chat” conducted at ...
According to a new report, “Global Picture Archiving and Communication System (PACS) Market Report and Forecast 2022 ...
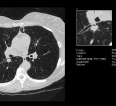
“Lung cancer is the deadliest cancer in men and in women, and it all boils down to how it is detected and when it is ...
Bayer Radiology’s Barbara Ruhland and Thom Kinst discuss how radiology departments can address the many different ...
September 15, 2022 — On behalf of the nation's radiation oncologists and the more than one million people with cancer ...
September 15, 2022 — University of Minnesota Twin Cities scientists and engineers have found a way to improve the ...
September 15, 2022 — The intestine is very susceptible and is affected by the harsh conditions caused by DNA-altering ...
eHealth Saskatchewan plays a vital role in providing IT services to patients, health care providers, and partners such ...
Magnetic resonance imaging (MRI) is used to assess, identify and track a variety of medical disorders. Radio waves, a ...
An estimated 24% of women in the United States will suffer from a pelvic floor disorder in her lifetime, with that ...
September 15, 2022 – Intelerad Medical Systems, a leading global provider of enterprise imaging solutions, announced its ...
Large-scale mergers and acquisitions are causing increased strain on IT teams responsible for consolidating and managing ...
September 14, 2022 — A revolutionary mobile imaging system that delivered the industry’s first collapsible column is ...
September 14, 2022 — An AI tool is highly effective at detecting pancreatic cancer on CT, according to a study published ...
September 14, 2022 — When double reading screening mammograms, radiographers (technologists) trained for the task ...
“Zero-COVID” policies have had a massive impact around the world. One consequence has been the recent global shortage in ...
September 20, 2022 