Be sure to check out the latest digital edition of Imaging Technology News (ITN), featuring the Mobile C-Arms comparison ...
July 13, 2023 — New computed tomography (CT) technology allows for a comprehensive, simultaneous evaluation of lung ...
July 13, 2023 — According to an accepted manuscript published in the American Journal of Roentgenology (AJR), a synoptic ...
Radiology departments have many different needs and face a wide variety of challenges that can impact their departments ...
July 13, 2023 — Konica Minolta Healthcare Americas, Inc., announced the introduction of PocketPro H2, a new wireless ...
I recently attended the 2023 AIMed Global Summit, which focused on artificial intelligence (AI) in healthcare, in San ...
There are many ways to serve to make a meaningful impact in the lives of others. This applies to my work in the ...
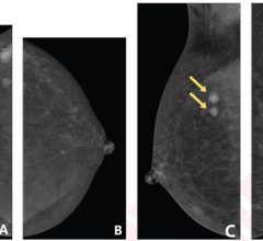
Despite decades of progress in breast imaging, one challenge continues to test even the most skilled radiologists ...
Healthcare is constantly evolving, finding new ways to innovate and advance digital tools and technology. With this ...
Whether it’s a hospital, stand-alone imaging center or outpatient care facility, it’s almost certain they’re feeling the ...
As the radiology community continues to learn and leverage the latest advancements in the use of artificial intelligence ...
Bayer Radiology’s Barbara Ruhland and Thom Kinst discuss how radiology departments can address the many different ...
July 12, 2023 — United Imaging, a global leader in manufacturing advanced medical imaging and radiotherapy equipment and ...
July 12, 2023 — Eyas Medical Imaging announced the first installation of the groundbreaking neonatal Magnetic Resonance ...
July 12, 2023 — Radformation, a leader in cancer care clinical and operational software solutions, announced that BVP ...
eHealth Saskatchewan plays a vital role in providing IT services to patients, health care providers, and partners such ...
The healthcare market is witnessing a dynamic shift in how and where patients want to receive care, with the flexibility ...
The 2023 AIMed Global Summit focused on artificial intelligence (AI) in healthcare, and offered valuable insights into ...
During the AIMed 2023 Summit, a panel of experts shared their personal perspective on what’s happening in artificial ...
They say good things come in small packages. That’s clearly the case at Massac Memorial Hospital, an award-winning ...
The Association for Medical Imaging Management’s (AHRA) 2023 Annual Meeting and Exposition wraps up tomorrow, July 12 ...
July 11, 2023 — Ratio Therapeutics Inc. (Ratio), a pharmaceutical company that employs a suite of innovative ...
July 11, 2023 — According to an accepted manuscript published in the American Journal of Roentgenology (AJR), patients ...
July 11, 2023 — Konica Minolta Healthcare Americas, Inc., announced significant expansion of X-Ray systems with Dynamic ...
July 14, 2023 