Here is a look at the most-read content during the month of September on itnonline.com: 1. PET Radiotracer Market ...
October 5, 2023 — A new study, led by radiation oncology physicists at Miami Cancer Institute, part of Baptist Health ...
October 5, 2023 — Blue Earth Diagnostics, a Bracco company and recognized leader in the development and ...
Radiology departments have many different needs and face a wide variety of challenges that can impact their departments ...
October 5, 2023 — Researchers from Memorial Sloan Kettering Cancer Center (MSK) were recognized for their achievements ...
October 4, 2023 — Butterfly Network, Inc. a digital health company transforming care through the power of portable ...
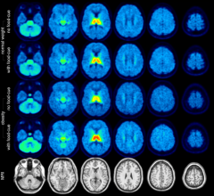
October 4, 2023 — A new artificial intelligence (AI) model combines imaging information with clinical patient data to ...
Despite decades of progress in breast imaging, one challenge continues to test even the most skilled radiologists ...
October 4, 2023 — An AI chest X-ray foundation model for disease detection demonstrated racial and sex-related bias ...
October 4, 2023 — RaySearch Laboratories AB has announced its expanded collaboration with P-Cure, aiming at enhancing ...
October 3, 2023 — Mevion Medical Systems, the leading global provider of compact proton therapy solutions, and RaySearch ...
Bayer Radiology’s Barbara Ruhland and Thom Kinst discuss how radiology departments can address the many different ...
October 3, 2023 — The University of Texas MD Anderson Cancer Center’s Research Highlights showcases the latest ...
October 3, 2023 — Medical device company GT Medical Technologies, Inc. announced interim findings of a multi ...
October 3, 2023 — Using previously taken diagnostic computed tomography (CT) scans in place of CT simulation scans to ...
eHealth Saskatchewan plays a vital role in providing IT services to patients, health care providers, and partners such ...
October 2, 2023 — Digital radiography company Swissray has announced a strategic partnership with Koning Corporation ...
October 2, 2023 — A novel liquid biopsy test may help determine which patients with non-small cell lung cancer that has ...
October 2, 2023 — A type of head and neck cancer predominantly diagnosed in people who reside in low- and middle-income ...
October 2, 2023 — Two liquid biopsy tests that look for the presence of human papillomavirus (HPV) in the blood ...
October 1, 2023 — The presence of a clinical navigator to act as a liaison between people with prostate cancer and the ...
September 29, 2023 — Hologic, Inc., a global leader in women’s health, announced a series of activities promoting the ...
September 29, 2023 — Fuse Oncology (Fuse) a trailblazing leader in radiation oncology software solutions, unveils their ...
September 29, 2023 — Qure.ai, a leading global innovator in radiology AI solutions, has announced FDA clearance for ...
October 06, 2023 