Erlanger Health Systems in Chattanooga, Tenn., purchased a CyberKnife Robotic Radiosurgery System in December 2010 to develop a stereotactic body radiation therapy (SBRT) program in its Radiation Oncology Department. The CyberKnife System included the Lung Optimization Treatment (LOT) function, which provides fiducial-free SBRT of early-stage lung cancer patients. 


Cardio-oncology is an emerging field that combines the expertise of both cardiology and oncology to assess and treat cancer patients for the second leading cause of death among cancer survivors — cardiovascular disease brought on by their treatments. Specific types of chemotherapy and chest directed radiation therapy are known to cause cardiac dysfunction, mainly due to cardiotoxicity — the symptoms of which may not present until months or even years after cancer treatment.


Melinda Taschetta-Millane, Editorial Director

Submitted by mtaschetta-millane on Wed, 09/07/2016 - 13:38

The recent 2016 annual meeting of the Society for Imaging Informatics in Medicine (SIIM) in Portland, Ore., featured many key topics pertinent to this industry’s future growth. While there, I had the opportunity to discuss several of these issues with top industry leaders. 

The American Society for Radiation Oncology (ASTRO) announced the press program for its 58th Annual Meeting, Sept. 25-28 in Boston. The program includes multiple reports from phase III clinical trials, researchers from leading institutions in the United States and abroad, and examinations of a range of cancer types and patient populations. Researchers will share their findings in a series of briefings held on-site at the Boston Convention & Exhibition Center and webcast to registered press.

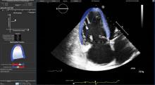
September 7, 2016 — Toshiba America Medical Systems Inc. announced that its Aplio 500 Platinum ultrasound system will be used during a live case following the International Contrast Ultrasound Society (ICUS) Bubbles Conference, Sept. 8-9 in Chicago. The demonstration is meant to show the benefits of the recent U.S.

September 7, 2016 — Blue Earth Diagnostics announced that the first post-U.S. Food and Drug Administration (FDA) approval, commercial administrations of AxuminTM (fluciclovine F 18) injection occurred recently at Northside Hospital of Atlanta.

Athletes warm up before a workout or game. But how might intellectuals get ready? There may be a way. And it may involve smartphones.


In an analysis that included more than 1.4 million births, exposure to magnetic resonance imaging (MRI) during the first trimester of pregnancy compared with nonexposure was not associated with increased risk of harm to the fetus or in early childhood. 


Subscribe Now