January 29, 2018 — Lunit, an artificial intelligence (AI)-powered medical image analysis software company, offered the first live demonstration of Lunit Insight, its new advanced, cloud-based AI solution for real-time image analysis, at the 2017 Radiological Society of North America (RSNA) annual meeting, Nov. 26-Dec. 1 in Chicago.

January 29, 2018 — The American Society of Echocardiography (ASE) announced that ImageGuideEcho, a module under the ImageGuide Registry platform, is now open to enrollment for U.S.-based physicians. ImageGuideEcho is the first registry, according to ASE, exclusively devoted to measuring quality in cardiovascular ultrasound.


January 26, 2017 — There were three high-impact clinical trials presented at the 2017 Radiological Society of North America (RSNA) meeting that offered radiology practice-changing clinical research.

Shared Decision-making in DCIS



When considering potential topics for the 2017 Radiological Society of North America (RSNA)/American Association of Physicists in Medicine (AAPM) Symposium, there was no question that it should address the growing excitement and concern surrounding artificial intelligence (AI).



The U.S. Food and Drug Administration (FDA) published a new Insight Article detailing the oversight process for the inspectors of the Mammography Quality Standards Act (MQSA) program who assess mammography facilities. As outlined in the June 6, 2016 Insights article, Mammography Quality Standards Act (MQSA) Inspectors: What It Takes to Join this Dedicated Cadre, the agency noted candidates complete rigorous training in order to become MQSA-qualified inspectors. The expectations continue to be high even after the training courses have been completed, according to the FDA. Inspectors must complete a mentorship program, maintain continuing education and experience, and undergo annual real-time inspection audits by seasoned FDA inspectors.



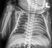
Most people have had an X-ray taken at some time during their lives — perhaps checking for a possible broken bone or during a visit to the dentist. X-ray exams provide important information to physicians about how to treat their patients. However, X-rays use ionizing radiation, and these imaging exams must be carefully and judiciously used on pediatric patients.


January 26, 2018 — Advaxis Inc. (NASDAQ:ADXS), a late-stage biotechnology immunotherapy company announced that data from the investigator-initiated study of the company’s proprietary Lm-based antigen delivery product, in combination with chemoradiation as a treatment for high-risk, locally advanced anal cancer were published in the International Journal of Radiation Oncology.

Multi-site enterprises face critical issues in managing their clinical images and data.

Subscribe Now