The U.S. Food and Drug Administration (FDA) has cleared GOKnee3D, a magnetic resonance imaging (MRI) application from Siemens Healthineers that significantly reduces the time required to perform comprehensive diagnostic exams of the knee.

The University of South Alabama Mitchell Cancer Institute (MCI) in Mobile, Ala., has selected RayStation as its treatment planning system for the TomoTherapy System. The center also treats patients using a CyberKnife System and will use RayStation for this in the future.

At the 2018 Healthcare and Information Management Systems Society annual meeting (HIMSS18), Agfa HealthCare will showcase its newest version of its Engage Suite for Integrated Care. New features for multi-disciplinary meetings, video conferencing, care plans and self-completion questionnaires are designed to enhance communication and collaboration, to support the move from volume- to value-based and person-centred care.


One of the biggest concerns in radiology in recent years is the safety of gadolinium-based contrast agents (GBCAs) used in magnetic resonance imaging (MRI).


Directors of radiography educational programs report the number of enrolled students increased slightly in 2017, while nuclear medicine technology and radiation therapy programs saw modest enrollment declines, according to a survey prepared by the American Society of Radiologic Technologists.

February 15, 2018 — Accuray Inc. recently announced that data from a study of 138 patients with trigeminal neuralgia (TN) showed stereotactic radiosurgery (SRS) delivered with the CyberKnife System resulted in rapid and long-lasting pain relief, with minimal side effects.

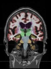
Arterys Inc. announced its fifth 510(k) clearance from the U.S. Food and Drug Administration (FDA) for the Arterys Oncology AI Suite, an artificial intelligence (AI)-based, cloud-based medical imaging software.

Arterys Oncology AI Suite

David Widmann, president and CEO of Konica Minolta, looks at what the future of healthcare can bring to its customers, focusing on the imaging space.

Recent Videos View all 676 items

Radiology Business | November 11, 2025

Radiology departments have many different needs and face a wide variety of challenges that can impact their departments, staff and patients.

Bayer Radiology’s Customer Engagement Team works with its customers to find the right solutions to meet their specific needs. The Team is made up of engineering, manufacturing and clinical experts who can provide creative solutions to the most complex challenges.

In this video, Thom Kinst and Barbara Ruhland discuss how Bayer Radiology’s Customer Engagement Team is dedicated to helping customers be successful today and also be prepared for the next frontier of challenges in radiology.

Radiology Business | October 09, 2025

Bayer Radiology’s Barbara Ruhland and Thom Kinst discuss how radiology departments can address the many different challenges and market disruptions they are currently facing and some of the innovative solutions that Bayer can offer them to meet these challenges — including the Medrad Centargo CT Injection System, a multi-patient injector that drives workflow efficiency as well as new products that are in the pipeline.

 

Coronavirus (COVID-19) | January 29, 2025

Postpandemic staffing shortages and increased volumes require radiologists to do more with less, exacerbating burnout. Join Kyle Henson, senior director of imaging at Solis Mammography, for a discussion about the most impactful, practical, cost-effective ways technology can be used to minimize downtimes, help radiologists work more efficiently, and create a dynamic infrastructure to enable organizations to pivot quickly during uncertain times. This webinar discusses how radiologists can save time and minimize downtime.

Learning Objectives:

  • Strategies to minimize downtime and optimize reading time.
  • The promise and reality of artificial intelligence and where to deploy it for the most significant impact.
  • Critical imaging-platform improvements for better performance, flexibility, and overall savings.

Speaker Profile:

Kyle Henson

Kyle Henson — Senior Director of Imaging, Solis Mammography

Kyle Henson is the senior director of imaging at Solis Mammography. After serving our country as an officer in the U.S. Army, Henson entered into healthcare IT. His 20-year career has included everything from the payer space to PACS vendor, imaging consultant, international speaker, hospitals, and diagnostic imaging centers. He has delivered cloud imaging solutions to all facilities in a 85+ hospital system.

Company Profile:

Change Healthcare is a leading healthcare technology company, focused on insights, innovation, and accelerating the transformation of the U.S. healthcare system through the power of the Change Healthcare platform. We provide data and analytics-driven solutions to improve clinical, financial, administrative, and patient engagement outcomes in the U.S. healthcare system.

Radiology Business | July 30, 2024

Find actionable insights to achieve sustainability and savings in radiology in this newest of ITN’s “One on One” video series with Reed A. Omary, MD, MS, Vanderbilt University Medical Center (Nashville, TN). Tune in to "Promoting the Planet's Health: Sustainability in Radiology," to hear from a recognized leader about impactful, cost-saving initiatives radiologists, associations, healthcare systems and vendors can take, and why action is imperative.

Omary, the Carol D. and Henry P. Pendergrass Professor in the VUMC Department of Radiology, is a distinguished radiologist whose commitment to driving healthcare sustainability initiatives has gained both attention and momentum. After serving as Chair of the Department of Radiology and Radiology Sciences from 2012-2023, in June, 2023, Omary stepped away from his role as Chair to pursue a sabbatical focused on climate change and sustainable healthcare. He is author of The Green Leap, a blog about making healthcare sustainable, and founder of the Greenwell Project, a sustainable healthcare non-profit. He has presented a Plenary Lecture at the Radiological Society of North America (RSNA) Annual Scientific Sessions and American College of Radiology (ACR) meetings on the topic, and continues to connect with healthcare systems, vendors and colleagues to advance the issue.

Related content:

PHILIPS MARKS MILESTONE DURING HELIUM-FREE MRI INSTALLATION IN PUERTO RICO

RSNA 2022 PLENARY SPEAKER OMARY URGES RADIOLOGISTS TO SUPPORT PATIENTS, COMMUNITIES AND THE PLANET

RSNA 2022 PANEL DISCUSSIONS FORECAST RADIOLOGY IN 2027, AND HIGHLIGHT WHY MENTORS MATTER

Sponsored Videos View all 184 items

Radiology Business | November 11, 2025

Radiology departments have many different needs and face a wide variety of challenges that can impact their departments, staff and patients.

Bayer Radiology’s Customer Engagement Team works with its customers to find the right solutions to meet their specific needs. The Team is made up of engineering, manufacturing and clinical experts who can provide creative solutions to the most complex challenges.

In this video, Thom Kinst and Barbara Ruhland discuss how Bayer Radiology’s Customer Engagement Team is dedicated to helping customers be successful today and also be prepared for the next frontier of challenges in radiology.

Radiology Business | October 09, 2025

Bayer Radiology’s Barbara Ruhland and Thom Kinst discuss how radiology departments can address the many different challenges and market disruptions they are currently facing and some of the innovative solutions that Bayer can offer them to meet these challenges — including the Medrad Centargo CT Injection System, a multi-patient injector that drives workflow efficiency as well as new products that are in the pipeline.

 

Enterprise Imaging | February 15, 2024

Clinicians and referring physicians need fast, secure access to both patient data and their diagnostic or viewing tool set. But the cost barriers and the complexity of owning and maintaining healthcare information systems can compromise the quality of care.

To address this, Philips has partnered with AWS to develop Philips HealthSuite Imaging — a new radiology cloud service that provides on-demand access to advanced medical imaging software.

ITN recently visited with Madhuri Sebastian and Matthieu Ferrant to learn more about this service.

Find more RSNA23 conference coverage here

Digital Radiography (DR) | February 12, 2024

Agfa Radiology Solutions is committed to enhancing clinical outcomes and operational efficiency, underscoring its innovative edge in the dynamically evolving healthcare landscape. 

AT RSNA23, ITN met with Karol Wesolowski, Global Commercial Excellence Leader, Agfa Radiology Solutions, and Jeroen Spruyt, Head of BU DR, VP Product Supply and Operations, Agfa Radiology Solutions, to learn more about how the company is transforming radiology practices.

Find more RSNA23 conference coverage here

Related content:

VIDEO: Talking Trends with Agfa — What’s On Tap for RSNA 2023

Technology Reports View all 12 items

Artificial Intelligence | July 22, 2021

This is an overview of trends and technologies in radiology artificial intelligence (AI) applications in 2021. Views were shared by 11 radiologists using AI and industry leaders, which include:

Randy Hicks, M.D., MBA, radiologist and CEO of Reginal Medical Imaging (RMI), and an iCAD Profound AI user.

• Prof. Dr. Thomas Frauenfelder, University of Zurich, Institute for Diagnostic and Interventional Radiology, and Riverain AI user. 

• Amy Patel, M.D., medical director of Liberty Hospital Women’s Imaging, assistant professor of radiology at UMKC, and user of Kios AI for breast ultrasound. 

Sham Sokka, Ph.D., vice president and head of innovation, precision diagnosis, Philips Healthcare.

Ivo Dreisser, Siemens Healthineers, global marketing manager for the AI Rad Companion.

Bill Lacey, vice president of medical informatics, Fujifilm Medical Systems USA.

• Karley Yoder, vice president and general manager, artificial intelligence, GE Healthcare.

Georges Espada, head of Agfa Healthcare digital and computed radiography business unit.

Pooja Rao, head of research and development and co-founder of Qure.ai.

Jill Hamman, world-wide marketing manager at Carestream Health.

Sebastian Nickel, Siemens Healthineers, global product manager for the AI Pathway Companion. 

There has been a change in attitudes about AI on the expo floor at the Radiological Society of North America (RSNA) over the last two years. AI conversations were originally 101 level and discussed how AI technology could be trained to sort photos of dogs and cats. However, in 2020, with numerous FDA approvals for various AI applications, the conversations at RSNA, and industry wide, have shifted to that of accepting the validity of AI. Radiologists now want to discuss how a specific AI algorithm is going to help them save time, make more accurate diagnoses and make them more efficient.

With a higher level of maturity in AI and the technology seeing wider adoption, radiologists using it say AI gives them additional confidence in their diagnoses, and can even help readers who may not be deep experts in the exam type they are being asked to read. 

With a myriad of new AI apps gaining regulatory approval from scores of imaging vendors, the biggest challenge for getting this technology into hospitals is an easy to integrate format. This has led to several vendors creating AI app stores. These allow AI apps to integrate easily into radiology workflows because the apps are already integrated as third-party software into a larger radiology vendors' IT platform.  

There are now hundreds of AI applications that do a wide variety of analysis, from data analytics, image reconstruction, disease and anatomy identification, automating measurements and advanced visualization. The AI applications can be divided into 2 basic types — AI to improve workflow, and AI for clinical decision support, such as diagnostic aids.

On the workflow side, several vendors are leveraging AI to pull together all of a patients' information, prior exams and reports in one location and to digest the information so it is easier for the radiologist to consume. Often the AI pulls only data and priors that relate to a specific question being asked, based on the imaging protocol used for the exam. One example of this is the Siemens Healthineers AI Clinical Pathway and Siemens AI integrations with PACS to automate measurements and advanced visualization.

AI is also helping simplify complex tasks and help reduce the reading time on involved exams. One example of this is in 3-D breast tomosythesis with hundreds of images, which is rapidly replacing 2-D mammography, which only produces 4 images. Another example is automated image reconstruction algorithms to significantly reduce manual work. AI also is now being integrated directly into several vendors' imaging systems to speed workflow and improve image quality.

Vendors say AI is here to stay. They explain the future of AI will be automation to help improve image quality, simplify manual processes, improved diagnostic quality, new ways to analyze data, and workflow aids that operate in the background as part of a growing number of software solutions. 

Several vendors at RSNA 2020 noted that AI's biggest impact in the coming years will be its ability to augment and speed the workflow for the small number of radiologists compared to the quickly growing elder patient populations worldwide. There also are applications in rural and developing countries were there are very low numbers of physicians or specialists.

 

Related AI in Medical Imaging Content:

AI Outperforms Humans in Creating Cancer Treatments, But Do Doctors Trust It?

VIDEO: Artificial Intelligence For MRI Helps Overcome Backlog of Exams Due to COVID

How AI is Helping the Fight Against Breast Cancer

VIDEO: Use of Artificial Intelligence in Nuclear Imaging

3 High-impact AI Market Trends in Radiology at RSNA 2019

 

Photo Gallery of New Imaging Technologies at RSNA 2019

VIDEO: Editors Choice of the Most Innovative New Radiology Technology at RSNA 2019

Study Reveals New Comprehensive AI Chest X-ray Solution Improves Radiologist Accuracy

VIDEO: Real-world Use of AI to Detect Hemorrhagic Stroke

The Radiology AI Evolution at RSNA 2019

 

Eliminating Bias from Healthcare AI Critical to Improve Health Equity

VIDEO: FDA Cleared Artificial Intelligence for Immediate Results of Head CT Scans

Building the Future of AI Through Data

WEBINAR: Do More, Perform Better: Delivering Clinical Quality through Advanced Radiology and Artificial Intelligence

Integrating Artificial Intelligence in Treatment Planning

 

Selecting an AI Marketplace for Radiology: Key Considerations for Healthcare Providers

Artificial Intelligence Improves Accuracy of Breast Ultrasound Diagnoses

Artificial Intelligence Greatly Speeds Radiation Therapy Treatment Planning

WEBINAR: Building the Bridge - How Imaging AI is Delivering Clinical Value Across the Care Continuum

AI in Medical Imaging Market to Reach $1.5B by 2024

 

VIDEO: AI-Assisted Automatic Ejection Fraction for Point-of-Care Ultrasound

5 Trends in Enterprise Imaging and PACS Systems

VIDEO: Artificial Intelligence to Automate CT Calcium Scoring and Radiomics

Scale AI in Imaging Now for the Post-COVID Era

VIDEO: Integrating Artificial Intelligence Into Radiologists Workflow

 

Northwestern Medicine Introduces Artificial Intelligence to Improve Ultrasound Imaging

Find more artificial intelligence news and video

 

 

 

Artificial Intelligence | February 21, 2020

In Artificial Intelligence at RSNA 2019, ITN Contributing Editor Greg Freiherr offers an overview of artificial intelligence (AI) advances at the Radiological Society of North America (RSNA) 2019 annual meeting.

Enterprise Imaging | February 21, 2020

In Enterprise Imaging at RSNA 2019, ITN Contributing Editor Greg Freiherr offers an overview of enterprise imaging advances at the Radiological Society of North America (RSNA) 2019 annual meeting.

Radiation Oncology View all 142 items

Radiation Oncology | March 19, 2024

In the conclusion of this 3-part video series on recent advancements in diagnostic radiology, current editorial advisory board member Robert L. Bard, MD, PC, DABR, FASLMS, discusses other advancements in diagnostic radiology and what new technologies are in development that could help in the fight against cancer.

Watch VIDEO PART I: Using 3-D Doppler Imaging and Other Advancements in Diagnostic Radiology

Dr. Bard is internationally known and recognized as a leader in his field. He specializes in advanced 3-D Doppler imaging to detect cancers in numerous organs, including the breast, prostate, and other areas. His images are used to accurately guide biopsies, target therapy and provide focused follow-up after treatment. He is committed to improving non-invasive cancer testing and developing minimally invasive image guided technologies to prevent cancer spread.

Watch VIDEO PART 2: VIDEO: The Advantages of Using Power Doppler Sonography on the Prostate to Screen for Tumors

In the spring of 2020, the Ellis Island Honor Society officially recognized Dr. Bard for his life’s work in clinical and research contributions in diagnostic imaging detection of cancers, which he received in person during a May 2022 ceremony, the prestigious 35th Annual Ellis Island Medal of Honor. Dr. Bard is also an Editorial Advisory Board Member for Imaging Technology News.

Related content:

VIDEO: Using 3-D Doppler Imaging and Other Advancements in Diagnostic Radiology

VIDEO: The Advantages of Using Power Doppler Sonography on the Prostate to Screen for Tumors

One on One ... with Robert L. Bard, MD, PC, DABR, FASLMS

The Full Body Imaging Movement: A Strategic Upgrade of the MRI

Microcirculation and Electromagnetic Response to Inflammation

Digital Imaging for Pelvic Floor Disorders

RSNA | February 07, 2024

At RSNA23, Imaging Technology News (ITN) spoke with Bhvita Jani, principal analyst at Signify Research, about advancements and trends in medical imaging, including the development of coronary CTA, use of molecular imaging in theranostic applications, and remote acquisition support, as well as future outlooks and the evolution of medical imaging.

Related content:

VIDEO: Data Workflow and Orchestration in Medical Imaging

VIDEO: One on One with Curtis P. Langlotz, MD, PhD, RSNA President

Find more RSNA23 conference coverage here

View the RSNA23 Photo Gallery here

One on One ... with Curtis P. Langlotz, MD, PhD

Radiation Oncology | January 09, 2024

In Part 2 of this 3-part video series on recent advancements in diagnostic radiology, current editorial advisory board member Robert L. Bard, MD, PC, DABR, FASLMS, talks with ITN on the advantages of using power Doppler Sonography as a non-invasive way to screen for prostate tumors with abnormal blood vessels.

Dr. Bard is internationally known and recognized as a leader in his field. He specializes in advanced 3-D Doppler imaging to detect cancers in numerous organs, including the breast, prostate, and other areas. His images are used to accurately guide biopsies, target therapy and provide focused follow-up after treatment. He is committed to improving non-invasive cancer testing and developing minimally invasive image guided technologies to prevent cancer spread.

In the spring of 2020, the Ellis Island Honor Society officially recognized Dr. Bard for his life’s work in clinical and research contributions in diagnostic imaging detection of cancers, which he received in person during a May 2022 ceremony, the prestigious 35th Annual Ellis Island Medal of Honor. Dr. Bard is also an Editorial Advisory Board Member for Imaging Technology News.

Related content:

VIDEO: Using 3-D Doppler Imaging and Other Advancements in Diagnostic Radiology

One on One ... with Robert L. Bard, MD, PC, DABR, FASLMS

The Full Body Imaging Movement: A Strategic Upgrade of the MRI

Microcirculation and Electromagnetic Response to Inflammation

Digital Imaging for Pelvic Floor Disorders

Radiation Oncology | December 12, 2023

Imaging advancements, including 3D Doppler imaging to detect cancers in numerous organs, are used to accurately guide biopsies, target therapy and provide focused follow-up after treatment. ITN spoke with current editorial advisory board member Robert L. Bard, MD, PC, DABR, FASLMS, to find out more about recent advancements in diagnostic radiology. This video is Part 1 of a 3-part video series.

Dr. Bard is internationally known and recognized as a leader in his field. He specializes in advanced 3-D Doppler imaging to detect cancers in numerous organs, including the breast, prostate, and other areas. His images are used to accurately guide biopsies, target therapy and provide focused follow-up after treatment. He is committed to improving non-invasive cancer testing and developing minimally invasive image guided technologies to prevent cancer spread.

In the spring of 2020, the Ellis Island Honor Society officially recognized Dr. Bard for his life’s work in clinical and research contributions in diagnostic imaging detection of cancers, which he received in person during a May 2022 ceremony, the prestigious 35th Annual Ellis Island Medal of Honor. Dr. Bard is also an Editorial Advisory Board Member for Imaging Technology News.

 

Related content:

One on One ... with Robert L. Bard, MD, PC, DABR, FASLMS

The Full Body Imaging Movement: A Strategic Upgrade of the MRI

Microcirculation and Electromagnetic Response to Inflammation

Digital Imaging for Pelvic Floor Disorders

Radiology Imaging View all 404 items

Radiology Business | October 09, 2025

Bayer Radiology’s Barbara Ruhland and Thom Kinst discuss how radiology departments can address the many different challenges and market disruptions they are currently facing and some of the innovative solutions that Bayer can offer them to meet these challenges — including the Medrad Centargo CT Injection System, a multi-patient injector that drives workflow efficiency as well as new products that are in the pipeline.

 

Radiology Business | July 30, 2024

Find actionable insights to achieve sustainability and savings in radiology in this newest of ITN’s “One on One” video series with Reed A. Omary, MD, MS, Vanderbilt University Medical Center (Nashville, TN). Tune in to "Promoting the Planet's Health: Sustainability in Radiology," to hear from a recognized leader about impactful, cost-saving initiatives radiologists, associations, healthcare systems and vendors can take, and why action is imperative.

Omary, the Carol D. and Henry P. Pendergrass Professor in the VUMC Department of Radiology, is a distinguished radiologist whose commitment to driving healthcare sustainability initiatives has gained both attention and momentum. After serving as Chair of the Department of Radiology and Radiology Sciences from 2012-2023, in June, 2023, Omary stepped away from his role as Chair to pursue a sabbatical focused on climate change and sustainable healthcare. He is author of The Green Leap, a blog about making healthcare sustainable, and founder of the Greenwell Project, a sustainable healthcare non-profit. He has presented a Plenary Lecture at the Radiological Society of North America (RSNA) Annual Scientific Sessions and American College of Radiology (ACR) meetings on the topic, and continues to connect with healthcare systems, vendors and colleagues to advance the issue.

Related content:

PHILIPS MARKS MILESTONE DURING HELIUM-FREE MRI INSTALLATION IN PUERTO RICO

RSNA 2022 PLENARY SPEAKER OMARY URGES RADIOLOGISTS TO SUPPORT PATIENTS, COMMUNITIES AND THE PLANET

RSNA 2022 PANEL DISCUSSIONS FORECAST RADIOLOGY IN 2027, AND HIGHLIGHT WHY MENTORS MATTER

Breast Imaging | July 24, 2024

Don't miss ITN's latest "One on One" video interview with AAWR Past President and American College of Radiology (ACR) RAN and RADPAC Chair, Amy K. Patel, MD, discussing advocacy initiatives and innovations in artificial intelligence (AI) for breast imaging

Dr. Patel is a breast imaging trailblazer and radiology advocacy leader. In this video,  learn how radiologists can support key initiatives, ways AI is improving patient care, and more.

Related content:

Leaders from RadEqual and the AAWR Sign MOU, Solidifying Commitment to Advance Opportunities in Radiology

Technology Report: Artificial Intelligence in Radiology 2021

VIDEO: Integrating Artificial Intelligence Into Radiologists Workflow

Digital Radiography (DR) | February 12, 2024

Agfa Radiology Solutions is committed to enhancing clinical outcomes and operational efficiency, underscoring its innovative edge in the dynamically evolving healthcare landscape. 

AT RSNA23, ITN met with Karol Wesolowski, Global Commercial Excellence Leader, Agfa Radiology Solutions, and Jeroen Spruyt, Head of BU DR, VP Product Supply and Operations, Agfa Radiology Solutions, to learn more about how the company is transforming radiology practices.

Find more RSNA23 conference coverage here

Related content:

VIDEO: Talking Trends with Agfa — What’s On Tap for RSNA 2023

Molecular Imaging View all 36 items

RSNA | February 07, 2024

At RSNA23, Imaging Technology News (ITN) spoke with Bhvita Jani, principal analyst at Signify Research, about advancements and trends in medical imaging, including the development of coronary CTA, use of molecular imaging in theranostic applications, and remote acquisition support, as well as future outlooks and the evolution of medical imaging.

Related content:

VIDEO: Data Workflow and Orchestration in Medical Imaging

VIDEO: One on One with Curtis P. Langlotz, MD, PhD, RSNA President

Find more RSNA23 conference coverage here

View the RSNA23 Photo Gallery here

One on One ... with Curtis P. Langlotz, MD, PhD

Proton Therapy | October 10, 2023

Tune in to ITN’s latest “One on One” video series with Michael Butkus, PhD, for insights into proton therapy advancements. Butkus is the co-medical director and head of proton physics at the Dwoskin Proton Center at the Sylvester Comprehensive Cancer Center, part of the University of Miami/UHealth Medical System. A board member of the National Association of Proton Therapy (NAPT), Butkus spoke with ITN’s managing editor to discuss how physicists, physicians and vendors are collaborating to expand availability of proton therapy and improve the health of patients being treated. 

Related proton therapy content:

Targeting Cancer, Tracking Collaboration: A Progress Report on Proton Therapy

ASTRO23 conference coverage

VIDEO: First FLASH Proton Therapy Trial Completed in Humans

 

Contrast Media | February 27, 2023

Bracco Diagnostics and Guerbet recently announced they had formed a strategic, global collaboration for the research, development, and manufacture of a new contrast agent.

Imaging Technology News talked to Jeff Fleming, president and CEO, at RSNA 2022 to learn more about this relationship and find out what Bracco is doing for the future of radiology.

For more information: www.vueway.com

Find more RSNA22 coverage here

Related content:

Bracco and Guerbet Partner to Expand Access to Novel Imaging Agent

First Nationwide Use of Bracco's VUEWAY (gadopiclenol) Solution for Injection for MRI

Guerbet Announces Commercial Launch and First Patient Dosing of Elucirem (Gadopiclenol) Injection

Computed Tomography (CT) | March 09, 2022

At RSNA 2021, Philips highlighted the launch of two new innovative CT systems – the multi-energy Spectral CT 7500 and the CT 5100 Incisive with embedded AI capabilities. ITN spoke with Wendy Winkle Lawless, CT Business Market Leader - North America, Philips, to learn more about these new systems.

Conference Coverage View all 505 items

Radiology Business | July 30, 2024

Find actionable insights to achieve sustainability and savings in radiology in this newest of ITN’s “One on One” video series with Reed A. Omary, MD, MS, Vanderbilt University Medical Center (Nashville, TN). Tune in to "Promoting the Planet's Health: Sustainability in Radiology," to hear from a recognized leader about impactful, cost-saving initiatives radiologists, associations, healthcare systems and vendors can take, and why action is imperative.

Omary, the Carol D. and Henry P. Pendergrass Professor in the VUMC Department of Radiology, is a distinguished radiologist whose commitment to driving healthcare sustainability initiatives has gained both attention and momentum. After serving as Chair of the Department of Radiology and Radiology Sciences from 2012-2023, in June, 2023, Omary stepped away from his role as Chair to pursue a sabbatical focused on climate change and sustainable healthcare. He is author of The Green Leap, a blog about making healthcare sustainable, and founder of the Greenwell Project, a sustainable healthcare non-profit. He has presented a Plenary Lecture at the Radiological Society of North America (RSNA) Annual Scientific Sessions and American College of Radiology (ACR) meetings on the topic, and continues to connect with healthcare systems, vendors and colleagues to advance the issue.

Related content:

PHILIPS MARKS MILESTONE DURING HELIUM-FREE MRI INSTALLATION IN PUERTO RICO

RSNA 2022 PLENARY SPEAKER OMARY URGES RADIOLOGISTS TO SUPPORT PATIENTS, COMMUNITIES AND THE PLANET

RSNA 2022 PANEL DISCUSSIONS FORECAST RADIOLOGY IN 2027, AND HIGHLIGHT WHY MENTORS MATTER

Information Technology | July 25, 2024

Industry trade shows and conferences seem to be making their comeback in 2024. And the Healthcare Information and Management Systems Society (HIMSS) Global Conference and Exhibition seems particularly poised to deliver the best of the best when it comes to digital transformation in both the delivery of healthcare, but also the delivery of a quality experience for those in this demanding, rapidly evolving industry. This month in our ongoing One on One series with industry leaders, we are talking with Hal Wolf, FHIMSS, president and CEO of HIMSS. He offered insights on the society’s new partnership with Informa Markets, key topics being covered at HIMSS24, AI’s impact on the industry, and his thoughts on healthcare sustainability.

Find more HIMSS24 conference coverage here

A New Partnership for Growth

Last August, Informa Markets and HIMSS announced a landmark partnership to propel the growth and evolution of the HIMSS Global Health Conference and Exhibition, recognized as the most influential healthcare technology event of the year, and in North America. It draws 40,000 health professionals, tech leaders, providers and governmental organizations from across the globe. Informa Markets, the world’s largest exhibition organizer, took on management of the HIMSS Exhibition, while HIMSS continues to oversee developing expert content and programming.

Exciting New Features at HIMSS24

At HIMSS2024, with this new collaboration comes new features, including:

Related content:

Find more HIMSS24 conference coverage here

HIMSS Launches Modernized Infrastructure Adoption Model to Support Global Digital Health Transformation

Top Public Policy Experts at HIMSS24 to Address Global AI Landscape and Digital Transformation in Healthcare

VIDEO: Using Maturity Models to Measure Digital Health

VIDEO: Moving Digital Transformation Forward in Healthcare

VIDEO: Key Components to Creating and Implementing AI and Digital Transformation Solutions

VIDEO: The Benefits and Pitfalls of Artificial Intelligence in Healthcare

VIDEO: A Look at Cybersecurity and How Healthcare is at Risk

Breast Imaging | July 24, 2024

Don't miss ITN's latest "One on One" video interview with AAWR Past President and American College of Radiology (ACR) RAN and RADPAC Chair, Amy K. Patel, MD, discussing advocacy initiatives and innovations in artificial intelligence (AI) for breast imaging

Dr. Patel is a breast imaging trailblazer and radiology advocacy leader. In this video,  learn how radiologists can support key initiatives, ways AI is improving patient care, and more.

Related content:

Leaders from RadEqual and the AAWR Sign MOU, Solidifying Commitment to Advance Opportunities in Radiology

Technology Report: Artificial Intelligence in Radiology 2021

VIDEO: Integrating Artificial Intelligence Into Radiologists Workflow

Enterprise Imaging | February 15, 2024

Clinicians and referring physicians need fast, secure access to both patient data and their diagnostic or viewing tool set. But the cost barriers and the complexity of owning and maintaining healthcare information systems can compromise the quality of care.

To address this, Philips has partnered with AWS to develop Philips HealthSuite Imaging — a new radiology cloud service that provides on-demand access to advanced medical imaging software.

ITN recently visited with Madhuri Sebastian and Matthieu Ferrant to learn more about this service.

Find more RSNA23 conference coverage here

Information Technology View all 301 items

Information Technology | July 25, 2024

Industry trade shows and conferences seem to be making their comeback in 2024. And the Healthcare Information and Management Systems Society (HIMSS) Global Conference and Exhibition seems particularly poised to deliver the best of the best when it comes to digital transformation in both the delivery of healthcare, but also the delivery of a quality experience for those in this demanding, rapidly evolving industry. This month in our ongoing One on One series with industry leaders, we are talking with Hal Wolf, FHIMSS, president and CEO of HIMSS. He offered insights on the society’s new partnership with Informa Markets, key topics being covered at HIMSS24, AI’s impact on the industry, and his thoughts on healthcare sustainability.

Find more HIMSS24 conference coverage here

A New Partnership for Growth

Last August, Informa Markets and HIMSS announced a landmark partnership to propel the growth and evolution of the HIMSS Global Health Conference and Exhibition, recognized as the most influential healthcare technology event of the year, and in North America. It draws 40,000 health professionals, tech leaders, providers and governmental organizations from across the globe. Informa Markets, the world’s largest exhibition organizer, took on management of the HIMSS Exhibition, while HIMSS continues to oversee developing expert content and programming.

Exciting New Features at HIMSS24

At HIMSS2024, with this new collaboration comes new features, including:

Related content:

Find more HIMSS24 conference coverage here

HIMSS Launches Modernized Infrastructure Adoption Model to Support Global Digital Health Transformation

Top Public Policy Experts at HIMSS24 to Address Global AI Landscape and Digital Transformation in Healthcare

VIDEO: Using Maturity Models to Measure Digital Health

VIDEO: Moving Digital Transformation Forward in Healthcare

VIDEO: Key Components to Creating and Implementing AI and Digital Transformation Solutions

VIDEO: The Benefits and Pitfalls of Artificial Intelligence in Healthcare

VIDEO: A Look at Cybersecurity and How Healthcare is at Risk

Breast Imaging | July 24, 2024

Don't miss ITN's latest "One on One" video interview with AAWR Past President and American College of Radiology (ACR) RAN and RADPAC Chair, Amy K. Patel, MD, discussing advocacy initiatives and innovations in artificial intelligence (AI) for breast imaging

Dr. Patel is a breast imaging trailblazer and radiology advocacy leader. In this video,  learn how radiologists can support key initiatives, ways AI is improving patient care, and more.

Related content:

Leaders from RadEqual and the AAWR Sign MOU, Solidifying Commitment to Advance Opportunities in Radiology

Technology Report: Artificial Intelligence in Radiology 2021

VIDEO: Integrating Artificial Intelligence Into Radiologists Workflow

Enterprise Imaging | February 15, 2024

Clinicians and referring physicians need fast, secure access to both patient data and their diagnostic or viewing tool set. But the cost barriers and the complexity of owning and maintaining healthcare information systems can compromise the quality of care.

To address this, Philips has partnered with AWS to develop Philips HealthSuite Imaging — a new radiology cloud service that provides on-demand access to advanced medical imaging software.

ITN recently visited with Madhuri Sebastian and Matthieu Ferrant to learn more about this service.

Find more RSNA23 conference coverage here

Digital Radiography (DR) | February 12, 2024

Agfa Radiology Solutions is committed to enhancing clinical outcomes and operational efficiency, underscoring its innovative edge in the dynamically evolving healthcare landscape. 

AT RSNA23, ITN met with Karol Wesolowski, Global Commercial Excellence Leader, Agfa Radiology Solutions, and Jeroen Spruyt, Head of BU DR, VP Product Supply and Operations, Agfa Radiology Solutions, to learn more about how the company is transforming radiology practices.

Find more RSNA23 conference coverage here

Related content:

VIDEO: Talking Trends with Agfa — What’s On Tap for RSNA 2023

Women's Health View all 82 items

Breast Imaging | July 24, 2024

Don't miss ITN's latest "One on One" video interview with AAWR Past President and American College of Radiology (ACR) RAN and RADPAC Chair, Amy K. Patel, MD, discussing advocacy initiatives and innovations in artificial intelligence (AI) for breast imaging

Dr. Patel is a breast imaging trailblazer and radiology advocacy leader. In this video,  learn how radiologists can support key initiatives, ways AI is improving patient care, and more.

Related content:

Leaders from RadEqual and the AAWR Sign MOU, Solidifying Commitment to Advance Opportunities in Radiology

Technology Report: Artificial Intelligence in Radiology 2021

VIDEO: Integrating Artificial Intelligence Into Radiologists Workflow

Breast Imaging | May 08, 2023

In addition to women with dense breasts, there are also other women for whom mammographic screening is not really enough, which is why research needs to continue in this field. Dr. Wendie Berg, a leading breast cancer specialist, talks with ITN about new research and advancements in breast imaging technology.

Dr. Berg, MD, PhD, FACR, FSBI, is Professor of Radiology at the University of Pittsburgh School of Medicine and Magee-Womens Hospital of UPMC, specializing in breast imaging. She is also the Chief Scientific Advisor to DenseBreast-info.org. A renowned expert, she writes and co-edits one of the leading textbooks on the topic, Diagnostic Imaging: Breast, currently in its third edition, and has co-authored over 120 peer-reviewed research publications.

Related Breast Density Content:

VIDEO: FDA Update on the US National Density Reporting Standard - A Discussion on the Final Rule

One on One … with Wendie Berg, MD, PhD, FACR, FSBI

Task Force Issues New Draft Recommendation Statement on Screening for Breast Cancer

Creating Patient Equity: A Breast Density Legislative Update

FDA Needs to Ensure that Information on Dense Breast Notifications are Clear and Understandable to all Members of the Public

AI Provides Accurate Breast Density Classification

VIDEO: The Impact of Breast Density Technology and Legislation

VIDEO: Personalized Breast Screening and Breast Density

VIDEO: Breast Cancer Awareness - Highlights of the NCoBC 2016 Conference

Fake News: Having Dense Breast Tissue is No Big Deal

The Manic World of Social Media and Breast Cancer: Gratitude and Grief

Related Breast Imaging Content:

Single vs. Multiple Architectural Distortion on Digital Breast Tomosynthesis

Today's Mammography Advancements 

Digital Breast Tomosynthesis Spot Compression Clarifies Ambiguous Findings 

AI DBT Impact on Mammography Post-breast Therapy 

ImageCare Centers Unveils PINK Better Mammo Service Featuring Profound AI 

Radiologist Fatigue, Experience Affect Breast Imaging Call Backs 

Fewer Breast Cancer Cases Between Screening Rounds with 3-D Mammography

Study Finds Racial Disparities in Access to New Mammography Technology

American College of Radiology (ACR) Launches Contrast-Enhanced Mammography Imaging Screening Trial (CMIST) in Collaboration With GE Healthcare and the Breast Cancer Research Foundation

Breast Density | April 14, 2023

It has long been said that a national reporting standard is needed in order to ensure all American women receive at least the same basic information regarding breast density, and a spotlight put on the importance of routine breast imaging. Dr. Wendie Berg, a leading breast cancer specialist, shares with ITN what is being done in the fight against breast cancer and the importance of this standardization in reporting for women.

Dr. Berg, MD, PhD, FACR, FSBI, is Professor of Radiology at the University of Pittsburgh School of Medicine and Magee-Womens Hospital of UPMC, specializing in breast imaging. She is also the Chief Scientific Advisor to DenseBreast-info.org. A renowned expert, she writes and co-edits one of the leading textbooks on the topic, Diagnostic Imaging: Breast, currently in its third edition, and has co-authored over 120 peer-reviewed research publications.

 

Related Breast Density Content:

VIDEO: Research and Advancements in Breast Imaging Technology

One on One … with Wendie Berg, MD, PhD, FACR, FSBI

Task Force Issues New Draft Recommendation Statement on Screening for Breast Cancer

Creating Patient Equity: A Breast Density Legislative Update

FDA Needs to Ensure that Information on Dense Breast Notifications are Clear and Understandable to all Members of the Public

AI Provides Accurate Breast Density Classification

VIDEO: The Impact of Breast Density Technology and Legislation

VIDEO: Personalized Breast Screening and Breast Density

VIDEO: Breast Cancer Awareness - Highlights of the NCoBC 2016 Conference

Fake News: Having Dense Breast Tissue is No Big Deal

The Manic World of Social Media and Breast Cancer: Gratitude and Grief

Related Breast Imaging Content:

Single vs. Multiple Architectural Distortion on Digital Breast Tomosynthesis

Today's Mammography Advancements 

Digital Breast Tomosynthesis Spot Compression Clarifies Ambiguous Findings 

AI DBT Impact on Mammography Post-breast Therapy 

ImageCare Centers Unveils PINK Better Mammo Service Featuring Profound AI 

Radiologist Fatigue, Experience Affect Breast Imaging Call Backs 

Fewer Breast Cancer Cases Between Screening Rounds with 3-D Mammography

Study Finds Racial Disparities in Access to New Mammography Technology

American College of Radiology (ACR) Launches Contrast-Enhanced Mammography Imaging Screening Trial (CMIST) in Collaboration With GE Healthcare and the Breast Cancer Research Foundation

Kiyotaka Fujii, global healthcare senior executive officer and president of Konica Minolta, discusses the company's medical strategy as it grows into precision medicine.

Recent Videos View all 676 items

Radiology Business | November 11, 2025

Radiology departments have many different needs and face a wide variety of challenges that can impact their departments, staff and patients.

Bayer Radiology’s Customer Engagement Team works with its customers to find the right solutions to meet their specific needs. The Team is made up of engineering, manufacturing and clinical experts who can provide creative solutions to the most complex challenges.

In this video, Thom Kinst and Barbara Ruhland discuss how Bayer Radiology’s Customer Engagement Team is dedicated to helping customers be successful today and also be prepared for the next frontier of challenges in radiology.

Radiology Business | October 09, 2025

Bayer Radiology’s Barbara Ruhland and Thom Kinst discuss how radiology departments can address the many different challenges and market disruptions they are currently facing and some of the innovative solutions that Bayer can offer them to meet these challenges — including the Medrad Centargo CT Injection System, a multi-patient injector that drives workflow efficiency as well as new products that are in the pipeline.

 

Coronavirus (COVID-19) | January 29, 2025

Postpandemic staffing shortages and increased volumes require radiologists to do more with less, exacerbating burnout. Join Kyle Henson, senior director of imaging at Solis Mammography, for a discussion about the most impactful, practical, cost-effective ways technology can be used to minimize downtimes, help radiologists work more efficiently, and create a dynamic infrastructure to enable organizations to pivot quickly during uncertain times. This webinar discusses how radiologists can save time and minimize downtime.

Learning Objectives:

  • Strategies to minimize downtime and optimize reading time.
  • The promise and reality of artificial intelligence and where to deploy it for the most significant impact.
  • Critical imaging-platform improvements for better performance, flexibility, and overall savings.

Speaker Profile:

Kyle Henson

Kyle Henson — Senior Director of Imaging, Solis Mammography

Kyle Henson is the senior director of imaging at Solis Mammography. After serving our country as an officer in the U.S. Army, Henson entered into healthcare IT. His 20-year career has included everything from the payer space to PACS vendor, imaging consultant, international speaker, hospitals, and diagnostic imaging centers. He has delivered cloud imaging solutions to all facilities in a 85+ hospital system.

Company Profile:

Change Healthcare is a leading healthcare technology company, focused on insights, innovation, and accelerating the transformation of the U.S. healthcare system through the power of the Change Healthcare platform. We provide data and analytics-driven solutions to improve clinical, financial, administrative, and patient engagement outcomes in the U.S. healthcare system.

Radiology Business | July 30, 2024

Find actionable insights to achieve sustainability and savings in radiology in this newest of ITN’s “One on One” video series with Reed A. Omary, MD, MS, Vanderbilt University Medical Center (Nashville, TN). Tune in to "Promoting the Planet's Health: Sustainability in Radiology," to hear from a recognized leader about impactful, cost-saving initiatives radiologists, associations, healthcare systems and vendors can take, and why action is imperative.

Omary, the Carol D. and Henry P. Pendergrass Professor in the VUMC Department of Radiology, is a distinguished radiologist whose commitment to driving healthcare sustainability initiatives has gained both attention and momentum. After serving as Chair of the Department of Radiology and Radiology Sciences from 2012-2023, in June, 2023, Omary stepped away from his role as Chair to pursue a sabbatical focused on climate change and sustainable healthcare. He is author of The Green Leap, a blog about making healthcare sustainable, and founder of the Greenwell Project, a sustainable healthcare non-profit. He has presented a Plenary Lecture at the Radiological Society of North America (RSNA) Annual Scientific Sessions and American College of Radiology (ACR) meetings on the topic, and continues to connect with healthcare systems, vendors and colleagues to advance the issue.

Related content:

PHILIPS MARKS MILESTONE DURING HELIUM-FREE MRI INSTALLATION IN PUERTO RICO

RSNA 2022 PLENARY SPEAKER OMARY URGES RADIOLOGISTS TO SUPPORT PATIENTS, COMMUNITIES AND THE PLANET

RSNA 2022 PANEL DISCUSSIONS FORECAST RADIOLOGY IN 2027, AND HIGHLIGHT WHY MENTORS MATTER

Sponsored Videos View all 184 items

Radiology Business | November 11, 2025

Radiology departments have many different needs and face a wide variety of challenges that can impact their departments, staff and patients.

Bayer Radiology’s Customer Engagement Team works with its customers to find the right solutions to meet their specific needs. The Team is made up of engineering, manufacturing and clinical experts who can provide creative solutions to the most complex challenges.

In this video, Thom Kinst and Barbara Ruhland discuss how Bayer Radiology’s Customer Engagement Team is dedicated to helping customers be successful today and also be prepared for the next frontier of challenges in radiology.

Radiology Business | October 09, 2025

Bayer Radiology’s Barbara Ruhland and Thom Kinst discuss how radiology departments can address the many different challenges and market disruptions they are currently facing and some of the innovative solutions that Bayer can offer them to meet these challenges — including the Medrad Centargo CT Injection System, a multi-patient injector that drives workflow efficiency as well as new products that are in the pipeline.

 

Enterprise Imaging | February 15, 2024

Clinicians and referring physicians need fast, secure access to both patient data and their diagnostic or viewing tool set. But the cost barriers and the complexity of owning and maintaining healthcare information systems can compromise the quality of care.

To address this, Philips has partnered with AWS to develop Philips HealthSuite Imaging — a new radiology cloud service that provides on-demand access to advanced medical imaging software.

ITN recently visited with Madhuri Sebastian and Matthieu Ferrant to learn more about this service.

Find more RSNA23 conference coverage here

Digital Radiography (DR) | February 12, 2024

Agfa Radiology Solutions is committed to enhancing clinical outcomes and operational efficiency, underscoring its innovative edge in the dynamically evolving healthcare landscape. 

AT RSNA23, ITN met with Karol Wesolowski, Global Commercial Excellence Leader, Agfa Radiology Solutions, and Jeroen Spruyt, Head of BU DR, VP Product Supply and Operations, Agfa Radiology Solutions, to learn more about how the company is transforming radiology practices.

Find more RSNA23 conference coverage here

Related content:

VIDEO: Talking Trends with Agfa — What’s On Tap for RSNA 2023

Technology Reports View all 12 items

Artificial Intelligence | July 22, 2021

This is an overview of trends and technologies in radiology artificial intelligence (AI) applications in 2021. Views were shared by 11 radiologists using AI and industry leaders, which include:

Randy Hicks, M.D., MBA, radiologist and CEO of Reginal Medical Imaging (RMI), and an iCAD Profound AI user.

• Prof. Dr. Thomas Frauenfelder, University of Zurich, Institute for Diagnostic and Interventional Radiology, and Riverain AI user. 

• Amy Patel, M.D., medical director of Liberty Hospital Women’s Imaging, assistant professor of radiology at UMKC, and user of Kios AI for breast ultrasound. 

Sham Sokka, Ph.D., vice president and head of innovation, precision diagnosis, Philips Healthcare.

Ivo Dreisser, Siemens Healthineers, global marketing manager for the AI Rad Companion.

Bill Lacey, vice president of medical informatics, Fujifilm Medical Systems USA.

• Karley Yoder, vice president and general manager, artificial intelligence, GE Healthcare.

Georges Espada, head of Agfa Healthcare digital and computed radiography business unit.

Pooja Rao, head of research and development and co-founder of Qure.ai.

Jill Hamman, world-wide marketing manager at Carestream Health.

Sebastian Nickel, Siemens Healthineers, global product manager for the AI Pathway Companion. 

There has been a change in attitudes about AI on the expo floor at the Radiological Society of North America (RSNA) over the last two years. AI conversations were originally 101 level and discussed how AI technology could be trained to sort photos of dogs and cats. However, in 2020, with numerous FDA approvals for various AI applications, the conversations at RSNA, and industry wide, have shifted to that of accepting the validity of AI. Radiologists now want to discuss how a specific AI algorithm is going to help them save time, make more accurate diagnoses and make them more efficient.

With a higher level of maturity in AI and the technology seeing wider adoption, radiologists using it say AI gives them additional confidence in their diagnoses, and can even help readers who may not be deep experts in the exam type they are being asked to read. 

With a myriad of new AI apps gaining regulatory approval from scores of imaging vendors, the biggest challenge for getting this technology into hospitals is an easy to integrate format. This has led to several vendors creating AI app stores. These allow AI apps to integrate easily into radiology workflows because the apps are already integrated as third-party software into a larger radiology vendors' IT platform.  

There are now hundreds of AI applications that do a wide variety of analysis, from data analytics, image reconstruction, disease and anatomy identification, automating measurements and advanced visualization. The AI applications can be divided into 2 basic types — AI to improve workflow, and AI for clinical decision support, such as diagnostic aids.

On the workflow side, several vendors are leveraging AI to pull together all of a patients' information, prior exams and reports in one location and to digest the information so it is easier for the radiologist to consume. Often the AI pulls only data and priors that relate to a specific question being asked, based on the imaging protocol used for the exam. One example of this is the Siemens Healthineers AI Clinical Pathway and Siemens AI integrations with PACS to automate measurements and advanced visualization.

AI is also helping simplify complex tasks and help reduce the reading time on involved exams. One example of this is in 3-D breast tomosythesis with hundreds of images, which is rapidly replacing 2-D mammography, which only produces 4 images. Another example is automated image reconstruction algorithms to significantly reduce manual work. AI also is now being integrated directly into several vendors' imaging systems to speed workflow and improve image quality.

Vendors say AI is here to stay. They explain the future of AI will be automation to help improve image quality, simplify manual processes, improved diagnostic quality, new ways to analyze data, and workflow aids that operate in the background as part of a growing number of software solutions. 

Several vendors at RSNA 2020 noted that AI's biggest impact in the coming years will be its ability to augment and speed the workflow for the small number of radiologists compared to the quickly growing elder patient populations worldwide. There also are applications in rural and developing countries were there are very low numbers of physicians or specialists.

 

Related AI in Medical Imaging Content:

AI Outperforms Humans in Creating Cancer Treatments, But Do Doctors Trust It?

VIDEO: Artificial Intelligence For MRI Helps Overcome Backlog of Exams Due to COVID

How AI is Helping the Fight Against Breast Cancer

VIDEO: Use of Artificial Intelligence in Nuclear Imaging

3 High-impact AI Market Trends in Radiology at RSNA 2019

 

Photo Gallery of New Imaging Technologies at RSNA 2019

VIDEO: Editors Choice of the Most Innovative New Radiology Technology at RSNA 2019

Study Reveals New Comprehensive AI Chest X-ray Solution Improves Radiologist Accuracy

VIDEO: Real-world Use of AI to Detect Hemorrhagic Stroke

The Radiology AI Evolution at RSNA 2019

 

Eliminating Bias from Healthcare AI Critical to Improve Health Equity

VIDEO: FDA Cleared Artificial Intelligence for Immediate Results of Head CT Scans

Building the Future of AI Through Data

WEBINAR: Do More, Perform Better: Delivering Clinical Quality through Advanced Radiology and Artificial Intelligence

Integrating Artificial Intelligence in Treatment Planning

 

Selecting an AI Marketplace for Radiology: Key Considerations for Healthcare Providers

Artificial Intelligence Improves Accuracy of Breast Ultrasound Diagnoses

Artificial Intelligence Greatly Speeds Radiation Therapy Treatment Planning

WEBINAR: Building the Bridge - How Imaging AI is Delivering Clinical Value Across the Care Continuum

AI in Medical Imaging Market to Reach $1.5B by 2024

 

VIDEO: AI-Assisted Automatic Ejection Fraction for Point-of-Care Ultrasound

5 Trends in Enterprise Imaging and PACS Systems

VIDEO: Artificial Intelligence to Automate CT Calcium Scoring and Radiomics

Scale AI in Imaging Now for the Post-COVID Era

VIDEO: Integrating Artificial Intelligence Into Radiologists Workflow

 

Northwestern Medicine Introduces Artificial Intelligence to Improve Ultrasound Imaging

Find more artificial intelligence news and video

 

 

 

Artificial Intelligence | February 21, 2020

In Artificial Intelligence at RSNA 2019, ITN Contributing Editor Greg Freiherr offers an overview of artificial intelligence (AI) advances at the Radiological Society of North America (RSNA) 2019 annual meeting.

Enterprise Imaging | February 21, 2020

In Enterprise Imaging at RSNA 2019, ITN Contributing Editor Greg Freiherr offers an overview of enterprise imaging advances at the Radiological Society of North America (RSNA) 2019 annual meeting.

Radiation Oncology View all 142 items

Radiation Oncology | March 19, 2024

In the conclusion of this 3-part video series on recent advancements in diagnostic radiology, current editorial advisory board member Robert L. Bard, MD, PC, DABR, FASLMS, discusses other advancements in diagnostic radiology and what new technologies are in development that could help in the fight against cancer.

Watch VIDEO PART I: Using 3-D Doppler Imaging and Other Advancements in Diagnostic Radiology

Dr. Bard is internationally known and recognized as a leader in his field. He specializes in advanced 3-D Doppler imaging to detect cancers in numerous organs, including the breast, prostate, and other areas. His images are used to accurately guide biopsies, target therapy and provide focused follow-up after treatment. He is committed to improving non-invasive cancer testing and developing minimally invasive image guided technologies to prevent cancer spread.

Watch VIDEO PART 2: VIDEO: The Advantages of Using Power Doppler Sonography on the Prostate to Screen for Tumors

In the spring of 2020, the Ellis Island Honor Society officially recognized Dr. Bard for his life’s work in clinical and research contributions in diagnostic imaging detection of cancers, which he received in person during a May 2022 ceremony, the prestigious 35th Annual Ellis Island Medal of Honor. Dr. Bard is also an Editorial Advisory Board Member for Imaging Technology News.

Related content:

VIDEO: Using 3-D Doppler Imaging and Other Advancements in Diagnostic Radiology

VIDEO: The Advantages of Using Power Doppler Sonography on the Prostate to Screen for Tumors

One on One ... with Robert L. Bard, MD, PC, DABR, FASLMS

The Full Body Imaging Movement: A Strategic Upgrade of the MRI

Microcirculation and Electromagnetic Response to Inflammation

Digital Imaging for Pelvic Floor Disorders

RSNA | February 07, 2024

At RSNA23, Imaging Technology News (ITN) spoke with Bhvita Jani, principal analyst at Signify Research, about advancements and trends in medical imaging, including the development of coronary CTA, use of molecular imaging in theranostic applications, and remote acquisition support, as well as future outlooks and the evolution of medical imaging.

Related content:

VIDEO: Data Workflow and Orchestration in Medical Imaging

VIDEO: One on One with Curtis P. Langlotz, MD, PhD, RSNA President

Find more RSNA23 conference coverage here

View the RSNA23 Photo Gallery here

One on One ... with Curtis P. Langlotz, MD, PhD

Radiation Oncology | January 09, 2024

In Part 2 of this 3-part video series on recent advancements in diagnostic radiology, current editorial advisory board member Robert L. Bard, MD, PC, DABR, FASLMS, talks with ITN on the advantages of using power Doppler Sonography as a non-invasive way to screen for prostate tumors with abnormal blood vessels.

Dr. Bard is internationally known and recognized as a leader in his field. He specializes in advanced 3-D Doppler imaging to detect cancers in numerous organs, including the breast, prostate, and other areas. His images are used to accurately guide biopsies, target therapy and provide focused follow-up after treatment. He is committed to improving non-invasive cancer testing and developing minimally invasive image guided technologies to prevent cancer spread.

In the spring of 2020, the Ellis Island Honor Society officially recognized Dr. Bard for his life’s work in clinical and research contributions in diagnostic imaging detection of cancers, which he received in person during a May 2022 ceremony, the prestigious 35th Annual Ellis Island Medal of Honor. Dr. Bard is also an Editorial Advisory Board Member for Imaging Technology News.

Related content:

VIDEO: Using 3-D Doppler Imaging and Other Advancements in Diagnostic Radiology

One on One ... with Robert L. Bard, MD, PC, DABR, FASLMS

The Full Body Imaging Movement: A Strategic Upgrade of the MRI

Microcirculation and Electromagnetic Response to Inflammation

Digital Imaging for Pelvic Floor Disorders

Radiation Oncology | December 12, 2023

Imaging advancements, including 3D Doppler imaging to detect cancers in numerous organs, are used to accurately guide biopsies, target therapy and provide focused follow-up after treatment. ITN spoke with current editorial advisory board member Robert L. Bard, MD, PC, DABR, FASLMS, to find out more about recent advancements in diagnostic radiology. This video is Part 1 of a 3-part video series.

Dr. Bard is internationally known and recognized as a leader in his field. He specializes in advanced 3-D Doppler imaging to detect cancers in numerous organs, including the breast, prostate, and other areas. His images are used to accurately guide biopsies, target therapy and provide focused follow-up after treatment. He is committed to improving non-invasive cancer testing and developing minimally invasive image guided technologies to prevent cancer spread.

In the spring of 2020, the Ellis Island Honor Society officially recognized Dr. Bard for his life’s work in clinical and research contributions in diagnostic imaging detection of cancers, which he received in person during a May 2022 ceremony, the prestigious 35th Annual Ellis Island Medal of Honor. Dr. Bard is also an Editorial Advisory Board Member for Imaging Technology News.

 

Related content:

One on One ... with Robert L. Bard, MD, PC, DABR, FASLMS

The Full Body Imaging Movement: A Strategic Upgrade of the MRI

Microcirculation and Electromagnetic Response to Inflammation

Digital Imaging for Pelvic Floor Disorders

Radiology Imaging View all 404 items

Radiology Business | October 09, 2025

Bayer Radiology’s Barbara Ruhland and Thom Kinst discuss how radiology departments can address the many different challenges and market disruptions they are currently facing and some of the innovative solutions that Bayer can offer them to meet these challenges — including the Medrad Centargo CT Injection System, a multi-patient injector that drives workflow efficiency as well as new products that are in the pipeline.

 

Radiology Business | July 30, 2024

Find actionable insights to achieve sustainability and savings in radiology in this newest of ITN’s “One on One” video series with Reed A. Omary, MD, MS, Vanderbilt University Medical Center (Nashville, TN). Tune in to "Promoting the Planet's Health: Sustainability in Radiology," to hear from a recognized leader about impactful, cost-saving initiatives radiologists, associations, healthcare systems and vendors can take, and why action is imperative.

Omary, the Carol D. and Henry P. Pendergrass Professor in the VUMC Department of Radiology, is a distinguished radiologist whose commitment to driving healthcare sustainability initiatives has gained both attention and momentum. After serving as Chair of the Department of Radiology and Radiology Sciences from 2012-2023, in June, 2023, Omary stepped away from his role as Chair to pursue a sabbatical focused on climate change and sustainable healthcare. He is author of The Green Leap, a blog about making healthcare sustainable, and founder of the Greenwell Project, a sustainable healthcare non-profit. He has presented a Plenary Lecture at the Radiological Society of North America (RSNA) Annual Scientific Sessions and American College of Radiology (ACR) meetings on the topic, and continues to connect with healthcare systems, vendors and colleagues to advance the issue.

Related content:

PHILIPS MARKS MILESTONE DURING HELIUM-FREE MRI INSTALLATION IN PUERTO RICO

RSNA 2022 PLENARY SPEAKER OMARY URGES RADIOLOGISTS TO SUPPORT PATIENTS, COMMUNITIES AND THE PLANET

RSNA 2022 PANEL DISCUSSIONS FORECAST RADIOLOGY IN 2027, AND HIGHLIGHT WHY MENTORS MATTER

Breast Imaging | July 24, 2024

Don't miss ITN's latest "One on One" video interview with AAWR Past President and American College of Radiology (ACR) RAN and RADPAC Chair, Amy K. Patel, MD, discussing advocacy initiatives and innovations in artificial intelligence (AI) for breast imaging

Dr. Patel is a breast imaging trailblazer and radiology advocacy leader. In this video,  learn how radiologists can support key initiatives, ways AI is improving patient care, and more.

Related content:

Leaders from RadEqual and the AAWR Sign MOU, Solidifying Commitment to Advance Opportunities in Radiology

Technology Report: Artificial Intelligence in Radiology 2021

VIDEO: Integrating Artificial Intelligence Into Radiologists Workflow

Digital Radiography (DR) | February 12, 2024

Agfa Radiology Solutions is committed to enhancing clinical outcomes and operational efficiency, underscoring its innovative edge in the dynamically evolving healthcare landscape. 

AT RSNA23, ITN met with Karol Wesolowski, Global Commercial Excellence Leader, Agfa Radiology Solutions, and Jeroen Spruyt, Head of BU DR, VP Product Supply and Operations, Agfa Radiology Solutions, to learn more about how the company is transforming radiology practices.

Find more RSNA23 conference coverage here

Related content:

VIDEO: Talking Trends with Agfa — What’s On Tap for RSNA 2023

Molecular Imaging View all 36 items

RSNA | February 07, 2024

At RSNA23, Imaging Technology News (ITN) spoke with Bhvita Jani, principal analyst at Signify Research, about advancements and trends in medical imaging, including the development of coronary CTA, use of molecular imaging in theranostic applications, and remote acquisition support, as well as future outlooks and the evolution of medical imaging.

Related content:

VIDEO: Data Workflow and Orchestration in Medical Imaging

VIDEO: One on One with Curtis P. Langlotz, MD, PhD, RSNA President

Find more RSNA23 conference coverage here

View the RSNA23 Photo Gallery here

One on One ... with Curtis P. Langlotz, MD, PhD

Proton Therapy | October 10, 2023

Tune in to ITN’s latest “One on One” video series with Michael Butkus, PhD, for insights into proton therapy advancements. Butkus is the co-medical director and head of proton physics at the Dwoskin Proton Center at the Sylvester Comprehensive Cancer Center, part of the University of Miami/UHealth Medical System. A board member of the National Association of Proton Therapy (NAPT), Butkus spoke with ITN’s managing editor to discuss how physicists, physicians and vendors are collaborating to expand availability of proton therapy and improve the health of patients being treated. 

Related proton therapy content:

Targeting Cancer, Tracking Collaboration: A Progress Report on Proton Therapy

ASTRO23 conference coverage

VIDEO: First FLASH Proton Therapy Trial Completed in Humans

 

Contrast Media | February 27, 2023

Bracco Diagnostics and Guerbet recently announced they had formed a strategic, global collaboration for the research, development, and manufacture of a new contrast agent.

Imaging Technology News talked to Jeff Fleming, president and CEO, at RSNA 2022 to learn more about this relationship and find out what Bracco is doing for the future of radiology.

For more information: www.vueway.com

Find more RSNA22 coverage here

Related content:

Bracco and Guerbet Partner to Expand Access to Novel Imaging Agent

First Nationwide Use of Bracco's VUEWAY (gadopiclenol) Solution for Injection for MRI

Guerbet Announces Commercial Launch and First Patient Dosing of Elucirem (Gadopiclenol) Injection

Computed Tomography (CT) | March 09, 2022

At RSNA 2021, Philips highlighted the launch of two new innovative CT systems – the multi-energy Spectral CT 7500 and the CT 5100 Incisive with embedded AI capabilities. ITN spoke with Wendy Winkle Lawless, CT Business Market Leader - North America, Philips, to learn more about these new systems.

Conference Coverage View all 505 items

Radiology Business | July 30, 2024

Find actionable insights to achieve sustainability and savings in radiology in this newest of ITN’s “One on One” video series with Reed A. Omary, MD, MS, Vanderbilt University Medical Center (Nashville, TN). Tune in to "Promoting the Planet's Health: Sustainability in Radiology," to hear from a recognized leader about impactful, cost-saving initiatives radiologists, associations, healthcare systems and vendors can take, and why action is imperative.

Omary, the Carol D. and Henry P. Pendergrass Professor in the VUMC Department of Radiology, is a distinguished radiologist whose commitment to driving healthcare sustainability initiatives has gained both attention and momentum. After serving as Chair of the Department of Radiology and Radiology Sciences from 2012-2023, in June, 2023, Omary stepped away from his role as Chair to pursue a sabbatical focused on climate change and sustainable healthcare. He is author of The Green Leap, a blog about making healthcare sustainable, and founder of the Greenwell Project, a sustainable healthcare non-profit. He has presented a Plenary Lecture at the Radiological Society of North America (RSNA) Annual Scientific Sessions and American College of Radiology (ACR) meetings on the topic, and continues to connect with healthcare systems, vendors and colleagues to advance the issue.

Related content:

PHILIPS MARKS MILESTONE DURING HELIUM-FREE MRI INSTALLATION IN PUERTO RICO

RSNA 2022 PLENARY SPEAKER OMARY URGES RADIOLOGISTS TO SUPPORT PATIENTS, COMMUNITIES AND THE PLANET

RSNA 2022 PANEL DISCUSSIONS FORECAST RADIOLOGY IN 2027, AND HIGHLIGHT WHY MENTORS MATTER

Information Technology | July 25, 2024

Industry trade shows and conferences seem to be making their comeback in 2024. And the Healthcare Information and Management Systems Society (HIMSS) Global Conference and Exhibition seems particularly poised to deliver the best of the best when it comes to digital transformation in both the delivery of healthcare, but also the delivery of a quality experience for those in this demanding, rapidly evolving industry. This month in our ongoing One on One series with industry leaders, we are talking with Hal Wolf, FHIMSS, president and CEO of HIMSS. He offered insights on the society’s new partnership with Informa Markets, key topics being covered at HIMSS24, AI’s impact on the industry, and his thoughts on healthcare sustainability.

Find more HIMSS24 conference coverage here

A New Partnership for Growth

Last August, Informa Markets and HIMSS announced a landmark partnership to propel the growth and evolution of the HIMSS Global Health Conference and Exhibition, recognized as the most influential healthcare technology event of the year, and in North America. It draws 40,000 health professionals, tech leaders, providers and governmental organizations from across the globe. Informa Markets, the world’s largest exhibition organizer, took on management of the HIMSS Exhibition, while HIMSS continues to oversee developing expert content and programming.

Exciting New Features at HIMSS24

At HIMSS2024, with this new collaboration comes new features, including:

Related content:

Find more HIMSS24 conference coverage here

HIMSS Launches Modernized Infrastructure Adoption Model to Support Global Digital Health Transformation

Top Public Policy Experts at HIMSS24 to Address Global AI Landscape and Digital Transformation in Healthcare

VIDEO: Using Maturity Models to Measure Digital Health

VIDEO: Moving Digital Transformation Forward in Healthcare

VIDEO: Key Components to Creating and Implementing AI and Digital Transformation Solutions

VIDEO: The Benefits and Pitfalls of Artificial Intelligence in Healthcare

VIDEO: A Look at Cybersecurity and How Healthcare is at Risk

Breast Imaging | July 24, 2024

Don't miss ITN's latest "One on One" video interview with AAWR Past President and American College of Radiology (ACR) RAN and RADPAC Chair, Amy K. Patel, MD, discussing advocacy initiatives and innovations in artificial intelligence (AI) for breast imaging

Dr. Patel is a breast imaging trailblazer and radiology advocacy leader. In this video,  learn how radiologists can support key initiatives, ways AI is improving patient care, and more.

Related content:

Leaders from RadEqual and the AAWR Sign MOU, Solidifying Commitment to Advance Opportunities in Radiology

Technology Report: Artificial Intelligence in Radiology 2021

VIDEO: Integrating Artificial Intelligence Into Radiologists Workflow

Enterprise Imaging | February 15, 2024

Clinicians and referring physicians need fast, secure access to both patient data and their diagnostic or viewing tool set. But the cost barriers and the complexity of owning and maintaining healthcare information systems can compromise the quality of care.

To address this, Philips has partnered with AWS to develop Philips HealthSuite Imaging — a new radiology cloud service that provides on-demand access to advanced medical imaging software.

ITN recently visited with Madhuri Sebastian and Matthieu Ferrant to learn more about this service.

Find more RSNA23 conference coverage here

Information Technology View all 301 items

Information Technology | July 25, 2024

Industry trade shows and conferences seem to be making their comeback in 2024. And the Healthcare Information and Management Systems Society (HIMSS) Global Conference and Exhibition seems particularly poised to deliver the best of the best when it comes to digital transformation in both the delivery of healthcare, but also the delivery of a quality experience for those in this demanding, rapidly evolving industry. This month in our ongoing One on One series with industry leaders, we are talking with Hal Wolf, FHIMSS, president and CEO of HIMSS. He offered insights on the society’s new partnership with Informa Markets, key topics being covered at HIMSS24, AI’s impact on the industry, and his thoughts on healthcare sustainability.

Find more HIMSS24 conference coverage here

A New Partnership for Growth

Last August, Informa Markets and HIMSS announced a landmark partnership to propel the growth and evolution of the HIMSS Global Health Conference and Exhibition, recognized as the most influential healthcare technology event of the year, and in North America. It draws 40,000 health professionals, tech leaders, providers and governmental organizations from across the globe. Informa Markets, the world’s largest exhibition organizer, took on management of the HIMSS Exhibition, while HIMSS continues to oversee developing expert content and programming.

Exciting New Features at HIMSS24

At HIMSS2024, with this new collaboration comes new features, including:

Related content:

Find more HIMSS24 conference coverage here

HIMSS Launches Modernized Infrastructure Adoption Model to Support Global Digital Health Transformation

Top Public Policy Experts at HIMSS24 to Address Global AI Landscape and Digital Transformation in Healthcare

VIDEO: Using Maturity Models to Measure Digital Health

VIDEO: Moving Digital Transformation Forward in Healthcare

VIDEO: Key Components to Creating and Implementing AI and Digital Transformation Solutions

VIDEO: The Benefits and Pitfalls of Artificial Intelligence in Healthcare

VIDEO: A Look at Cybersecurity and How Healthcare is at Risk

Breast Imaging | July 24, 2024

Don't miss ITN's latest "One on One" video interview with AAWR Past President and American College of Radiology (ACR) RAN and RADPAC Chair, Amy K. Patel, MD, discussing advocacy initiatives and innovations in artificial intelligence (AI) for breast imaging

Dr. Patel is a breast imaging trailblazer and radiology advocacy leader. In this video,  learn how radiologists can support key initiatives, ways AI is improving patient care, and more.

Related content:

Leaders from RadEqual and the AAWR Sign MOU, Solidifying Commitment to Advance Opportunities in Radiology

Technology Report: Artificial Intelligence in Radiology 2021

VIDEO: Integrating Artificial Intelligence Into Radiologists Workflow

Enterprise Imaging | February 15, 2024

Clinicians and referring physicians need fast, secure access to both patient data and their diagnostic or viewing tool set. But the cost barriers and the complexity of owning and maintaining healthcare information systems can compromise the quality of care.

To address this, Philips has partnered with AWS to develop Philips HealthSuite Imaging — a new radiology cloud service that provides on-demand access to advanced medical imaging software.

ITN recently visited with Madhuri Sebastian and Matthieu Ferrant to learn more about this service.

Find more RSNA23 conference coverage here

Digital Radiography (DR) | February 12, 2024

Agfa Radiology Solutions is committed to enhancing clinical outcomes and operational efficiency, underscoring its innovative edge in the dynamically evolving healthcare landscape. 

AT RSNA23, ITN met with Karol Wesolowski, Global Commercial Excellence Leader, Agfa Radiology Solutions, and Jeroen Spruyt, Head of BU DR, VP Product Supply and Operations, Agfa Radiology Solutions, to learn more about how the company is transforming radiology practices.

Find more RSNA23 conference coverage here

Related content:

VIDEO: Talking Trends with Agfa — What’s On Tap for RSNA 2023

Women's Health View all 82 items

Breast Imaging | July 24, 2024

Don't miss ITN's latest "One on One" video interview with AAWR Past President and American College of Radiology (ACR) RAN and RADPAC Chair, Amy K. Patel, MD, discussing advocacy initiatives and innovations in artificial intelligence (AI) for breast imaging

Dr. Patel is a breast imaging trailblazer and radiology advocacy leader. In this video,  learn how radiologists can support key initiatives, ways AI is improving patient care, and more.

Related content:

Leaders from RadEqual and the AAWR Sign MOU, Solidifying Commitment to Advance Opportunities in Radiology

Technology Report: Artificial Intelligence in Radiology 2021

VIDEO: Integrating Artificial Intelligence Into Radiologists Workflow

Breast Imaging | May 08, 2023

In addition to women with dense breasts, there are also other women for whom mammographic screening is not really enough, which is why research needs to continue in this field. Dr. Wendie Berg, a leading breast cancer specialist, talks with ITN about new research and advancements in breast imaging technology.

Dr. Berg, MD, PhD, FACR, FSBI, is Professor of Radiology at the University of Pittsburgh School of Medicine and Magee-Womens Hospital of UPMC, specializing in breast imaging. She is also the Chief Scientific Advisor to DenseBreast-info.org. A renowned expert, she writes and co-edits one of the leading textbooks on the topic, Diagnostic Imaging: Breast, currently in its third edition, and has co-authored over 120 peer-reviewed research publications.

Related Breast Density Content:

VIDEO: FDA Update on the US National Density Reporting Standard - A Discussion on the Final Rule

One on One … with Wendie Berg, MD, PhD, FACR, FSBI

Task Force Issues New Draft Recommendation Statement on Screening for Breast Cancer

Creating Patient Equity: A Breast Density Legislative Update

FDA Needs to Ensure that Information on Dense Breast Notifications are Clear and Understandable to all Members of the Public

AI Provides Accurate Breast Density Classification

VIDEO: The Impact of Breast Density Technology and Legislation

VIDEO: Personalized Breast Screening and Breast Density

VIDEO: Breast Cancer Awareness - Highlights of the NCoBC 2016 Conference

Fake News: Having Dense Breast Tissue is No Big Deal

The Manic World of Social Media and Breast Cancer: Gratitude and Grief

Related Breast Imaging Content:

Single vs. Multiple Architectural Distortion on Digital Breast Tomosynthesis

Today's Mammography Advancements 

Digital Breast Tomosynthesis Spot Compression Clarifies Ambiguous Findings 

AI DBT Impact on Mammography Post-breast Therapy 

ImageCare Centers Unveils PINK Better Mammo Service Featuring Profound AI 

Radiologist Fatigue, Experience Affect Breast Imaging Call Backs 

Fewer Breast Cancer Cases Between Screening Rounds with 3-D Mammography

Study Finds Racial Disparities in Access to New Mammography Technology

American College of Radiology (ACR) Launches Contrast-Enhanced Mammography Imaging Screening Trial (CMIST) in Collaboration With GE Healthcare and the Breast Cancer Research Foundation

Breast Density | April 14, 2023

It has long been said that a national reporting standard is needed in order to ensure all American women receive at least the same basic information regarding breast density, and a spotlight put on the importance of routine breast imaging. Dr. Wendie Berg, a leading breast cancer specialist, shares with ITN what is being done in the fight against breast cancer and the importance of this standardization in reporting for women.

Dr. Berg, MD, PhD, FACR, FSBI, is Professor of Radiology at the University of Pittsburgh School of Medicine and Magee-Womens Hospital of UPMC, specializing in breast imaging. She is also the Chief Scientific Advisor to DenseBreast-info.org. A renowned expert, she writes and co-edits one of the leading textbooks on the topic, Diagnostic Imaging: Breast, currently in its third edition, and has co-authored over 120 peer-reviewed research publications.

 

Related Breast Density Content:

VIDEO: Research and Advancements in Breast Imaging Technology

One on One … with Wendie Berg, MD, PhD, FACR, FSBI

Task Force Issues New Draft Recommendation Statement on Screening for Breast Cancer

Creating Patient Equity: A Breast Density Legislative Update

FDA Needs to Ensure that Information on Dense Breast Notifications are Clear and Understandable to all Members of the Public

AI Provides Accurate Breast Density Classification

VIDEO: The Impact of Breast Density Technology and Legislation

VIDEO: Personalized Breast Screening and Breast Density

VIDEO: Breast Cancer Awareness - Highlights of the NCoBC 2016 Conference

Fake News: Having Dense Breast Tissue is No Big Deal

The Manic World of Social Media and Breast Cancer: Gratitude and Grief

Related Breast Imaging Content:

Single vs. Multiple Architectural Distortion on Digital Breast Tomosynthesis

Today's Mammography Advancements 

Digital Breast Tomosynthesis Spot Compression Clarifies Ambiguous Findings 

AI DBT Impact on Mammography Post-breast Therapy 

ImageCare Centers Unveils PINK Better Mammo Service Featuring Profound AI 

Radiologist Fatigue, Experience Affect Breast Imaging Call Backs 

Fewer Breast Cancer Cases Between Screening Rounds with 3-D Mammography

Study Finds Racial Disparities in Access to New Mammography Technology

American College of Radiology (ACR) Launches Contrast-Enhanced Mammography Imaging Screening Trial (CMIST) in Collaboration With GE Healthcare and the Breast Cancer Research Foundation

Subscribe Now