April 28, 2009 - Experts have compiled a comprehensive overview of the literature regarding the usefulness of PET imaging for the treatment of several cancers, "Personalizing Cancer Therapy with FDG PET: From RECIST to PERCIST," providing a compilation of results of therapeutic regimens across a broad range of cancers published as a supplement to The Journal of Nuclear Medicine

April 28, 2009 - On Monday HIMSS published its definitions of ‘meaningful use of certified EHR technologies,’ as outlined in the American Recovery and Reinvestment Act of 2009 (ARRA).

April 28, 2009 – This week HIMSS published its definitions of ‘meaningful use of certified EHR technologies,’ as outlined in the American Recovery and Reinvestment Act of 2009 (ARRA).

In summary, HIMSS recommends the following:

- To ensure continuity, recognize CCHIT as the certifying body of EHRs.


April 27, 2009 – iCAD Inc. reported that it has installed VividLook Computer-Aided Detection (CAD) analysis solution for prostate MRI at Research Medical Center in Kansas City, Mo.

April 27, 2009 - It’s official. Imaging Technology News is now owned by Scranton Gillette Communications, a progressive, privately held trade publishing company based in Arlington Heights, IL. Scranton Gillette has a rich history of building strong brands in the industries it serves, and we are excited to join its experienced team of professionals.

April 27, 2009 – Siemens Healthcare said today that Mayo Clinic in Rochester, MN, was the first medical facility in the U.S. to install its SOMATOM Definition Flash dual-source computed tomography (CT) scanner.

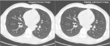
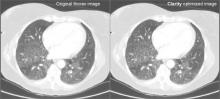
April 27, 2009 - Recent studies from Massachusetts General Hospital show radiation during CT scans can be reduced when using an image enhancing technology developed by SharpView.

The studies show a relative dose reduction of up to 75 percent with preserved or even enhanced image quality. This results in safer scanning by allowing lower radiation doses to be used.

In these challenging economic times, it’s important to make smart decisions when evaluating a 3D advanced visualization system in order to maximize your long-term investment. Budgets and staffing levels are decreasing, while the number of images and functional sophistication needed to analyze those images are increasing.

April 27, 2009 - Varian Medical Systems is showcasing the its full spectrum of prostate cancer treatment technologies, including brachytherapy, IMRT and SBRT, at the American Urological Association (AUA) Meeting at McCormick Place in Chicago from April 25-30.

April 27, 2009 - An additional breast cancer was found in 9 percent of patients when breast-specific gamma imaging (BSGI) was used to complement mammography, according to a study from Beth Israel Medical Center, New York, presented at the American Society of Breast Surgeons 2009 Annual Meeting in San Diego.

Subscribe Now