Oxford Performance Materials Inc. (OPM) announced the commencement of an extensive joint research program with Yale University to develop innovative and cost-effective 3-D printed biomedical technologies and applications.

X-ray phase tomography is an imaging technique that uses penetrating X-rays to create volumetric views through "slices" or sections of soft biological tissues, such as tumors, and it offers strongly enhanced contrast compared to conventional CT scans. 

Locally advanced rectal cancer patients who receive preoperative radiation therapy with either irinotecan plus capecitabine or oxaliplatin plus capecitabine have a four-year overall survival rate of 85 percent and 75 percent, respectively, according to a study.

More than 100 cancer patients have received an innovative form of radiation therapy at the S. Lee Kling Center for Proton Therapy in its first year of operation. 

The first magnetic resonance imaging (MRI) program in Canada's North has opened at Whitehorse General Hospital (WGH) thanks to the joint efforts of the Yukon government, the Yukon Hospital Corporation and the community.


Patients who receive breast tomosynthesis for their annual breast cancer screening experienced fewer recalls, fewer diagnostic procedures, earlier detection and required less costly treatment than patients who utilized traditional, 2-D digital imaging alone, according to a new study by Truven Health Analytics.



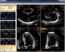
According to a new report by iData Research, ultrasound equipment providers in the United States are likely to see stable, reliable growth in the coming years. Already a billion-dollar industry in the U.S., the ultrasound imaging equipment market is projected to pass the $2 billion mark by 2020.


University Hospitals (UH) Case Medical is now offering a new, non-invasive test for coronary artery disease designed to help physicians develop the right treatment plan for each patient. Developed by HeartFlow Inc., computed tomography-fractional flow reserve (CT-FFR) is a non-invasive imaging technology specifically designed to offer insight on both the extent of the blockage, as well as whether it is impacting blood flow to the heart. UH Case Medical Center’s Daniel Simon, M.D., will be first to use the CT-FFR test in the United States.

For lung cancer that cannot be removed with surgery, radiotherapy is the primary treatment option. However, it is associated with a range of side effects, including fatigue and inflammation of the esophagus and lungs. Current methods to record lung-cancer treatment-related toxicities rely on assessment by healthcare professionals. Now a team from The University of Manchester and The Christie NHS Foundation Trust — both part of the Manchester Cancer Research Center — has explored the use of patient-reported outcomes to improve the recording of side effects for lung cancer patients.

Subscribe Now