May 17, 2010 - New technologies in ultrasound are designed to improve efficiency and image quality in obstetrics and gynecological (OB/GYN) imaging.
The latest acoustic technologies are able to deliver clearer 2-D, Doppler and 3-D/4-D imaging for many demanding requirements in
maternal-fetal medicine.
At the 58th Annual Clinical Meeting of American Congress of Obstetricians and Gynecologists (ACOG) in San Francisco. Siemens Healthcare will feature some of these advanced clinical applications in OB/GYN imaging with its syngo.fourSight Workplace, a work-in-progress image management software.
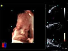
The volume imaging software offers a true stereoscopic view of 3-D images. Created in collaboration with NVIDIA Corp., the new technology creates a 3-D imaging experience that is designed to be more immersive, detailed and realistic than previous solutions. NVIDIA 3D Vision stereoscopic glasses and NVIDIA Quadro FX high-end professional graphics solutions render 3-D/4-D images of the fetus.
The clinical images, obtained with the ACUSON S2000 system, are further enhanced using Amnioscopic Rendering, a Siemens technology that uses NVIDIA 3D Vision technology, users can experience 3-D images in real 3-D. This enhancement is intended to provide additional information to the physician and assist in communication between surgeons and patients or aid in treatment or surgical planning.
The ACUSON S2000 system also captures data over multiple heart cycles and creates a 3D fetal heart volume, allowing sonographers to view the fetal heart in multiple planes.
Another highlight of the ACUSON S2000 system – Women’s Imaging as well as the ACUSON X300 system PE – Women’s Imaging includes syngo Auto OB measurements, an advanced clinical tool that automates routine biometry measurements of the fetus.
For more information: www.siemens.com/healthcare
November 20, 2025 