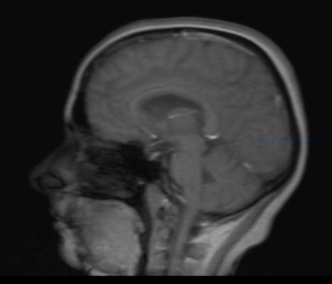
April 13, 2016 — As chronic traumatic encephalopathy (CTE) stands in the national spotlight for high impact sports, the University of California, Irvine has partnered with Toshiba America Medical Systems Inc. for a first-of-its-kind study of cerebral microbleeds (CMB) in high school football players as a potential precursor to CTE. The study will utilize Toshiba’s Vantage Titan 3T magnetic resonance (MR) system as the key diagnostic tool, taking advantage of its non-invasive capabilities.
The study will investigate the use of non-contrast MRI as a safe and noninvasive way to examine youth athletes and other patients for early signs of CTE, a degenerative disease found in those who suffer head trauma and a well-documented consequence of sub-concussive head injury. This will include evaluations of local high school student volunteers, including 100 test subjects (football players) and 50 control subjects (non-football players). Toshiba will provide application training to UCI researchers concerning the use of Toshiba’s MRI equipment.
“There have not been extensive studies of CTE in younger populations to date, so we see this as an important opportunity to examine if there are precursors or early signs that can lead to better diagnosis and treatment,” said Mark Fisher, M.D., UCI professor of neurology and study lead researcher. “Using Toshiba’s Titan 3T MR system, we may have an effective way to examine how playing football is affecting these subjects, and we hope to break new ground in diagnosing and treating head trauma before it can potentially cause problems for these athletes in the future.”
The Vantage Titan 3T MR was chosen for its ability to provide non-contrast neuro imaging. This includes elements such as a suite of advanced neuro-imaging sequences and Pianissimo noise-reduction technology, and in particular its ability to determine the prevalence of CMB using the Flow Sensitive Black Blood (FSBB) sequence.
For more information: www.uci.edu
November 06, 2025 