As a deployment option of syngo.plaza, which enables the everyday routine reading of 3-D images, syngo.plaza 3D+ now also includes Siemens’ automatic landmarking and parsing of human anatomy (ALPHA) technology of syngo.via³ , which features AutoViews and Anatomical Range Presets.
December 10, 2015 — While the case load of radiology departments is increasing with the aging population, institutions need to stay competitive with their reading and reporting performance. Thus a powerful image management tool is required, which is expandable for the future. To improve the imaging workflow of clinics, images must be made available across departmental borders and with mobile access² on tablets and devices.
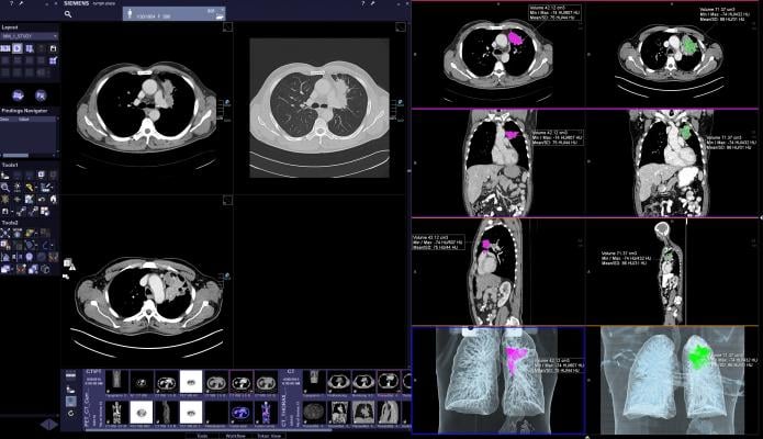
The new version VB20 of Siemens Healthcare’s syngo.plaza offers reading and reporting, viewing and archiving modules for full entrepreneurial flexibility. It debuted at 2015 meeting of the Radiological Society of North America (RSNA).
The new user-interface of syngo.plaza version VB20 improves intuitive reading due to reduction to essential descriptive elements, calmer button style and cleaner navigation tool area. Moreover, an optimized color scheme fosters a clear focus on relevant image information. Resolution independent user-interface scaling leads to an increased ease of use, as all navigation elements are automatically scaled equally to provide an intuitive handling and a stabilized image area. Comparing images within one study as well as with previous examinations becomes less difficult with syngo.plaza offering the new features of series synchronization and synchronize zoom. Furthermore it improves productivity and decreases report turnaround time.
As a deployment option of syngo.plaza, which enables the everyday routine reading of 3-D images, syngo.plaza 3D+ now also includes Siemens’ automatic landmarking and parsing of human anatomy (ALPHA) technology of syngo.via , which features AutoViews and Anatomical Range Presets. These features speed up the imaging workflow by automating and standardizing 3-D reconstructions and views, and additionally improve consistency in image reconstruction and presentation.
To fully support the workflow of radiologists, PACS does not only need to cover reading, reporting and viewing, but also archiving. Medical image archives are increasing immensely today, and so are heterogeneous radiological IT system environments and the challenge of managing multi-site environments of clinical enterprises. Therefore, syngo.plaza VB20 now offers dedicated archiving solutions as well as syngo.share for radiological vendor-neutral DICOM archiving up to enterprise-wide multimedia VNA solutions, which allow consolidating the archiving of all data from clinical and radiological departments into one central repository.
Radiologists need a PACS solution that secures long-term profitability as it is able to adapt to changes in the future, such as healthcare system changes or new institutional business targets. Siemens syngo.plaza version VB20 is thus a highly scalable, modular PACS solution to connect, integrate and manage the needs of reading and reporting, viewing and archiving components.
For more information: www.siemens.com
December 09, 2025 