A medical image denoising method based on principles of quantum mechanics outperform machine learning, statistical methods, and neural networks. The same approach could aid quantum computing performance at scale. (Photo: Hashemi et al.)
Aug. 12, 2025 – Medical imaging methods such as ultrasound and MRI are often affected by background noise, which can introduce blurring and obscure fine anatomical details in the images. For clinicians who depend on medical images, background noise is a fundamental problem in making accurate diagnoses.
Methods for denoising have been developed with some success, but they struggle with the complexity of noise patterns in medical images and require manual tuning of parameters, adding complexity to the denoising process.
To solve the denoising problem, some researchers have drawn inspiration from quantum mechanics, which describes how matter and energy behave at the atomic scale. Their studies draw an analogy between how particles vibrate and how pixel intensity spreads out in images and causes noise. Until now, none of these attempts directly applied the full-scale mathematics of quantum mechanics to image denoising.
In a paper in the American Institute of Physics' AIP Advances, by AIP Publishing, researchers from Massachusetts General Hospital, Harvard Medical School, Weill Cornell Medicine, GE HealthCare and Université de Toulouse took a particle-pixel analogy to the next level.
“While quantum localization is a well-established phenomenon in physical materials, our key innovation was conceptualizing it for noisy images — translating the physics literally, not just metaphorically,” author Amirreza Hashemi said. “This foundational analogy didn’t exist before. We’re the first to formalize it.”
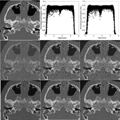
A central concept in the math describing matter and energy, localization is used to explain how particles vibrate in a space. Vibrations that stay confined are considered localized, while vibrations that spread out are diffused. Similarly, pixel intensity, or brightness, in a clear image can be considered localized, while noisy patterns in an image can be considered diffused.
The authors apply the same mathematics that describes the localization of particle vibrations in the surrounding physical space to decipher the localization of pixel intensity in images. In this way, they can separate the noise-free “signal” of the anatomical structures in the image from the visual noise of stray pixels.
“The main aspect was developing an algorithm that automatically separates the localized (signal) and nonlocalized (noise) components of pixels in an image by exploiting their distinct behaviors,” Hashemi said.
The researchers’ direct application of the physics and mathematics of particles also eliminated the need to manually fine-tune parameters in denoising algorithms, which Hashemi said is a major hindrance in traditional approaches.
“Our method leverages physics-driven principles, like localization and diffusive dynamics, which inherently separate noise from signal without expensive optimization,” Hashemi said. “The algorithm just works by design, avoiding brute-force computations.”
Their method has applications not only in medical image denoising, but across quantum computing, too.
“Our physics-driven framework aligns with the computational primitives of quantum systems, offering a potential performance advantage as quantum computing scales.”
The article “A novel perspective on denoising using quantum localization with application to medical imaging” is authored by Amirreza Hashemi, Sayantan Dutta, Bertrand Georgeot, Denis Kouamé and Hamid Sabet. It can be accessed at https://doi.org/10.1063/5.0267924.
November 21, 2025 