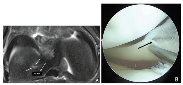
A and B, Axial T2-weighted fat-suppressed MR image (A) and corresponding arthroscopic image (B) in 15-year-old boy show LMORT Type 1 (incomplete tear) lesion (single-headed arrows). Double-headed arrow in A indicates measurement of tear extent from posterior root attachment. (Photo: American Journal of Roentgenology (AJR))
September 24, 2025—According to the American Journal of Roentgenology (AJR), MRI can reliably identify lateral meniscal oblique radial tears (LMORTs) — a biomechanically important tear pattern associated with anterior cruciate ligament (ACL) injury — using arthroscopy as the reference standard.
“In our series of more than 500 ACL reconstructions, LMORT lesions accounted for more than one-third of posterior lateral meniscal tears and were seen in 9% of all reconstructions,” said first author and 2025 AJR Melvin M. Figley Fellow in Radiology Journalism Erin F. Alaia, MD, from the radiology department at NYU Langone Health in New York City. “MRI demonstrated good sensitivity for detection overall, particularly for Type 3 and 4 lesions, which are clinically significant because of their biomechanical consequences.”
Alaia et al. evaluated 568 ACL reconstructions performed from December 2022 to December 2023. Of 140 knees with posterior lateral meniscal tears meeting inclusion criteria, 51 LMORTs were identified at arthroscopy (19 women, 32 men; mean age, 28.1 years). Three musculoskeletal radiologists independently reviewed MR images for LMORT presence and classification, blinded to arthroscopic findings.
MRI demonstrated sensitivity of 76.5–80.4% and specificity of 54.9–88.2% for distinguishing LMORTs from other posterior lateral meniscal tears, with moderate to substantial interreader agreement (κ = 0.443–0.747). Sensitivity was highest for Type 3 and Type 4 lesions (82.6–91.3%), compared to Type 1 (12.5–25.0%) or Type 2 (0–27.3%) lesions. Lateral meniscal extrusion emerged as an independent predictor of LMORT presence (p = .049).
“Given their association with knee instability and osteoarthritis risk, LMORTs must be included in the MRI search pattern for patients with ACL tears,” Alaia and her AJR colleagues concluded. “Accurate recognition can guide surgical planning, particularly for Type 3 and 4 lesions, which benefit from repair to restore normal biomechanics.”
A supplement to this AJR accepted manuscript is available online.
February 06, 2026 