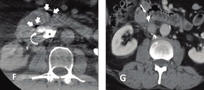
58-year-old patient referred for complex IVC filter retrieval after dwell time of 72 months. F, Axial image from cone-beam CT immediately following retrieval shows two foci of gas in retroperitoneum (white block arrows) and contained contrast extravasation (curved white arrow) from IVC (asterisk). G, Axial image from contrast-enhanced CT performed 1 day post-retrieval shows interval placement of hemoclips in duodenum (arrow), with no further extravasation evident. This was only patient in study sample who experienced major adverse event during complex retrieval.
October 4, 2022 — According to an article in ARRS’ American Journal of Roentgenology (AJR), large specialized referral systems for complex inferior vena cava (IVC) filter retrievals can facilitate high success rates and low adverse event rates, including particular utility for retrieval after long dwell times.
“High retrieval success rates can be achieved in patients with long dwell times in the context of a specialized referral system with expertise in complex retrieval methods,” wrote corresponding author Mateen C. Moghbel, MD from the department of radiology at Massachusetts General Hospital in Boston. “Nonetheless, longer dwell times are associated with adverse events during the retrieval procedures.”
Dr. Moghbel and team’s retrospective study included 125 patients (mean age, 60 years; 51 women, 74 men) of Kaiser Permanente Northern California who underwent complex IVC filter retrieval from March 2014 to June 2018 at five of the health system’s large specialized complex retrieval referral centers. Methods of complex retrievals included a range of loop snare, coaxial sheath, forceps, and snare techniques.
At these specialized IVC filter referral centers—which employed interventional radiologists having expertise in such procedures—the complex retrieval success rate was 100.0%, with an adverse event rate of 11.2% and major adverse event rate of 0.8%. Ultimately, the only independent predictor of adverse events was prolonged filter dwell time ≥5 years (odds ratio=6.98).
“The present study’s long mean dwell time is notable,” the authors of this AJR article pointed out, “given that increased dwell times may predispose to a need for complex retrieval techniques, and consequently higher adverse event rates.”
For more information: www.arrs.org
November 25, 2025 