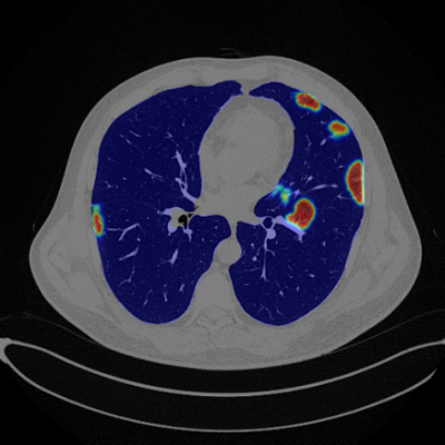
A COVID-19 chest CT heat map from RADlogics
October 13, 2020 — Given recent high-profile cases of COVID-19 and to aid in the ongoing fight against the pandemic in the United States, RADLogics highlighted key insights from U.S. clinicians calling to embrace medical imaging and emerging technologies such as artificial intelligence (AI) to alleviate the ongoing pressure on the health systems due to coronavirus. Since the pandemic started in China, RADLogics has responded with the deployment of the company’s AI-Powered medical image analysis solution worldwide. The company’s AI-Powered COVID-19 solution has processed and analyzed hundreds of thousands of suspected Coronavirus cases globally to support radiology, ER, and ICU teams as they have become overwhelmed with the surge of patients.
“There is significant potential clinical impact in the application of AI to medical images to follow and predict trajectory of disease,” said Eliot Siegel, M.D., Professor and Vice Chair at the University of Maryland School of Medicine, Department of Diagnostic Radiology and Chief of Radiology and Nuclear Medicine for the Veterans Affairs Maryland Healthcare System. “Some of the early research that I did in collaboration with RADLogics was in the rapid utilization of machine learning to find and quantify disease in thoracic CT scans of patients with COVID-19. In order to streamline a process that normally might take years to just a few weeks, it was critical to apply transfer learning to existing tools and software to rapidly develop these algorithms.”
In addition to the company’s global deployments, in accordance with FDA guidance for imaging systems and software to address the COVID-19 public health emergency, RADLogics is committed to making the company’s proven CT and X-ray AI-Powered solutions available to hospitals and healthcare systems throughout the U.S. for patient triage and management. The company’s AI-Powered solutions provide quantitative analysis to clinical teams that perform testing and measurement of patients with severe or worsening respiratory condition. In turn, this provides care givers with a consistent, quantifiable information – including a score to monitor findings over time – to accurately assess the seriousness of the illness, thus allowing doctors to better triage patients based on those that urgently need intensive care such as ventilator support.
“The use of CT and X-ray in the assessment and treatment plan for President Trump underscores the critical role that medical imaging must play in the fight against COVID-19,” said Moshe Becker, CEO and Co-Founder of RADLogics. “We must scale the capabilities of these medical imaging procedures rapidly to support clinicians, hospitals, and healthcare systems throughout the U.S. as they respond to the anticipated second wave of Coronavirus and the roll-out of a potential vaccine. Now is the time for hospitals and healthcare providers to embrace and leverage the power of AI technologies and solutions to not only alleviate the increased burden associated with COVID-19, but to help support better outcomes by reducing burnout and errors while delivering better patient outcomes.”
“The ability of medical imaging – in combination with AI – to discover and quantify the burden of COVID-19 has been well documented. There would be tremendous clinical value in an AI algorithm that could establish and utilize a trajectory of change to predict which subset of patients might need more intense therapy such as mechanical ventilation, which subset of patients could be more confidently discharged, and predict subsequent clinical course,” added Siegel. “Today, there are many promising AI applications that have emerged that could allow us to address the major challenges that have hit the healthcare sector during the pandemic, and beyond as we plan to treat patients with COVID-related complications and as we provide diagnostic and therapeutic procedures that were delayed during the surge.”
Designed for easy integration and installation both on-premise and via the cloud – RADLogics’ algorithms are supported by the company’s patented workflow software platform that enables rapid deployment and scaling at multiple hospitals, and seamless integration with existing workflows. The cloud-based platform has the capacity to process 1 million CT and 10 million X-rays studies per day. All of the company’s AI-Powered solutions are available worldwide through major OEM distribution partners including Nuance in the U.S. market.
“Since RADLogics was founded ten years ago, we have been dedicated to augmenting care providers and radiologists that are under increasing pressure to read more data with each study with less resources,” said Patrick Browning, M.D., Global CMO for RADLogics. “If there is any positive that can come out of the pandemic is the realization of the potential for AI tools to rapidly scale to meet these challenges. Looking ahead, AI will be critical in unlocking the potential of AI for radiologists and clinicians across the world to address these challenges and to increase throughput, improve efficiency, and enhance time-to-treatment.”
For more information: www.radlogics.com
February 13, 2026 