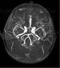
MRA of the brain.
March 23, 2010 - When imaging the brain, time is critical as vascular abnormalities can have a profound effect on patients’ lives if not diagnosed quickly. A new tool aims to help healthcare facilities diagnose disease with greater accuracy and speed when doing an magnetic resonance angiography study (MRA) on the brain.
A new MRA sequence available on Vantage Titan and Vantage Atlas MR systems, which are manufactured by Toshiba America Medical Systems.
The solution, Variable True Rate Angiography with Combined Encodings (V-TRACE), is designed to streamline MRA brain imaging by acquiring four image contrasts in one sequence, providing an imaging application for visualizing slow and fast flow vessels separately and together, as well as the brain tissue surrounding the vessels.
The V-TRACE MRA sequence enables imaging four contrasts in one sequence for greater visualization of blood vessels in the brain, particularly collateral vessels that can be difficult to see with standard MRA sequences.
V-TRACE MRA is a dual-echo 3D FE sequence in which the first echo is acquired using time-of-flight (TOF), and the second echo is acquired using flow sensitive black blood (FSBB). The sequence combines both techniques to produce MRA images that depict blood vessels with both high and low velocity. The sequence design reduces the specific absorption rate (SAR), a measurement of heat generated to the body during a MRI. The TOF data can be used to evaluate the brain parenchyma.
For more information: www.medical.toshiba.com
February 13, 2026 