June 16, 2014 — Piramal Imaging released details from research presented at the 2014 annual meeting of the Society of Nuclear Medicine and Molecular Imaging (SNMMI) in St. Louis. Research findings relating to the development and approval of Neuraceq (florbetaben F18 injection) were presented during the AD II: Advanced Approaches Session.
“The strength of our partnership with the research community has been on display throughout SNMMI,” said Andrew Stephens, M.D., chief medical officer, Piramal Imaging. “It is this partnership that allows us to push the innovation envelope for Piramal and molecular imaging as a field. The research presented here will be the basis for product advancements for years to come.”
At SNMMI there was a specific focus on science that improved the understanding of the value of beta-amyloid imaging as a tool for assessing patients with cognitive impairment. As independent researchers, these clinical experts discussed uses of beta-amyloid agents that are not completely reflected in the label approved by the U.S. Food and Drug Administration (FDA). Nevertheless, they highlight the emerging science underlying this new diagnostic tool. The three presentations highlighted below, each led by different key researchers, offered new insight into the clinical value and application for Neuraceq:
- In a presentation titled “A negative florbetaben PET scan reliably excludes AD pathology as confirmed by histopathology,” John Seibyl, M.D., CEO of Molecular NeuroImaging and clinical professor of neurology at Yale University, focused on the very high negative predictive value of Neuraceq scans.
- In his presentation “Efficacy and reliability of the visual assessment of 18F-florbetaben PET scans in the detection of beta-amyloid neuritic plaques in the brain,” Osama Sabri, M.D., Ph.D., University of Leipzig, Germany, revealed that the robustness of the visual scan assessment method developed for Neuraceq results in high sensitivity and specificity, even in challenging scans and restrictive reading conditions.
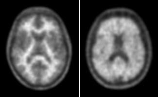
- Henryk Barthel, M.D., Ph.D., University of Leipzig, Germany, presented “Early ß-amyloid PET images are a valuable surrogate biomarker of neuronal injury in dementia patients,” which showed that a single tracer injection may provide information on both neuronal integrity (as FDG) and beta-amyloid deposition.
Neuraceq was approved in the United States and European Union earlier this year. It is indicated for positron emission tomography (PET) imaging of the brain to estimate beta-amyloid neuritic plaque density in adult patients with cognitive impairment who are being evaluated for Alzheimer’s disease and other causes of cognitive decline.
For more information: www.piramal.com
November 12, 2025 