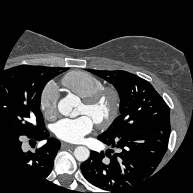
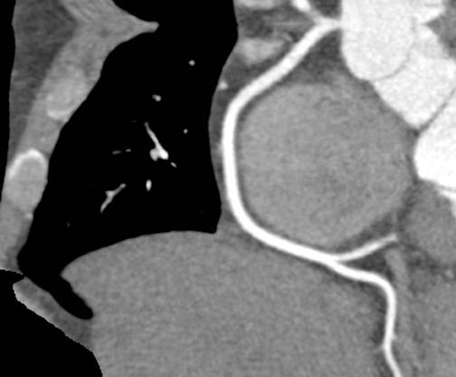
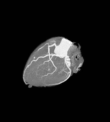
This image from an iCT scanner was done to evaluate coronary artery disease. The scan parameters were: 100 kVp, 50 mAs, CTDI vol 6.3 mGy, DLP 68.3 mGy x cm, iDose4 level = 3, effective dose 0.9 mSv. More images are below.
Southern Ohio Medical Center (SOMC) is a 222-bed, rural, nonprofit hospital in Portsmouth, Ohio, that serves approximately 120,000 patients in the Appalachian area. The computed tomography (CT) department is a 24/7 operation. It has two Philips iCT scanners: one in the emergency department and the other in the medical imaging department, and it utilizes the iDose4 iterative reconstruction technique on iCT scans. Modifying imaging protocols for high image quality while achieving doses as low as reasonably achievable (ALARA) has become an endeavor of the imaging department at SOMC.
“While CT radiation dose is an important issue in modern times, it is equally important to perform a high-quality exam that adequately addresses the clinical issues affecting our patients,” Scott Logan, M.D., MBA, senior medical director of medical imaging at SOMC, explained. “Managing the appropriate radiation without compromising the image remains critical.”
Logan described how image noise is an important determinant of image quality. It is inversely related to the X-ray beam energy. “Although a reduction in tube current and tube current voltage causes a resultant decrease in radiation dose,” he said, “this also increases image noise, which may compromise image quality.”
Because iDose4 significantly improves spatial resolution and preserves the “natural” appearance of images, image quality improvements are achieved.
“We experimented with low-dose/low-energy scans in the past with suboptimal image quality. Therefore, the dose vs. image quality was not beneficial,” Dean Blair RT(R)(CT), supervisor of the CT department at SOMC said. “Then we installed the iCT with iDose4. Now, our results show an increase in image quality at low dose.”
In addition to the low-energy, low-dose benefits SOMC has experienced, Blair also noted that SOMC has been able to use low injected contrast imaging as a result of the fast scan times and rotation speeds of the iCT.
By having two iCT scanners, SOMC can provide a continuum of care for advanced cardiovascular studies. In addition, emergency patients, inpatients and outpatients benefit from the range of clinical applications enabled by the sophisticated capabilities of the iCT.
February 20, 2026 