July 2, 2019 — DiA Imaging Analysis has partnered with Konica Minolta Healthcare Americas Inc. to expand analysis capabilities of Konica Minolta's Exa Cardio PACS platform (cardiovascular information system) with DiA's LVivo Toolbox for cardiac analysis.
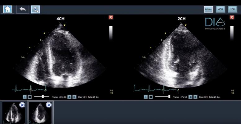
The LVivo Cardiac Toolbox, an artificial intelligence (AI)-powered solution, is designed to analyze cardiac ultrasound images automatically and objectively, to reduce the subjectivity of manual or visual analysis methods used today.
DiA's LVivo Cardiac Toolbox uses novel pattern recognition, deep learning and machine learning algorithms that automatically imitate how the human eye detects borders and motion. DiA's automated solution generates fast and accurate image analysis to support the clinician's decision-making process.
LVivo Cardiac Toolbox is vendor-neutral, supporting DICOM clips of various ultrasound systems. Konica Minolta will offer the LVivo Toolbox as a part of Exa's diagnostic-quality zero-footprint, server side rendering universal viewer for DICOM and non-DICOM images. The integration has been designed according to Exa's user interface to assure the most efficient workflow and accessibility to all Exa Cardio PACS (picture archiving and communication system) users.
Konica Minolta's Exa platform provides hospitals and imaging centers with the ability to view DICOM and non-DICOM images and information across departments and facilities, regardless of the original source. Exa also provides a vendor-neutral centralized archive and image exchange.
The announcement was made at the Society for Imaging Informatics in Medicine (SIIM) 2019 annual meeting, June 26-28 in Aurora, Colo.
For more information: www.konicaminolta.com/medicalusa, www.dia-analysis.com
February 13, 2026 