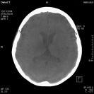
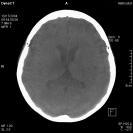
Local bleeding as the result of an aneurysm rupture can now be visualized by syngo DynaCT in the angio lab. In addition, syngo DynaCT allows you to visualize the ventricular system of the brain to aid in diagnosing pathologic processes.
December 4, 2009 – The World Health Organization (WHO) predicts that cancer will become the world’s most frequent cause of death in 2010, replacing cardiovascular diseases as the most common cause of death. More than 10.6 million people are diagnosed with cancer each year. Of these, 1.3 million are afflicted with lung cancer, 1.2 million with breast cancer, and up to 1 million patients with colorectal tumors. The number of people suffering from cancer is expected to increase by another 50 percent by 2020 (source: WHO 2003).
New, minimally invasive procedures, suitable for the therapy of primary tumors and for metastases, have established themselves in recent years. The new procedures enable targeted tumor treatment via a catheter or a needle, while angiography systems display the position of the device in the patient’s body to the physician. Since therapy takes place locally, impact to the patient is minimalized and quality of life improved as he or she can be released from hospital soon afterward. These local procedures are especially recommended for older patients, who are in poor health, or have a medical condition that does not allow for a major operation or aggressive chemotherapy.
The interventional radiologist (IR) navigates catheters or needles in the millimeter range, using imaging systems and applications throughout the entire process, from tumor evaluation and procedure planning to therapy and follow-up.
To this end, Siemens Healthcare is demonstrating at RSNA 2009 annual conference held November 29-December 4, in Chicago, enhancements to the Artis zee platform, such as tools for improved planning, visualization, and needle guidance, designed to support interventional oncology procedures.
Display soft tissue, including tumors and of the complex structures of the blood vessels, is critical during therapy. syngo DynaCT shortens reconstruction times, enabling clinicians to take abdominal images available to the treating physician within 22 seconds. A study recently conducted at Charité Hospital in Berlin, Germany, showed that syngo DynaCT leads to repositioning of the catheter, and thus increases the reliability of the tumor treatment, in 50 percent of all chemoembolizations1.
A robotic-based angiography system, syngo DynaCT, offers the interventional radiologist greater flexibility and movement. The system’s flat detector rotates 220 degrees twice around the patient, providing cross-sectional images that can cover up to 47 cm. The liver and lungs can also be covered fully.
Advanced planning for embolization of tumor-feeding blood vessels can be done using the syngo Embolization Guidance program. The user can mark the vessel supplying the tumor, and automatically calculate the centerline of the vessel, which is then superimposed on the live fluoroscopic image, to simplify catheter guidance during tumor embolization.
Previously acquired CT, MR or PET/CT images can be fused with high-contrast 3D angiography images by using either the syngo InSpace 3D/3D Fusion solution, or with syngo DynaCT datasets. The fused dataset can be overlayed on live fluoroscopic images in the interventional lab and provides additional information on the tumor during the procedure.
If a tumor is to be treated with an ablative procedure, it is especially important to precisely position the needles that release the energy to the tumor. syngo iGuide helps to plan and position the needle. The iGuide Cappa navigation system supports the placement of radiofrequency and biopsy needles via electromagnetic navigation without requiring any radiation.
[1] Results of a study published in European Radiology March 2009 by Dr. Meyer, University of Berlin, Charite, Germany and Prof. Dr. Wacker; John Hopkins Hospital, Baltimore.
For more information: www.siemens.com/healthcare
December 10, 2025 