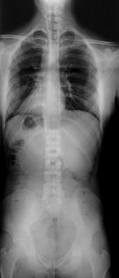
iCRco will debut “the ONLY 52” DR in the world”, says Stephen Neushul, President and CEO of iCRco. This machine has Scan Head Technology that provides one continuous image and eliminates stitching. Its ultra-high resolution, full body scanning is capable of scanning a complete spine.”
Other features found on the new “Longbone” DR machine are a solid state sealed sensor and the fastest speed you will find for anything that long.
iCRco, Inc. (iCRco), based in Torrance, CA, is an established, privately-held, global leader in providing innovative digital X-ray imaging solutions for the medical, industrial, and veterinary markets. iCRco offers complete solutions that include CR/DR, extensive viewing and post processing software, CD/DVD burner, diagnostic viewing stations as well as easy integration to any RIS/PACS product.
iCRco produces Computed Radiography machines with the Patented True Flat Scan Path™ technology. This revolutionary product enables iCRco customers to experience the true low cost of ownership.
August 14, 2025 