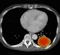
June 13, 2007 - Researchers released a study at SNM's 54th Annual Meeting in Washington, D.C., in which the combination of SPECT and CT images fused together assists physicians in more accurately diagnosing coronary artery disease.
"By combining the physiological (or functional) images of the blood flow to the heart muscle at stress and at rest with the high-resolution anatomical depiction of coronary arteries and their blockages, we can determine the diagnosis of coronary artery disease more accurately," explained Piotr Slomka, a research scientist with the Artificial Intelligence in Medicine Program at the departments of Medicine and Imaging at Cedars-Sinai Medical Center in Los Angeles, Calif.
"The idea is to combine two different images of the heart obtained by two different techniques: single photon emission computed tomography (SPECT) and cardiac computed tomography (CT) angiography," said Slomka.
"These scans are obtained at different times - and even at different locations - but our computer software puts the information together in 3-D," he explained. "This synergistic integration allows simultaneous analysis of the heart muscle blood flow with a highly accurate image of coronary arteries and their blockages," he noted. "It eliminates the limitations of imaging with either SPECT or CT alone," detailed Slomka.
"This combination could be accomplished also by specialized hybrid scanners; however, our software approach is more flexible since the combination is required only in a subset of cases. We can use the best possible CT angiography equipment and SPECT at much lower cost than the dedicated combined scanner. In any case, the hybrid scanners would still require software techniques similar to ours due to the heart motion," said Slomka.
"The fusion can be used selectively for the diagnosis of patients who undergo one of the exams (either SPECT or CT angiography) with inconclusive results because there was some difficulty in interpretation. In these difficult cases, a complementary anatomical or physiological scan - and this kind of image integration - helps a physician make a better diagnosis," said Slomka. Additional research is needed. "We need to obtain more data to determine which patients would benefit most from this technique. We need to further automate the software to provide highly accurate alignment of the images," he added.
"This work illustrates the value of a combined 3-D display of blood flow together with CT angiography imaging data," explained Josef Machac, SNM's Scientific Program Committee cardiovascular vice chair. "Used together in this way, the modalities demonstrate performance superior to that of either modality alone. This has been speculated on previously, but now we have empirical evidence that it is true," added the director of nuclear medicine at the Mount Sinai School of Medicine in New York City.
Scientific Paper 17: P.J. Slomka, Y. Suzuki, S. Van Kriekinge, P.B. Kavanagh, A. Gutstein, D.S. Berman and G. Germano, all with Cedars-Sinai Medical Center, Los Angeles, Calif.; Y. Elad, R. P. Karlsberg, Cardiovascular Medical Group of Southern California, Los Angeles, Calif. "Software Fusion of 64-slice CT Angiography and Myocardial Perfusion SPECT: Evidence of Synergy," SNM's 54th Annual Meeting, June 2-6, 2007.
For more information: www.csmc.edu
February 15, 2024 