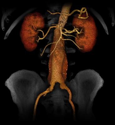
Image courtesy of Vital Images Inc.
December 23, 2014 — Vital Images Inc. received 510(k) clearance from the U.S. Food and Drug Administration (FDA) for its Fenestrated Stent Planning workflow as part of its existing Endovascular Stent Planning (EVSP) application.
Approximately 600,000 global cases of abdominal aortic aneurysms (AAA) are diagnosed annually. Left untreated, these aneurysms can rupture, causing profound internal bleeding often leading to death within minutes. Endovascular aortic aneurysm repair with stents have shorter recovery times and better outcomes than alternative open surgical repair of aortic aneurysms, but require good pre-procedure planning, often using EVSP applications. Fenestrated Stent Planning is ideal for patients who do not meet the recommended criteria due to inadequate infrarenal neck anatomy, which is not suitable for conventional aortic aneurysm repair with standard devices.
The Fenestrated Stent Planning workflow enables surgeons to make precise measurements to aid in determining size and placement of fenestrated stents, tailored to each patient's specific anatomy and providing surgeons with efficiency, repeatability and validity in their measurements for these complex procedures. The addition of the clock angle tool enables rapid measurements, including arc lengths, tailored to patients' specific anatomy. In addition, customized stent template editing tools allow surgeons to personalize their workflows.
CT EVSP with Fenestrated Stent Planning is globally available in Vitrea, version 6.7.
For more information: www.vitalimages.com
April 18, 2025 