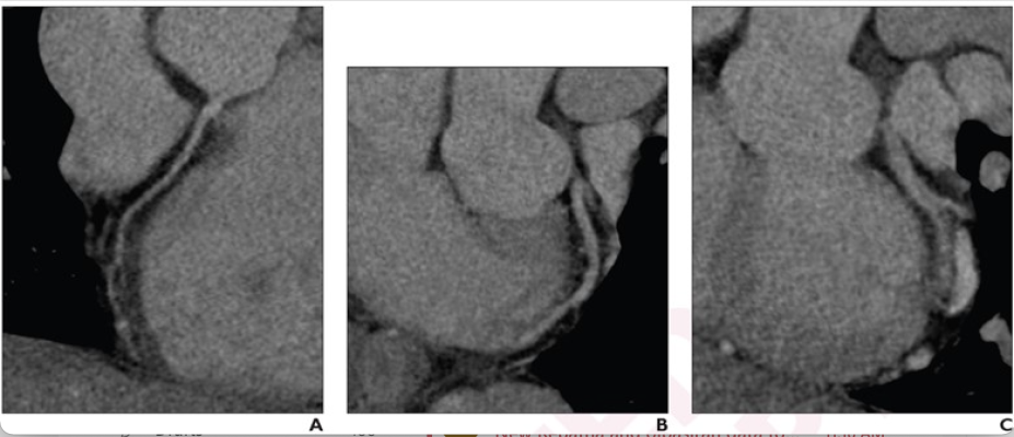
33-year-old, low risk of acute coronary syndrome, presents to off-hour ED with acute chest pain. Patient underwent coronary CTA using 64-detector row SSCT scanner, with heart rate control. Mean heart rate during acquisition was 89 bpm. Curved MPR images of right coronal artery (A), left anterior descending coronary artery (B), and left circumflex coronary artery (C) show poor image quality. Severe motion artifact is present in distal segments of RCA and LCX, and additional artifact from chest wall movement is present in proximal portion of left main coronary artery, leading to nondiagnostic examination. CT completion time was 236 minutes, disposition time was 79 minutes, and ED LOS was 601 minutes. Patient was discharged from ED without cardiology consultation, and did not undergo invasive coronary angiography or revascularization, nor experienced 30-day all-cause mortality or major adverse cardiovascular event
March 1, 2023 — According to an accepted manuscript published in ARRS’ American Journal of Roentgenology (AJR), using a dual-source CT (DSCT) scanner for coronary CTA can facilitate clinical processes by eliminating the need to administer beta-blockers for heart rate control while decreasing nondiagnostic examinations.
“The findings indicate the potential role of a DSCT scanner with high temporal resolution to help expedite clinical processes in the emergency department (ED) setting,” concluded corresponding author Young Joo Suh, MD, PhD, from Korea’s Research Institute of Radiological Science at the Center for Clinical Imaging Data in Seoul.
This AJR accepted manuscript included 509 patients (mean age, 52.1 years; 283 men, 226 women) at low-to-intermediate risk for acute coronary syndrome who underwent coronary CTA for acute chest pain in a single ED during the off hours of March 1, 2020 to April 25, 2022. A total 205 patients initially underwent CTA using a 64-detector single-source CT (SSCT) with heart rate control—oral beta-blocker administration if heart rate was faster than 65 beats per minute. Following scanner replacement on April 26, 2021, 304 patients underwent CTA using a third-generation DSCT without heart rate control. Cohorts were compared via length of stay (LOS) in the ED, as well as CT completion time (i.e., from ordering CTA to complete acquisition). Additional endpoints for Suh et al. included image quality and nondiagnostic examinations based on radiology reports.
Ultimately, DSCT without heart rate control—compared to SSCT with heart rate control—showed no difference in ED LOS (505 vs. 457 minutes; p=.37), but shorter CT completion time (95 vs. 117 minutes; p<.001), lower frequency of nondiagnostic examinations (1.6% vs. 6.3%, p=.01), and no difference in cardiology consultation, angiography, disposition, or revascularization (p>.05).
Noting an array of factors, especially patient disposition and onboarding processes, can affect overall length of stay, “the reduction in CT completion time through use of the DSCT system can still provide overall benefit in the ED setting,” the authors of this AJR accepted manuscript added.
For more information: www.arrs.org
November 11, 2025 