April 5, 2013 — The imaging industry continues to face challenges with technically difficult patients, while demand for more accurate images continues to rise. ContextVision will address these trends and demonstrate its 2-D/3-D/4-D ultrasound image enhancement capabilities at the American Institute of Ultrasound in Medicine (AIUM).
Technically difficult patients make up a large segment of all abdominal scans in the United States. ContextVision will demonstrate two products that specifically focus on technically difficult maternity patients at this year’s conference.
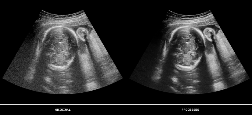
US PLUSView allows OEMs to provide a full range of ultrasound image enhancement capabilities, including deeper penetration, edge sharpening, contrast enhancement and improved speckle reduction features for technically difficult patients.
GOPiCE US (3-D/4D) is the industry’s first ultrasound real-time three-dimensional filtering product. Clinical evidence from recent years confirms that volumetric acquisitions with multi-dimensional image enhancement lead to faster and more accurate diagnoses. GOPiCE US in 3-D fetal ultrasound examinations has also clearly demonstrated a superior visualization of subtle fetal brain defects and other anomalies.
“GOPiCE US and US PLUSView have been adapted for a range of hardware solutions, providing customers with greater flexibility, enabling clinicians to see previously unreachable anatomies, with interactive enhancement that does not compromise the overall image,” said Anita Tollstadius, ContextVision CEO. “As a company, we’re constantly pushing ultrasound imaging to create more precise results for our customers with positive clinical results.”
For more information: www.contextvision.com
November 03, 2025 