Getty Images
March 30, 2022 — Artificial intelligence (AI) is an effective tool for fracture detection that has potential to aid clinicians in busy emergency departments, according to a study in Radiology.
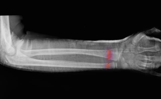
Missed or delayed diagnosis of fractures on X-ray is a common error with potentially serious implications for the patient. Lack of timely access to expert opinion as the growth in imaging volumes continues to outpace radiologist recruitment only makes the problem worse.
AI may help address this problem by acting as an aid to radiologists, helping to speed and improve fracture diagnosis.
To learn more about the technology’s potential in the fracture setting, a team of researchers in England reviewed 42 existing studies comparing the diagnostic performance in fracture detection between AI and clinicians. Of the 42 studies, 37 used X-ray to identify fractures, and five used CT.
The researchers found no statistically significant differences between clinician and AI performance. AI’s sensitivity for detecting fractures was 91-92%.
“We found that AI performed with a high degree of accuracy, comparable to clinician performance,” said study lead author Rachel Kuo, M.B. B.Chir., from the Botnar Research Centre, Nuffield Department of Orthopaedics, Rheumatology and Musculoskeletal Sciences in Oxford, England. “Importantly, we found this to be the case when AI was validated using independent external datasets, suggesting that the results may be generalizable to the wider population.”
The study results point to several promising educational and clinical applications for AI in fracture detection, Dr. Kuo said. It could reduce the rate of early misdiagnosis in challenging circumstances in the emergency setting, including cases where patients may sustain multiple fractures. It has potential as an educational tool for junior clinicians.
“It could also be helpful as a ‘second reader,’ providing clinicians with either reassurance that they have made the correct diagnosis or prompting them to take another look at the imaging before treating patients,” Dr. Kuo said.
Dr. Kuo cautioned that research into fracture detection by AI remains in a very early, pre-clinical stage. Only a minority of the studies that she and her colleagues looked at evaluated the performance of clinicians with AI assistance, and there was only one example where an AI was evaluated in a prospective study in a clinical environment.
“It remains important for clinicians to continue to exercise their own judgment,” Dr. Kuo said. “AI is not infallible and is subject to bias and error.”
For more information: www.rsna.org
February 06, 2026 