Bachir Taouli, M.D., professor of radiology, Mt. Sinai Hospital, New York
The proportion of body MR exams at Mt. Sinai has exploded in the last four years with the volume of these exams almost tripling. There are a number of possible factors for this, including the quality of body MR images and reporting, and also the fact that MR does not use radiation. Whatever the reason, Mt. Sinai is performing about 30 to 40 body MR exams a day and anticipates that volume may continue to grow.
Faster 3D T1 Exams
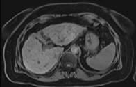
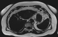
Body MR imaging — like the 3D T1 exam — can provide important clinical information but the exam itself takes time. “The 3D T1 pre- and post-contrast sequence is one of the most important sequences for body imaging,” said Bachir Taouli, M.D., professor of radiology at Mt. Sinai in New York, NY. “It’s a volumetric acquisition; we rely on it to detect and characterize cancer or lesions in the liver, kidneys, and pelvis, for example. So it’s very important for us.”
The challenge for healthcare organizations like Mt. Sinai, then, is how to provide faster 3D T1 imaging without jeopardizing imaging quality or patient satisfaction?
Cut 3D Breath Holds in Half – Caipirinha Enables Single Digit Times
Mt. Sinai is using Caipirinha, a unique parallel imaging acquisition technique that can be used with the 3D T1 VIBE or 3D Dixon technique. CAIPIRINHA can cut breath holds for 3D T1 exams in half without impacting image resolution, coverage, or contrast. The technique is helping to reduce breath holds for Mt. Sinai’s patients.
“We used to give them 15-20 second breath holds but we’re trying to get away from that because 20 seconds is quite long. If you repeat that multiple times, it can get really challenging for older patients or patients who are frail,” said Taouli. With Caipirinha, technologists at Mt. Sinai are able to shorten the acquisition time to about 8 seconds.
Faster Exam, Better Patient Experience Easier for Patients Who Need Body MRI the Most
“Moving from about 15-20 seconds to 8 seconds is a major change in breath hold. It’s important for people who are very sick, like chronic liver disease patients, or for pediatric patients,” continued Taouli. “We’re also able to combine two sequences into one breath hold for patients able to do a longer breath hold. For example, we can do two arterial phase acquisitions in the liver with a single breath hold of about 16 seconds.”
The ability to reduce breath holds with Caipirinha can lead to better patient experiences and more efficient workflows for body MR imaging exams. “Our technologists appreciate that it’s quick,” said Taouli, “and patient acceptability is better.”
See the clinical differences Caipirinha can help you achieve.
February 13, 2026 