July 12, 2023 — United Imaging, a global leader in manufacturing advanced medical imaging and radiotherapy equipment and ...
SNMMI
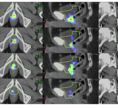
July 3, 2023 — RefleXion Medical, Inc., a therapeutic oncology company, today announced that results of a prospective ...
June 30, 2023 — The Society of Nuclear Medicine and Molecular Imaging (SNMMI) hosted nearly 8,000 physicians ...
June 29, 2023 — Blue Earth Therapeutics, a Bracco company and emerging leader in the development of innovative next ...
June 29, 2023 — At the 2023 Annual Meeting of the Society of Nuclear Medicine & Molecular Imaging (SNMMI), June 24-27 at ...
June 29, 2023 — Research presented at the 2023 Annual Meeting of the Society of Nuclear Medicine and Molecular Imaging ...
June 29, 2023 — A study presented this week during the 2023 Society of Nuclear Medicine and Molecular Imaging (SNMMI) ...
June 28, 2023 — GE HealthCare is set to unveil SIGNA PET/MR AIR[i], at the Society of Nuclear Medicine and Molecular ...
June 28, 2023 — Molecular imaging with 18F-flubatine PET/MRI has shown that neuroreceptors in the brains of individuals ...
June 28, 2023 — A newly discovered radionuclide-based agent (CB-2PA-NT) has been shown to have high tumor uptake ...
June 28, 2023 — A novel PET perfusion radiotracer, 18F-flurpiridaz, can diagnose coronary artery disease (CAD) in obese ...
June 27, 2023 — Helen Nadel, MD, FRCPC, director of pediatric nuclear medicine at Lucile Packard Children’s Hospital at ...
June 26, 2023 — Nizar A. Mullani, one of the pioneers of the first positron emission tomography (PET) prototype, has ...
June 26, 2023 — Umar Mahmood, MD, PhD, chief of Nuclear Medicine and Molecular Imaging, director of the Center for ...
June 26, 2023 — PET imaging with 68Ga-FAPI offers a feasible, reliable, and reproducible method for evaluating disease ...
June 26, 2023 — A first-in-human evaluation of the novel theranostic pair 68Ga-DOTA-5G / 177Lu-DOTA-ABM-5G has confirmed ...
June 25, 2023 — A new PET radiotracer that visualizes the enzyme primarily responsible for metabolic cholesterol ...
June 25, 2023 — Julie Dawn Bolin, MS, CNMT, program director of nuclear medicine technology at GateWay Community College ...
June 24, 2023 — A new ultra-high resolution (UHR) brain PET scanner may have the ability to characterize previously ...
June 24, 2023 — A newly developed technology called “augmented whole-body scanning via magnifying PET” (AWSM-PET) has ...
July 12, 2023 