January 31, 2023 — Electronic cigarette (e-cigarette) users have greater lung inflammation than cigarette smokers and ...
January 31, 2023 — Age-based heuristics can lead to large differences in breast cancer treatment based on small ...
January 31, 2023 — Esaote, a leading Italian company in the biomedical sector – in ultrasound, dedicated MRI and medical ...
Radiology departments have many different needs and face a wide variety of challenges that can impact their departments ...
January 30, 2023 — Photon-counting detector CT reduces the amount of contrast needed for CT angiography (CTA) while ...
Postpandemic staffing shortages and increased volumes require radiologists to do more with less, exacerbating burnout ...
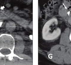
January 27, 2023 — According to an accepted manuscript published in ARRS’ American Journal of Roentgenology (AJR), both ...
Despite decades of progress in breast imaging, one challenge continues to test even the most skilled radiologists ...
January 27, 2023 — Fujifilm has completed its asset purchase of Inspirata, Inc.’s digital pathology business effective ...
January 27, 2023 — AiMed is excited to announce its collaboration with the College of Healthcare Information Management ...
Konica Minolta Healthcare recently announced it is working with Amazon Web Services to offer its cloud-based Exa ...
Bayer Radiology’s Barbara Ruhland and Thom Kinst discuss how radiology departments can address the many different ...
January 26, 2023 — MedCognetics, Inc., an Artificial Intelligence (AI) software firm, announced that it has been awarded ...
Artificial intelligence (AI) is playing a growing role in all our lives and has shown promise in addressing some of the ...
January 25, 2023 — mTuitive, Inc. and PathPresenter Corporation announced a new partnership to deliver an enhanced ...
eHealth Saskatchewan plays a vital role in providing IT services to patients, health care providers, and partners such ...
January 25, 2023 — On November 11th, 2022 at the Southern Hills Hospital in Las Vegas, USA, Robotic Spine Surgeon Dr ...
The Imaging Technology News (ITN) team was saddened to hear of the untimely passing of Frank Pecaitis, US North American ...
Have you read the January/February 2023 issue of Imaging Technology News? If not, take some time out of your busy ...
January 24, 2023 — For patients with cancer, lengthy delays in treatment can decrease their chances of survival. In an ...
January 24, 2023 — Researchers who have created a new tool that could transform medical understanding of inflammation – ...
January 24, 2023 — Carestream Health was awarded 20 new patents in 2022 for global advances in artificial intelligence ...
January 23, 2023 — Canon Medical Systems has released a new eBook featuring its new medical imaging roadshow. This new ...
January 23, 2023 — PreciseDx, a leading innovator in AI-powered, patient-specific disease analysis, announced its recent ...
January 31, 2023 